购物车
  • 全部删除
  • TargetMol
    您的购物车当前为空

Anti-CEACAM8 Polyclonal Antibody

Rating icon 还可以
产品编号 TMAB-00414
别名 NCA-95, CGM6, CEACAM8, CD67, CD66b

Anti-CEACAM8 Polyclonal Antibody 是一种 Rabbit 抗体,靶向 CEACAM8。Anti-CEACAM8 Polyclonal Antibody 可用于 FCM,IF,IHC-Fr,IHC-P。

Anti-CEACAM8 Polyclonal Antibody

Anti-CEACAM8 Polyclonal Antibody

一键复制产品信息
Rating icon 还可以
产品编号 TMAB-00414 别名 NCA-95, CGM6, CEACAM8, CD67, CD66b

Anti-CEACAM8 Polyclonal Antibody 是一种 Rabbit 抗体,靶向 CEACAM8。Anti-CEACAM8 Polyclonal Antibody 可用于 FCM,IF,IHC-Fr,IHC-P。

规格价格库存数量
50 μL
¥ 1,175
5日内发货
100 μL
¥ 1,970
5日内发货
200 μL
¥ 2,795
5日内发货
大包装 & 定制
加入购物车
TargetMol 的所有产品仅用作科学研究或药证申报,不能被用于人体,我们不向个人提供产品和服务。请您遵守承诺用途,不得违反法律法规规定用于任何其他用途。
实验操作小课堂
常见问题解答
查看更多
联系我们获取更多批次信息
资源下载

产品介绍

生物活性
产品描述
Anti-CEACAM8 Polyclonal Antibody is a Rabbit antibody targeting CEACAM8. Anti-CEACAM8 Polyclonal Antibody can be used in FCM,IF,IHC-Fr,IHC-P.
别名NCA-95, CGM6, CEACAM8, CD67, CD66b
Ig Type
IgG
交叉反应
Human
验证活性
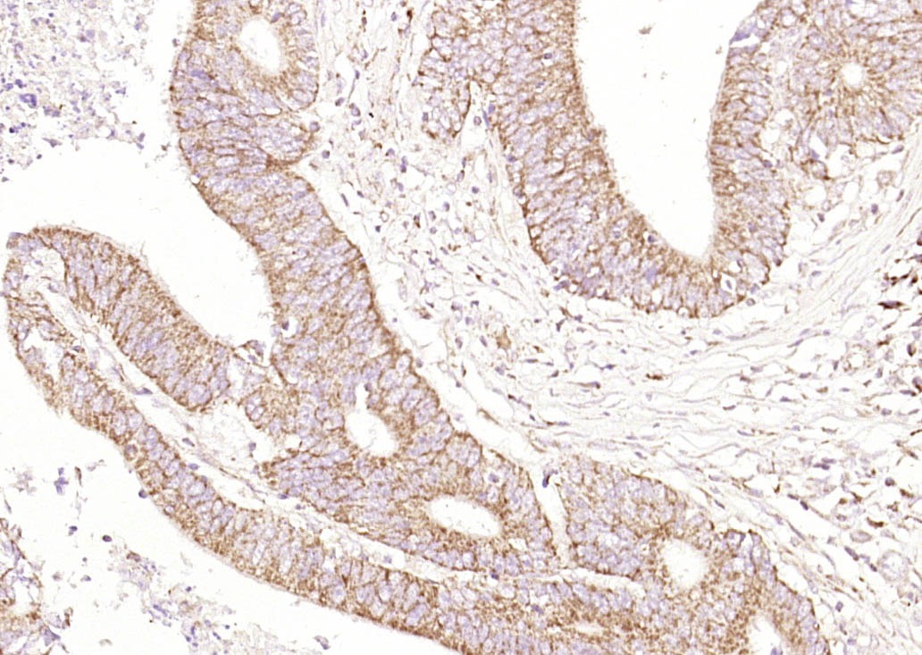
1. Paraformaldehyde-fixed, paraffin embedded (human colon carcinoma); Antigen retrieval by boiling in sodium citrate buffer (pH6.0) for 15 min; Block endogenous peroxidase by 3% hydrogen peroxide for 20 min; Blocking buffer (normal goat serum) at 37°C for 30 min; Antibody incubation with (CEAcam8) Polyclonal Antibody, Unconjugated (TMAB-00414) at 1:400 overnight at 4°C, followed by operating according to SP Kit (Rabbit) instructionsand DAB staining.
2. Paraformaldehyde-fixed, paraffin embedded (human rectal carcinoma); Antigen retrieval by boiling in sodium citrate buffer (pH6.0) for 15 min; Block endogenous peroxidase by 3% hydrogen peroxide for 20 min; Blocking buffer (normal goat serum) at 37°C for 30 min; Antibody incubation with (CEAcam8) Polyclonal Antibody, Unconjugated (TMAB-00414) at 1:400 overnight at 4°C, followed by operating according to SP Kit (Rabbit) instructionsand DAB staining.
verifiedActivityverifiedActivity
应用FCMIFIHC-FrIHC-P
推荐剂量
IHC-P: 1:100-500; IHC-Fr: 1:100-500; IF: 1:100-500; FCM: 1ug/Test
抗体种类
Polyclonal
宿主来源Rabbit
亚细胞定位Cell membrane; Lipid-anchor, GPI-anchor.
组织特异性Expressed in leukocytes of chronic myeloid Leukemia patients and bone marrow.
构建方式Polyclonal Antibody
纯化方式Protein A purified
性状Liquid
缓冲液0.01M TBS (pH7.4) with 1% BSA, 0.02% Proclin300 and 50% Glycerol.
浓度1 mg/mL
研究背景Carcinoembryonic antigen-related cell adhesion molecule 8 (CEACAM8) is a highly glycosylated protein expressed only in neutrophils and eosinophils in humans. The precise function of CEACAM8 remains unclear. As a member of the family of carcinoembryonic antigen (CEA), it may play a role in the interaction between granulocytes or between granulocytes and epithelial cells. Expressed in leukocytes of chronic myeloid Leukemia patients and bone marrow.
抗原信息
免疫原
KLH conjugated synthetic peptide: human CEAcam8
抗原种属
Human
基因名称
CEACAM8
基因ID
蛋白名称
Carcinoembryonic antigen-related cell adhesion molecule 8
Uniprot ID
化学信息
分子量Theoretical: 38 kDa.
存储&运输
储存方式Store at -20°C or -80°C for 12 months. Avoid repeated freeze-thaw cycles.
运输方式Shipping with blue ice.

计算器

  • 稀释 计算器

关键词

评论列表

4个月前
5.0
Rating icon 很棒

评论内容

Related Tags: buy Anti-CEACAM8 Polyclonal Antibody | purchase Anti-CEACAM8 Polyclonal Antibody | Anti-CEACAM8 Polyclonal Antibody cost | order Anti-CEACAM8 Polyclonal Antibody | Anti-CEACAM8 Polyclonal Antibody molecular weight