购物车
  • TargetMol
    您的购物车当前为空

Anti-CDKN1B Antibody (9B660)

Synonyms: p27Kip1, KIP1, Cyclin-Dependent Kinase Inhibitor p27, Cyclin-Dependent Kinase Inhibitor 1B, CDKN1B
货号 TMAC-02947 一键复制产品信息
Rating icon 还可以
202603开学季活动

Anti-CDKN1B Antibody (9B660) 是一种 Rabbit 抗体,靶向 CDKN1B。Anti-CDKN1B Antibody (9B660) 可用于 FCM,ICC/IF,IHC,IP,WB。

Anti-CDKN1B Antibody (9B660)

一键复制产品信息
Rating icon 还可以
202603开学季活动
货号 TMAC-02947

别名 p27Kip1, KIP1, Cyclin-Dependent Kinase Inhibitor p27, Cyclin-Dependent Kinase Inhibitor 1B, CDKN1B

Anti-CDKN1B Antibody (9B660) 是一种 Rabbit 抗体,靶向 CDKN1B。Anti-CDKN1B Antibody (9B660) 可用于 FCM,ICC/IF,IHC,IP,WB。

Anti-CDKN1B Antibody (9B660)
规格价格库存数量
50 μL
¥ 1,480
5日内发货
100 μL
¥ 2,490
5日内发货
库存状态实时更新,以官网显示为准,现货产品可直接加购物车下单
大包装 & 定制
加入购物车

TargetMol的所有产品仅用作科学研究或药证申报,不能被用于人体,我们不向个人提供产品和服务。请您遵守承诺用途,不得违反法律法规规定用于任何其他用途。

实验操作小课堂
常见问题解答
查看更多

资源下载:产品操作手册

产品介绍


生物活性
产品描述
Anti-CDKN1B Antibody (9B660) is a Rabbit antibody targeting CDKN1B. Anti-CDKN1B Antibody (9B660) can be used in FCM,ICC/IF,IHC,IP,WB.
别名
p27Kip1, KIP1, Cyclin-Dependent Kinase Inhibitor p27, Cyclin-Dependent Kinase Inhibitor 1B, CDKN1B
Ig Type
IgG
克隆号
9B660
反应种属
Human,Rat
验证活性
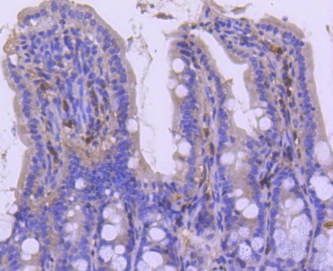
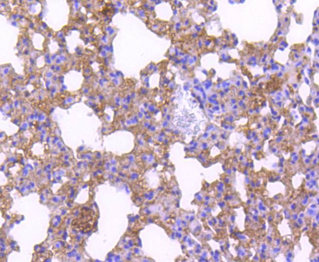
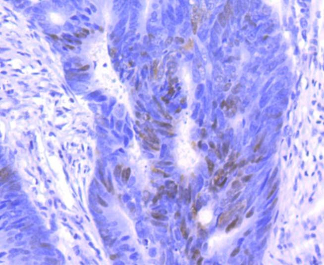
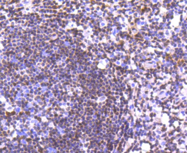
1. Immunohistochemical analysis of paraffin-embedded human tonsil tissue using anti-p27 KIP 1 antibody. Counter stained with hematoxylin.
2. Immunohistochemical analysis of paraffin-embedded human colon cancer tissue using anti-p27 KIP 1 antibody. Counter stained with hematoxylin.
3. Immunohistochemical analysis of paraffin-embedded human breast carcinoma tissue using anti-p27 KIP 1 antibody. Counter stained with hematoxylin.
4. Immunohistochemical analysis of paraffin-embedded mouse lung tissue using anti-p27 KIP 1 antibody. Counter stained with hematoxylin.
5. Immunohistochemical analysis of paraffin-embedded mouse colon tissue using anti-p27 KIP 1 antibody. Counter stained with hematoxylin.
6. ICC staining p27 KIP 1 in A431 cells (green). The nuclear counter stain is DAPI (blue). Cells were fixed in paraformaldehyde, permeabilised with 0.25% Triton X100/PBS.
7. ICC staining p27 KIP 1 in MCF-7 cells (green). The nuclear counter stain is DAPI (blue). Cells were fixed in paraformaldehyde, permeabilised with 0.25% Triton X100/PBS.
8. Flow cytometric analysis of Hela cells with p27 KIP 1 antibody at 1/50 dilution (red) compared with an unlabelled control (cells without incubation with primary antibody; black). Alexa Fluor 488-conjugated goat anti rabbit IgG was used as the secondary antibody.
verifiedActivityverifiedActivityverifiedActivityverifiedActivityverifiedActivityverifiedActivityverifiedActivityverifiedActivity
应用FCMICC/IFIHCIPWB
推荐剂量
WB: 1:1000; IHC: 1:100-500; ICC/IF: 1:100-500; FCM: 1:50-100
抗体种类
Monoclonal
宿主来源Rabbit
构建方式Recombinant Antibody
纯化方式ProA affinity purified
性状Liquid
缓冲液1*TBS (pH7.4), 1%BSA, 40%Glycerol. Preservative: 0.05% Sodium Azide.
研究背景Cell cycle progression is regulated by a series of cyclin-dependent kinases consisting of catalytic subunits, designated Cdks, as well as activating subunits, designated cyclins. Orderly progression through the cell cycle requires the activation and inactivation of different cyclin-Cdks at appropriate times. A series of proteins has recently been described that function as "mitotic inhibitors." These include p21, the levels of which are elevated upon DNA damage in G1 in a p53-dependent manner; p16; and a more recently described p16-related inhibitor designated p15. A p21-related protein, p27, has been described as a negative regulator of G1 progression and speculated to function as a possible mediator of TGFβ-induced G1 arrest. p27 interacts strongly with D-type cyclins and Cdk4 in vitro and, to a lesser extent, with cyclin E and Cdk2.
偶联与修饰
偶联
Unconjugated
抗原信息
免疫原
Recombinant Protein
Uniprot ID
化学信息
分子量Theoretical: 27 kDa.
储存&溶解度
储存方式Store at -20°C or -80°C for 12 months. Avoid repeated freeze-thaw cycles.
运输方式Shipping with blue ice.

计算器

  • 稀释 计算器
  • 配液 计算器

关键词

Related Tags: buy Anti-CDKN1B Antibody (9B660) | purchase Anti-CDKN1B Antibody (9B660) | Anti-CDKN1B Antibody (9B660) cost | order Anti-CDKN1B Antibody (9B660) | Anti-CDKN1B Antibody (9B660) molecular weight