购物车
  • TargetMol
    您的购物车当前为空

Anti-CFHR5 Antibody (9M883)

Synonyms: Complement factor H-related protein 5
货号 TMAC-00819 一键复制产品信息
Rating icon 还可以

Anti-CFHR5 Antibody (9M883) 是一种 Mouse 抗体,靶向 CFHR5。Anti-CFHR5 Antibody (9M883) 可用于 FCM,ICC,IHC,WB。

Anti-CFHR5 Antibody (9M883)

一键复制产品信息
Rating icon 还可以
货号 TMAC-00819

别名 Complement factor H-related protein 5

Anti-CFHR5 Antibody (9M883) 是一种 Mouse 抗体,靶向 CFHR5。Anti-CFHR5 Antibody (9M883) 可用于 FCM,ICC,IHC,WB。

Anti-CFHR5 Antibody (9M883)
规格价格库存数量
50 μL
¥ 1,985
5日内发货
100 μL
¥ 2,990
5日内发货
库存状态实时更新,以官网显示为准,现货产品可直接加购物车下单
大包装 & 定制
加入购物车
TargetMol的所有产品仅用作科学研究或药证申报,不能被用于人体,我们不向个人提供产品和服务。请您遵守承诺用途,不得违反法律法规规定用于任何其他用途。
实验操作小课堂
常见问题解答
查看更多

资源下载:产品操作手册

产品介绍


生物活性
产品描述
Anti-CFHR5 Antibody (9M883) is a Mouse antibody targeting CFHR5. Anti-CFHR5 Antibody (9M883) can be used in FCM,ICC,IHC,WB.
别名Complement factor H-related protein 5
克隆号
9M883
反应种属
Human,Mouse
验证活性
1. Western blot analysis of CFHR5 on human CFHR5 recombinant protein using anti-CFHR5 antibody at 1/1,000 dilution.
2. Western blot analysis of CFHR5 on HEK293 (1) and CFHR5-hIgGFc transfected HEK293 (2) cell lysate using anti-CFHR5 antibody at 1/1,000 dilution.
3. Western blot analysis of CFHR5 on different cell lysate using anti-CFHR5 antibody at 1/1,000 dilution. Positive control: Lane1: HepG2, Lane2: K562, Lane3: L-02, Lane4: SK-Hep-1, Lane5: SMMC-7721, Lane6: NIH/3T3.
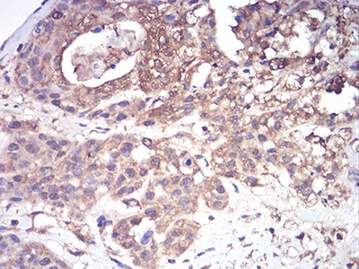
4. Immunohistochemical analysis of paraffin-embedded human cervical cancer tissue using anti-CFHR5 antibody. Counter stained with hematoxylin.
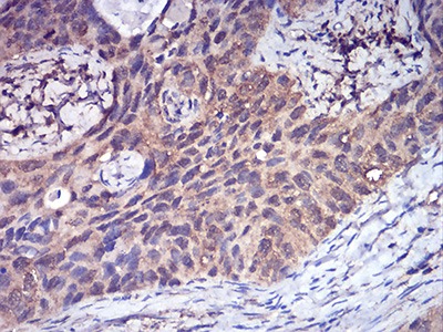
5. Immunohistochemical analysis of paraffin-embedded human ovarian cancer tissue using anti-CFHR5 antibody. Counter stained with hematoxylin.
6. ICC staining CFHR5 (green) and Actin filaments (red) in Hela cells. The nuclear counter stain is DAPI (blue). Cells were fixed in paraformaldehyde, permeabilised with 0.25% Triton X100/PBS.
7. Flow cytometric analysis of Hela cells with CFHR5 antibody at 1/100 dilution (green) compared with an unlabelled control (cells without incubation with primary antibody; red).
verifiedActivityverifiedActivityverifiedActivityverifiedActivityverifiedActivityverifiedActivityverifiedActivity
应用FCMICCIHCWB
推荐剂量
WB: 1:500-2000; IHC: 1:50-200; ICC: 1:50-200; FCM: 1:50-200
抗体种类
Monoclonal
宿主来源Mouse
构建方式Hybridoma Monoclonal Antibody
纯化方式ProA affinity purified
性状Liquid
缓冲液1*TBS (pH7.4), 1%BSA, 40%Glycerol. Preservative: 0.05% Sodium Azide.
研究背景Involved in complement regulation. The dimerized forms have avidity for tissue-bound complement fragments and efficiently compete with the physiological complement inhibitor CFH.This gene is a member of a small complement factor H (CFH) gene cluster on chromosome 1. Each member of this gene family contains multiple short consensus repeats (SCRs) typical of regulators of complement activation. The protein encoded by this gene has nine SCRs with the first two repeats having heparin binding properties, a region within repeats 5-7 having heparin binding and C reactive protein binding properties, and the C-terminal repeats being similar to a complement component 3 b (C3b) binding domain. This protein co-localizes with C3, binds C3b in a dose-dependent manner, and is recruited to tissues damaged by C-reactive protein. Allelic variations in this gene have been associated, but not causally linked, with two different forms of kidney disease: membranoproliferative glomerulonephritis type II (MPGNII) and hemolytic uraemic syndrome (HUS).
偶联与修饰
偶联
Unconjugated
抗原信息
免疫原
Recombinant Protein
Uniprot ID
化学信息
分子量Theoretical: 64 kDa.
储存&溶解度
储存方式Store at -20°C or -80°C for 12 months. Avoid repeated freeze-thaw cycles.
运输方式Shipping with blue ice.

计算器

  • 稀释 计算器
  • 配液 计算器
Related Tags: buy Anti-CFHR5 Antibody (9M883) | purchase Anti-CFHR5 Antibody (9M883) | Anti-CFHR5 Antibody (9M883) cost | order Anti-CFHR5 Antibody (9M883) | Anti-CFHR5 Antibody (9M883) molecular weight