购物车
  • TargetMol
    您的购物车当前为空

Anti-CDC40 Antibody (4S858)

Synonyms: PRPF17, PRP17_HUMAN, PRP17 homolog, PRP17, Pre-mRNA-processing factor 17, Pre mRNA splicing factor 17, Pre mRNA processing factor 17, hPRP17, EH-binding protein 3, Ehb3, EH binding protein 3, Cell division cycle 40 homolog, Cell division cycle 40, Cdc 40
货号 TMAC-00769 一键复制产品信息
Rating icon 还可以

Anti-CDC40 Antibody (4S858) 是一种 Rabbit 抗体,靶向 CDC40。Anti-CDC40 Antibody (4S858) 可用于 FCM,ICC/IF,IHC,WB。

Anti-CDC40 Antibody (4S858)

一键复制产品信息
Rating icon 还可以
货号 TMAC-00769

别名 PRPF17, PRP17_HUMAN, PRP17 homolog, PRP17, Pre-mRNA-processing factor 17, Pre mRNA splicing factor 17, Pre mRNA processing factor 17, hPRP17, EH-binding protein 3, Ehb3, EH binding protein 3, Cell division cycle 40 homolog, Cell division cycle 40, Cdc 40

Anti-CDC40 Antibody (4S858) 是一种 Rabbit 抗体,靶向 CDC40。Anti-CDC40 Antibody (4S858) 可用于 FCM,ICC/IF,IHC,WB。

Anti-CDC40 Antibody (4S858)
规格价格库存数量
50 μL
¥ 1,495
5日内发货
100 μL
¥ 2,480
5日内发货
库存状态实时更新,以官网显示为准,现货产品可直接加购物车下单
大包装 & 定制
加入购物车
TargetMol的所有产品仅用作科学研究或药证申报,不能被用于人体,我们不向个人提供产品和服务。请您遵守承诺用途,不得违反法律法规规定用于任何其他用途。
实验操作小课堂
常见问题解答
查看更多

资源下载:产品操作手册

产品介绍


生物活性
产品描述
Anti-CDC40 Antibody (4S858) is a Rabbit antibody targeting CDC40. Anti-CDC40 Antibody (4S858) can be used in FCM,ICC/IF,IHC,WB.
别名PRPF17, PRP17_HUMAN, PRP17 homolog, PRP17, Pre-mRNA-processing factor 17, Pre mRNA splicing factor 17, Pre mRNA processing factor 17, hPRP17, EH-binding protein 3, Ehb3, EH binding protein 3, Cell division cycle 40 homolog, Cell division cycle 40, Cdc 40
Ig Type
IgG
克隆号
4S858
反应种属
Human,Mouse,Rat
验证活性
1. Western blot analysis of CDC40 on Hela cells lysates using anti-CDC40 antibody at 1/2,000 dilution.
2. Immunohistochemical analysis of paraffin-embedded rat brain tissue using anti-CDC40 antibody. Counter stained with hematoxylin.
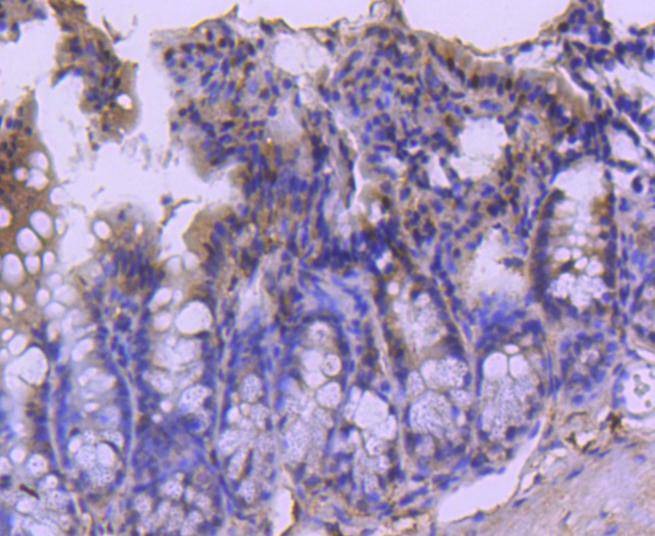
3. Immunohistochemical analysis of paraffin-embedded mouse colon tissue using anti-CDC40 antibody. Counter stained with hematoxylin.
4. Immunohistochemical analysis of paraffin-embedded mouse brain tissue using anti-CDC40 antibody. Counter stained with hematoxylin.
5. ICC staining CDC40 in Hela cells (green). The nuclear counter stain is DAPI (blue). Cells were fixed in paraformaldehyde, permeabilised with 0.25% Triton X100/PBS.
6. ICC staining CDC40 in HUVEC cells (green). The nuclear counter stain is DAPI (blue). Cells were fixed in paraformaldehyde, permeabilised with 0.25% Triton X100/PBS.
7. ICC staining CDC40 in SHG-44 cells (green). The nuclear counter stain is DAPI (blue). Cells were fixed in paraformaldehyde, permeabilised with 0.25% Triton X100/PBS.
8. Flow cytometric analysis of K562 cells with CDC40 antibody at 1/50 dilution (red) compared with an unlabelled control (cells without incubation with primary antibody; black). Alexa Fluor 488-conjugated goat anti rabbit IgG was used as the secondary antibody.
verifiedActivityverifiedActivityverifiedActivityverifiedActivityverifiedActivityverifiedActivityverifiedActivityverifiedActivity
应用FCMICC/IFIHCWB
推荐剂量
WB: 1:1000-5000; IHC: 1:50-200; ICC/IF: 1:50-200; FCM: 1:50-100
抗体种类
Monoclonal
宿主来源Rabbit
构建方式Recombinant Antibody
纯化方式ProA affinity purified
性状Liquid
缓冲液1*TBS (pH7.4), 1%BSA, 40%Glycerol. Preservative: 0.05% Sodium Azide.
研究背景Cell cycle events are regulated by the sequential activation and deactivation of cyclin dependent kinases (Cdks) and by the proteolysis of cyclins. The cell division control (Cdc) genes are required at various points in the cell cycle. Cdc40, also known as pre-mRNA-processing factor 17 (PRPF17) or EH-binding protein 3 (EHB3), is a 579 amino acid nuclear protein. Cdc40 is essential for the catalytic step II of the pre-mRNA splicing process, in which Cdc40 associates with the spliceosome C complex. Cdc40 contains seven WD repeats, which are important in protein-protein interactions. Cdc40 has sequence similarity to the yeast protein Prp17, which is involved in pre-mRNA splicing and cell cycle progression. The sequence similarity between the mammalian Cdc40 and the yeast Prp17 may indicate an additional role in cell cycle progression for mammalian Cdc40.
偶联与修饰
偶联
Unconjugated
抗原信息
免疫原
Recombinant Protein
Uniprot ID
化学信息
分子量Theoretical: 66 kDa.
储存&溶解度
储存方式Store at -20°C or -80°C for 12 months. Avoid repeated freeze-thaw cycles.
运输方式Shipping with blue ice.

计算器

  • 稀释 计算器
  • 配液 计算器
Related Tags: buy Anti-CDC40 Antibody (4S858) | purchase Anti-CDC40 Antibody (4S858) | Anti-CDC40 Antibody (4S858) cost | order Anti-CDC40 Antibody (4S858) | Anti-CDC40 Antibody (4S858) molecular weight