购物车
  • TargetMol
    您的购物车当前为空

Anti-CD3G Antibody (3M994)

Synonyms: T-cell surface glycoprotein CD3 gamma chain, T-cell receptor T3 gamma chain, T3G, CD3g
货号 TMAC-00706Cas号 一键复制产品信息纯度:
Rating icon 还可以

Anti-CD3G Antibody (3M994) 是一种 Rabbit 抗体,靶向 CD3G。Anti-CD3G Antibody (3M994) 可用于 FCM,IHC,IP,WB。

Anti-CD3G Antibody (3M994)

一键复制产品信息
Rating icon 还可以
货号 TMAC-00706

别名 T-cell surface glycoprotein CD3 gamma chain, T-cell receptor T3 gamma chain, T3G, CD3g

Anti-CD3G Antibody (3M994) 是一种 Rabbit 抗体,靶向 CD3G。Anti-CD3G Antibody (3M994) 可用于 FCM,IHC,IP,WB。

Anti-CD3G Antibody (3M994)
规格价格库存数量
50 μL
¥ 1,490
5日内发货
100 μL
¥ 2,485
5日内发货
库存状态实时更新,以官网显示为准,现货产品可直接加购物车下单
大包装 & 定制
加入购物车

TargetMol的所有产品仅用作科学研究或药证申报,不能被用于人体,我们不向个人提供产品和服务。请您遵守承诺用途,不得违反法律法规规定用于任何其他用途。

实验操作小课堂
常见问题解答
查看更多

资源下载:产品操作手册

产品介绍


生物活性
产品描述
Anti-CD3G Antibody (3M994) is a Rabbit antibody targeting CD3G. Anti-CD3G Antibody (3M994) can be used in FCM,IHC,IP,WB.
别名
T-cell surface glycoprotein CD3 gamma chain, T-cell receptor T3 gamma chain, T3G, CD3g
Ig Type
IgG
克隆号
3M994
反应种属
Human,Mouse
验证活性
1. Western blot analysis of CD3G on mouse thymus tissue lysate using anti-CD3G antibody at 1/500 dilution.
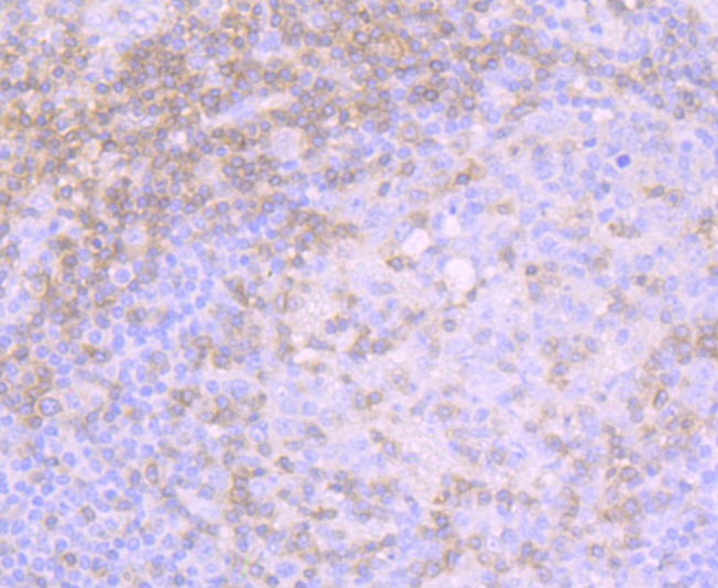
2. Immunohistochemical analysis of paraffin-embedded human tonsil tissue using anti-CD3G antibody. Counter stained with hematoxylin.
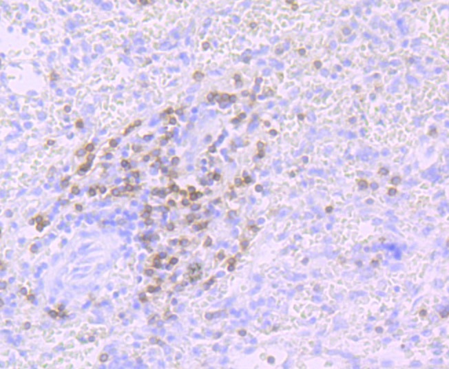
3. Immunohistochemical analysis of paraffin-embedded human spleen tissue using anti-CD3G antibody. Counter stained with hematoxylin.
4. Flow cytometric analysis of Jurkat cells with CD3G antibody at 1/100 dilution (red) compared with an unlabelled control (cells without incubation with primary antibody; black). Alexa Fluor 488-conjugated goat anti-rabbit IgG was used as the secondary antibody.
verifiedActivityverifiedActivityverifiedActivityverifiedActivity
应用FCMIHCIPWB
推荐剂量
WB: 1:500-1000; IHC: 1:50-200; IP: 1:10-50; FCM: 1:50-100
抗体种类
Monoclonal
宿主来源Rabbit
构建方式Recombinant Antibody
纯化方式ProA affinity purified
性状Liquid
缓冲液1*TBS (pH7.4), 1%BSA, 40%Glycerol. Preservative: 0.05% Sodium Azide.
研究背景The T cell antigen receptor (TCR) recognizes foreign antigens and translates such recognition events into intracellular signals that elicit a change in the cell from a dormant to an activated state. Much of this signaling process can be attributed to a multisubunit complex of proteins that associates directly with the TCR. This complex has been designated CD3 (cluster of differentiation 3). It is composed of five invariant polypeptide chains that associate to form three dimers: a heterodimer of gamma and epsilon chains (γε), a heterodimer of delta and epsilon chains (δε) and a homodimer of two zeta chains (ζζ) or a heterodimer of zeta and eta chains (ζη). The ζ and η chains are encoded by the same gene but differ in their carboxyl-terminal ends due to an alternative splicing event. The γ, ε and δ chains each contain a single copy of a conserved immunoreceptor tyrosine-based activation motif (ITAM).
偶联与修饰
偶联
Unconjugated
抗原信息
免疫原
Recombinant Protein
Uniprot ID
化学信息
分子量Theoretical: 20 kDa.
储存&溶解度
储存方式Store at -20°C or -80°C for 12 months. Avoid repeated freeze-thaw cycles.
运输方式Shipping with blue ice.

计算器

  • 稀释 计算器
  • 配液 计算器
Related Tags: buy Anti-CD3G Antibody (3M994) | purchase Anti-CD3G Antibody (3M994) | Anti-CD3G Antibody (3M994) cost | order Anti-CD3G Antibody (3M994) | Anti-CD3G Antibody (3M994) molecular weight