购物车
  • TargetMol
    您的购物车当前为空

Anti-CDK4 Antibody (1F732)

Synonyms: PSK-J3, cyclin-dependent kinase 4, CMM3
货号 TMAC-00792 一键复制产品信息
Rating icon 还可以
202603开学季活动

Anti-CDK4 Antibody (1F732) 是一种 Rabbit 抗体,靶向 CDK4。Anti-CDK4 Antibody (1F732) 可用于 FCM,ICC/IF,IHC,WB。

Anti-CDK4 Antibody (1F732)

一键复制产品信息
Rating icon 还可以
202603开学季活动
货号 TMAC-00792

别名 PSK-J3, cyclin-dependent kinase 4, CMM3

Anti-CDK4 Antibody (1F732) 是一种 Rabbit 抗体,靶向 CDK4。Anti-CDK4 Antibody (1F732) 可用于 FCM,ICC/IF,IHC,WB。

Anti-CDK4 Antibody (1F732)
规格价格库存数量
50 μL
¥ 1,480
5日内发货
100 μL
¥ 2,490
5日内发货
库存状态实时更新,以官网显示为准,现货产品可直接加购物车下单
大包装 & 定制
加入购物车

TargetMol的所有产品仅用作科学研究或药证申报,不能被用于人体,我们不向个人提供产品和服务。请您遵守承诺用途,不得违反法律法规规定用于任何其他用途。

实验操作小课堂
常见问题解答
查看更多

资源下载:产品操作手册

产品介绍


生物活性
产品描述
Anti-CDK4 Antibody (1F732) is a Rabbit antibody targeting CDK4. Anti-CDK4 Antibody (1F732) can be used in FCM,ICC/IF,IHC,WB.
别名
PSK-J3, cyclin-dependent kinase 4, CMM3
Ig Type
IgG
克隆号
1F732
反应种属
Human
验证活性
1. Western blot analysis of Cdk4 on Hela cells lysates using anti-Cdk4 antibody at 1/1,000 dilution.
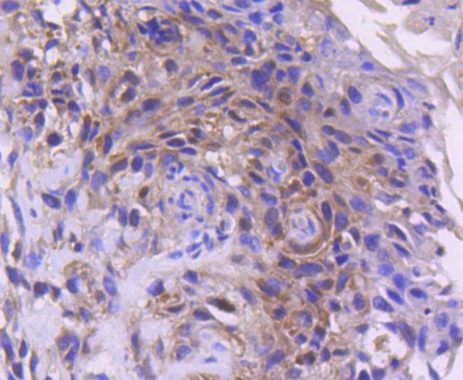
2. Immunohistochemical analysis of paraffin-embedded human breast carcinoma tissue using anti-Cdk4 antibody. Counter stained with hematoxylin.
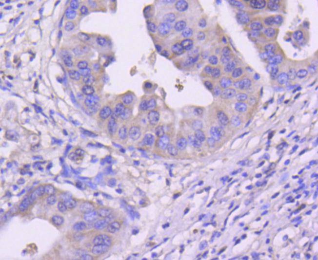
3. Immunohistochemical analysis of paraffin-embedded human gastric carcinoma tissue using anti-Cdk4 antibody. Counter stained with hematoxylin.
4. ICC staining Cdk4 in Hela cells (green). The nuclear counter stain is DAPI (blue). Cells were fixed in paraformaldehyde, permeabilised with 0.25% Triton X100/PBS.
5. ICC staining Cdk4 in MCF-7 cells (green). The nuclear counter stain is DAPI (blue). Cells were fixed in paraformaldehyde, permeabilised with 0.25% Triton X100/PBS.
6. ICC staining Cdk4 in NIH/3T3 cells (green). The nuclear counter stain is DAPI (blue). Cells were fixed in paraformaldehyde, permeabilised with 0.25% Triton X100/PBS.
7. Flow cytometric analysis of MCF-7 cells with Cdk4 antibody at 1/50 dilution (red) compared with an unlabelled control (cells without incubation with primary antibody; black). Alexa Fluor 488-conjugated goat anti rabbit IgG was used as the secondary antibody.
verifiedActivityverifiedActivityverifiedActivityverifiedActivityverifiedActivityverifiedActivityverifiedActivity
应用FCMICC/IFIHCWB
推荐剂量
WB: 1:1000-5000; IHC: 1:50-200; ICC/IF: 1:100-500; FCM: 1:50-100
抗体种类
Monoclonal
宿主来源Rabbit
构建方式Recombinant Antibody
纯化方式ProA affinity purified
性状Liquid
缓冲液1*TBS (pH7.4), 1%BSA, 40%Glycerol. Preservative: 0.05% Sodium Azide.
研究背景Cell cycle progression is controlled in part by a family of cyclin proteins and cyclin dependent kinases (Cdks). Cdk proteins work in concert with the cyclins to phosphorylate key substrates involved in each phase of cell cycle progression . Another family of proteins, Cdk inhibitors, also plays a role in regulating the cell cycle by binding to cyclin-Cdk complexes and modulating their activity. Several Cdk proteins have been identified, including Cdk2-Cdk8, PCTAIRE-1-PCTAIRE-3, PITALRE and PITSLRE. Cdk4, in complex with D-type cyclins, is thought to regulate cell growth during the G1 phase of the cell cycle. This association with a D-type cyclin upregulates Cdk4 activity, whereas binding to the Cdk inhibitor p16 downregulates Cdk4 activity. Activation of the Cdk4-cyclin complexes requires phosphorylation on a single threonyl residue of Cdk4, catalyzed by a Cdk-activating protein (CAK).
偶联与修饰
偶联
Unconjugated
抗原信息
免疫原
Recombinant Protein
Uniprot ID
化学信息
分子量Theoretical: 34 kDa.
储存&溶解度
储存方式Store at -20°C or -80°C for 12 months. Avoid repeated freeze-thaw cycles.
运输方式Shipping with blue ice.

计算器

  • 稀释 计算器
  • 配液 计算器

关键词

Related Tags: buy Anti-CDK4 Antibody (1F732) | purchase Anti-CDK4 Antibody (1F732) | Anti-CDK4 Antibody (1F732) cost | order Anti-CDK4 Antibody (1F732) | Anti-CDK4 Antibody (1F732) molecular weight