购物车
  • TargetMol
    您的购物车当前为空

Anti-CDH11 Antibody (6T438)

Synonyms: Osteoblast cadherin, OSF-4, OSF4, OB-cadherin, OBcadherin, OB, CDHOB, Cdh11, Cadherin 11 type 2 OB cadherin (osteoblast), Cadherin 11 type 2, Cadherin 11, CAD11
货号 TMAC-00781 一键复制产品信息
Rating icon 还可以

Anti-CDH11 Antibody (6T438) 是一种 Mouse 抗体,靶向 CDH11。Anti-CDH11 Antibody (6T438) 可用于 FCM,ICC,IHC,WB。

Anti-CDH11 Antibody (6T438)

一键复制产品信息
Rating icon 还可以
货号 TMAC-00781

别名 Osteoblast cadherin, OSF-4, OSF4, OB-cadherin, OBcadherin, OB, CDHOB, Cdh11, Cadherin 11 type 2 OB cadherin (osteoblast), Cadherin 11 type 2, Cadherin 11, CAD11

Anti-CDH11 Antibody (6T438) 是一种 Mouse 抗体,靶向 CDH11。Anti-CDH11 Antibody (6T438) 可用于 FCM,ICC,IHC,WB。

Anti-CDH11 Antibody (6T438)
规格价格库存数量
50 μL
¥ 1,980
5日内发货
100 μL
¥ 2,990
5日内发货
库存状态实时更新,以官网显示为准,现货产品可直接加购物车下单
大包装 & 定制
加入购物车
TargetMol的所有产品仅用作科学研究或药证申报,不能被用于人体,我们不向个人提供产品和服务。请您遵守承诺用途,不得违反法律法规规定用于任何其他用途。
实验操作小课堂
常见问题解答
查看更多

资源下载:产品操作手册

产品介绍


生物活性
产品描述
Anti-CDH11 Antibody (6T438) is a Mouse antibody targeting CDH11. Anti-CDH11 Antibody (6T438) can be used in FCM,ICC,IHC,WB.
别名Osteoblast cadherin, OSF-4, OSF4, OB-cadherin, OBcadherin, OB, CDHOB, Cdh11, Cadherin 11 type 2 OB cadherin (osteoblast), Cadherin 11 type 2, Cadherin 11, CAD11
克隆号
6T438
反应种属
Human
验证活性
1. Western blot analysis of CDH11 on human CDH11 recombinant protein using anti-CDH11 antibody at 1/1,000 dilution.
2. Western blot analysis of CDH11 on HEK293 (1) and CDH11-hIgGFc transfected HEK293 (2) cell lysate using anti-CDH11 antibody at 1/1,000 dilution.
3. Western blot analysis of CDH11 on MCF-7 (1), Jurkat (2) and HEK293 (3) cell lysate using anti-CDH11 antibody at 1/1,000 dilution.
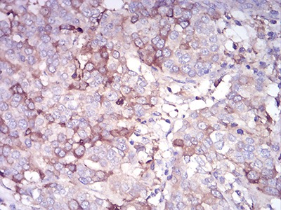
4. Immunohistochemical analysis of paraffin-embedded human bladder cancer tissue using anti-CDH11 antibody. Counter stained with hematoxylin.
5. ICC staining CDH11 (green) and Actin filaments (red) in HL-7702 cells. The nuclear counter stain is DAPI (blue). Cells were fixed in paraformaldehyde, permeabilised with 0.25% Triton X100/PBS.
6. Flow cytometric analysis of Hela cells with CDH11 antibody at 1/100 dilution (green) compared with an unlabelled control (cells without incubation with primary antibody; red).
verifiedActivityverifiedActivityverifiedActivityverifiedActivityverifiedActivityverifiedActivity
应用FCMICCIHCWB
推荐剂量
WB: 1:500-2000; IHC: 1:50-200; ICC: 1:50-200; FCM: 1:50-100
抗体种类
Monoclonal
宿主来源Mouse
构建方式Hybridoma Monoclonal Antibody
纯化方式ProA affinity purified
性状Liquid
缓冲液1*TBS (pH7.4), 1%BSA, 40%Glycerol. Preservative: 0.05% Sodium Azide.
研究背景Cadherins are calcium dependent cell adhesion proteins, a family of Ca++-dependent adhesion molecules that influence cell-cell binding and are critical to the maintenance of tissue structure and morphogenesis. OB-cadherin (osteoblast-cadherin, cadherin-11, OSF-4) has two forms, OB-cadherin-1 and OB-cadherin-2. OB-cadherin-2 has a truncated cytoplasmic domain, missing amino acids 694-796. Both OB-cadherins are expressed in osteoblastic cell lines with low expression seen in lungs, testis and brain. They preferentially interact with themselves in a homophilic manner in connecting cells; cadherins may thus contribute to the sorting of heterogeneous cell types
偶联与修饰
偶联
Unconjugated
抗原信息
免疫原
Recombinant Protein
Uniprot ID
化学信息
分子量Theoretical: 88 kDa.
储存&溶解度
储存方式Store at -20°C or -80°C for 12 months. Avoid repeated freeze-thaw cycles.
运输方式Shipping with blue ice.

计算器

  • 稀释 计算器
  • 配液 计算器
Related Tags: buy Anti-CDH11 Antibody (6T438) | purchase Anti-CDH11 Antibody (6T438) | Anti-CDH11 Antibody (6T438) cost | order Anti-CDH11 Antibody (6T438) | Anti-CDH11 Antibody (6T438) molecular weight