购物车
  • TargetMol
    您的购物车当前为空

Anti-CDX2 Antibody (1N738)

Synonyms: Homeobox protein CDX-2, Homeobox protein CDX 2, CDX-3, CDX3, CDX2_HUMAN, CDX2, CDX 3, CDX 2, Caudal-type homeobox protein 2, caudal type homeobox transcription factor 2, Caudal type homeobox protein 2, caudal type homeobox 2, caudal type homeo box transcription factor 2, Caudal type homeo box 2
货号 TMAC-00809 一键复制产品信息
Rating icon 还可以

Anti-CDX2 Antibody (1N738) 是一种 Rabbit 抗体,靶向 CDX2。Anti-CDX2 Antibody (1N738) 可用于 FCM,ICC/IF,IHC,WB。

Anti-CDX2 Antibody (1N738)

一键复制产品信息
Rating icon 还可以
货号 TMAC-00809

别名 Homeobox protein CDX-2, Homeobox protein CDX 2, CDX-3, CDX3, CDX2_HUMAN, CDX2, CDX 3, CDX 2, Caudal-type homeobox protein 2, caudal type homeobox transcription factor 2, Caudal type homeobox protein 2, caudal type homeobox 2, caudal type homeo box transcription factor 2, Caudal type homeo box 2

Anti-CDX2 Antibody (1N738) 是一种 Rabbit 抗体,靶向 CDX2。Anti-CDX2 Antibody (1N738) 可用于 FCM,ICC/IF,IHC,WB。

Anti-CDX2 Antibody (1N738)
规格价格库存数量
50 μL
¥ 1,495
5日内发货
100 μL
¥ 2,495
5日内发货
库存状态实时更新,以官网显示为准,现货产品可直接加购物车下单
大包装 & 定制
加入购物车
TargetMol的所有产品仅用作科学研究或药证申报,不能被用于人体,我们不向个人提供产品和服务。请您遵守承诺用途,不得违反法律法规规定用于任何其他用途。
实验操作小课堂
常见问题解答
查看更多

资源下载:产品操作手册

产品介绍


生物活性
产品描述
Anti-CDX2 Antibody (1N738) is a Rabbit antibody targeting CDX2. Anti-CDX2 Antibody (1N738) can be used in FCM,ICC/IF,IHC,WB.
别名Homeobox protein CDX-2, Homeobox protein CDX 2, CDX-3, CDX3, CDX2_HUMAN, CDX2, CDX 3, CDX 2, Caudal-type homeobox protein 2, caudal type homeobox transcription factor 2, Caudal type homeobox protein 2, caudal type homeobox 2, caudal type homeo box transcription factor 2, Caudal type homeo box 2
Ig Type
IgG
克隆号
1N738
反应种属
Human,Rat,Rabbit
验证活性
1. Western blot analysis of CDX2 on AGS cells lysates using anti-CDX2 antibody at 1/1,000 dilution.
2. Immunohistochemical analysis of paraffin-embedded human colon cancer tissue using anti-CDX2 antibody. Counter stained with hematoxylin.
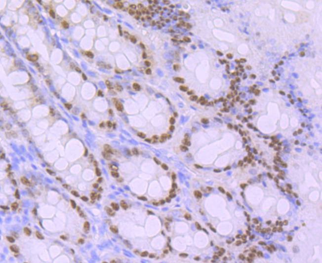
3. Immunohistochemical analysis of paraffin-embedded rat large intestine tissue using anti-CDX2 antibody. Counter stained with hematoxylin.
4. ICC staining CDX2 in LOVO cells (red). The nuclear counter stain is DAPI (blue). Cells were fixed in paraformaldehyde, permeabilised with 0.25% Triton X100/PBS.
5. ICC staining CDX2 in AGS cells (red). The nuclear counter stain is DAPI (blue). Cells were fixed in paraformaldehyde, permeabilised with 0.25% Triton X100/PBS.
6. Flow cytometric analysis of Hela cells with CDX2 antibody at 1/50 dilution (red) compared with an unlabelled control (cells without incubation with primary antibody; black). Alexa Fluor 488-conjugated goat anti rabbit IgG was used as the secondary antibody.
verifiedActivityverifiedActivityverifiedActivityverifiedActivityverifiedActivityverifiedActivity
应用FCMICC/IFIHCWB
推荐剂量
WB: 1:1000-2000; IHC: 1:50-200; ICC/IF: 1:50-200; FCM: 1:50-100
抗体种类
Monoclonal
宿主来源Rabbit
构建方式Recombinant Antibody
纯化方式ProA affinity purified
性状Liquid
缓冲液1*TBS (pH7.4), 1%BSA, 40%Glycerol. Preservative: 0.05% Sodium Azide.
研究背景The members of the murine Cdx family (Cdx1, Cdx2, and Cdx4) are members of the caudal-type homeobox family of genes, which are homologues of the Drosophila 'caudal' gene required for anterior-posterior regional identity. The intestine-specific transcription factors Cdx1 and Cdx2 are candidate genes for directing intestinal development, differentiation, proliferation and maintenance of the intestinal phenotype. The relative expression of Cdx1 to Cdx2 protein may be important in the anterior to posterior patterning of the intestinal epithelium and in defining patterns of proliferation and differentiation along the crypt-villus axis. Cdx1 and Cdx2 are expressed in the small intestine and colon of fetus and adult. A decrease in human Cdx1 and/or Cdx2 expression is associated with colorectal tumorigenesis. Both Cdx1 and Cdx2 genes must be expressed to reduce tumorigenic potential, to increase sensitivity to apoptosis, and to reduce cell migration, suggesting that the two genes control the normal phenotype by independent pathways.
偶联与修饰
偶联
Unconjugated
抗原信息
免疫原
Recombinant Protein
Uniprot ID
化学信息
分子量Theoretical: 34 kDa.
储存&溶解度
储存方式Store at -20°C or -80°C for 12 months. Avoid repeated freeze-thaw cycles.
运输方式Shipping with blue ice.

计算器

  • 稀释 计算器
  • 配液 计算器
Related Tags: buy Anti-CDX2 Antibody (1N738) | purchase Anti-CDX2 Antibody (1N738) | Anti-CDX2 Antibody (1N738) cost | order Anti-CDX2 Antibody (1N738) | Anti-CDX2 Antibody (1N738) molecular weight