购物车
  • TargetMol
    您的购物车当前为空

Anti-CDH1 Antibody (5F903)

Synonyms: UVO, LCAM, E-Cadherin, E-cad, ECAD, CDHE, CDH1, CD324, cadherin 1, type 1, E-cadherin (epithelial), Arc-1
货号 TMAC-03066 一键复制产品信息
Rating icon 还可以

Anti-CDH1 Antibody (5F903) 是一种 Rabbit 抗体,靶向 CDH1。Anti-CDH1 Antibody (5F903) 可用于 FCM,ICC/IF,IHC,IP,WB。

Anti-CDH1 Antibody (5F903)

一键复制产品信息
Rating icon 还可以
货号 TMAC-03066

别名 UVO, LCAM, E-Cadherin, E-cad, ECAD, CDHE, CDH1, CD324, cadherin 1, type 1, E-cadherin (epithelial), Arc-1

Anti-CDH1 Antibody (5F903) 是一种 Rabbit 抗体,靶向 CDH1。Anti-CDH1 Antibody (5F903) 可用于 FCM,ICC/IF,IHC,IP,WB。

Anti-CDH1 Antibody (5F903)
规格价格库存数量
50 μL
¥ 1,485
5日内发货
100 μL
¥ 2,485
5日内发货
库存状态实时更新,以官网显示为准,现货产品可直接加购物车下单
大包装 & 定制
加入购物车

TargetMol的所有产品仅用作科学研究或药证申报,不能被用于人体,我们不向个人提供产品和服务。请您遵守承诺用途,不得违反法律法规规定用于任何其他用途。

实验操作小课堂
常见问题解答
查看更多

资源下载:产品操作手册

产品介绍


生物活性
产品描述
Anti-CDH1 Antibody (5F903) is a Rabbit antibody targeting CDH1. Anti-CDH1 Antibody (5F903) can be used in FCM,ICC/IF,IHC,IP,WB.
别名
UVO, LCAM, E-Cadherin, E-cad, ECAD, CDHE, CDH1, CD324, cadherin 1, type 1, E-cadherin (epithelial), Arc-1
Ig Type
IgG
克隆号
5F903
反应种属
Human,Mouse,Rat
验证活性
1. Western blot analysis of Pan-Cadherin on different lysates using anti-Pan-Cadherin antibody at 1/1,000 dilution. Positive control: Lane 1: Human heart, Lane 2: Mouse heart, Lane 3: Rat heart.
2. Immunohistochemical analysis of paraffin-embedded mouse liver tissue using anti-Pan-Cadherin antibody. Counter stained with hematoxylin.
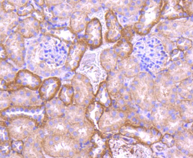
3. Immunohistochemical analysis of paraffin-embedded mouse kidney tissue using anti-Pan-Cadherin antibody. Counter stained with hematoxylin.
4. ICC staining Pan-Cadherin in Hela cells (green). The nuclear counter stain is DAPI (blue). Cells were fixed in paraformaldehyde, permeabilised with 0.25% Triton X100/PBS.
5. Flow cytometric analysis of Hela cells with Pan-Cadherin antibody at 1/50 dilution (red) compared with an unlabelled control (cells without incubation with primary antibody; black). Alexa Fluor 488-conjugated goat anti rabbit IgG was used as the secondary antibody.
verifiedActivityverifiedActivityverifiedActivityverifiedActivityverifiedActivity
应用FCMICC/IFIHCIPWB
推荐剂量
WB: 1:1000-5000; IHC: 1:50-200; ICC/IF: 1:50-200; FCM: 1:50-100
抗体种类
Monoclonal
宿主来源Rabbit
构建方式Recombinant Antibody
纯化方式ProA affinity purified
性状Liquid
缓冲液1*TBS (pH7.4), 1%BSA, 40%Glycerol. Preservative: 0.05% Sodium Azide.
研究背景Cadherins comprise a family of Ca2+-dependent adhesion molecules that function to mediate cell-cell binding critical to the maintenance of tissue structure and morphogenesis. The classical cadherins, E-, N- and P-cadherin, consist of large extracellular domains characterized by a series of five homologous NH2 terminal repeats. The most distal of these cadherins is thought to be responsible for binding specificity, transmembrane domains and carboxy terminal intracellular domains. The relatively short intracellular domains interact with a variety of cytoplasmic proteins, such as -catenin, to regulate cadherin function. Members of this family of adhesion proteins include rat cadherin K (and its human homolog, cadherin, R-cadherin, B-cadherin, E/P cadherin and cadherin-5.
偶联与修饰
偶联
Unconjugated
抗原信息
免疫原
Recombinant Protein
Uniprot ID
化学信息
分子量Theoretical: 140 kDa.
储存&溶解度
储存方式Store at -20°C or -80°C for 12 months. Avoid repeated freeze-thaw cycles.
运输方式Shipping with blue ice.

计算器

  • 稀释 计算器
  • 配液 计算器
Related Tags: buy Anti-CDH1 Antibody (5F903) | purchase Anti-CDH1 Antibody (5F903) | Anti-CDH1 Antibody (5F903) cost | order Anti-CDH1 Antibody (5F903) | Anti-CDH1 Antibody (5F903) molecular weight