购物车
  • 全部删除
  • TargetMol
    您的购物车当前为空

Anti-CD36 Polyclonal Antibody

Rating icon 还可以
产品编号 TMAB-00359
别名 SR-B3, SRB3, SCARB3, PAS-4, PAS IV, GPIV, GPIIIb, GP3B, FATCHDS7, FAT, CHDS7, CD36, BDPLT10

Anti-CD36 Polyclonal Antibody 是一种 Rabbit 抗体,靶向 CD36。Anti-CD36 Polyclonal Antibody 可用于 FCM,IF,IHC-Fr,IHC-P,IP,WB。

Anti-CD36 Polyclonal Antibody

Anti-CD36 Polyclonal Antibody

一键复制产品信息
Rating icon 还可以
产品编号 TMAB-00359 别名 SR-B3, SRB3, SCARB3, PAS-4, PAS IV, GPIV, GPIIIb, GP3B, FATCHDS7, FAT, CHDS7, CD36, BDPLT10

Anti-CD36 Polyclonal Antibody 是一种 Rabbit 抗体,靶向 CD36。Anti-CD36 Polyclonal Antibody 可用于 FCM,IF,IHC-Fr,IHC-P,IP,WB。

规格价格库存数量
50 μL
¥ 1,165
5日内发货
100 μL
¥ 1,960
5日内发货
大包装 & 定制
加入购物车
TargetMol 的所有产品仅用作科学研究或药证申报,不能被用于人体,我们不向个人提供产品和服务。请您遵守承诺用途,不得违反法律法规规定用于任何其他用途。
实验操作小课堂
常见问题解答
查看更多
联系我们获取更多批次信息
资源下载

产品介绍

生物活性
产品描述
Anti-CD36 Polyclonal Antibody is a Rabbit antibody targeting CD36. Anti-CD36 Polyclonal Antibody can be used in FCM,IF,IHC-Fr,IHC-P,IP,WB.
别名SR-B3, SRB3, SCARB3, PAS-4, PAS IV, GPIV, GPIIIb, GP3B, FATCHDS7, FAT, CHDS7, CD36, BDPLT10
Ig Type
IgG
交叉反应
Human,Mouse,Rat
验证活性
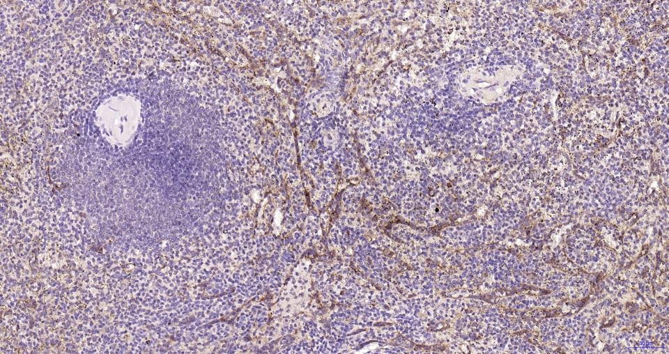
1. Paraformaldehyde-fixed, paraffin embedded Human Spleen; Antigen retrieval by boiling in sodium citrate buffer (pH6.0) for 15 min; Antibody incubation with CD36 Polyclonal Antibody, Unconjugated (TMAB-00359) at 1:200 overnight at 4°C, followed by conjugation to the SP Kit (Rabbit) and DAB staining.
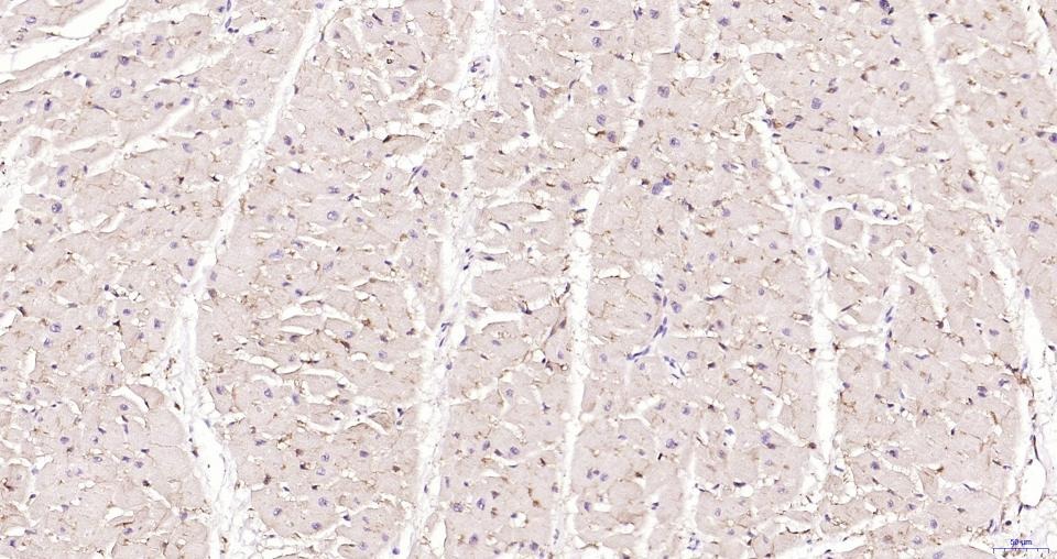
2. Paraformaldehyde-fixed, paraffin embedded Human Heart; Antigen retrieval by boiling in sodium citrate buffer (pH6.0) for 15 min; Antibody incubation with CD36 Polyclonal Antibody, Unconjugated (TMAB-00359) at 1:200 overnight at 4°C, followed by conjugation to the SP Kit (Rabbit) and DAB staining.
3. 25 μg total protein per Lane of various lysates probed with CD36 polyclonal antibody, unconjugated (TMAB-00359) at 1:1000 dilution and 4°C overnight incubation. Followed by conjugated secondary antibody incubation at RT for 60 min.
4. The U937 (H) cells were incubated in 5% BSA to block non-specific protein-protein interactions (30 min at room temperature). Primary Antibody (green): Rabbit Anti-CD36 antibody (TMAB-00359): 1 μg/10^6 cells; Secondary Antibody (white blue): Goat anti-Rabbit IgG-FITC: 1 μg/test. Isotype Control (orange): Rabbit IgG. Blank control (black): PBS.
verifiedActivityverifiedActivityverifiedActivityverifiedActivity
应用FCMIFIHC-FrIHC-PIPWB
推荐剂量
WB: 1:500-2000; IHC-P: 1:50-200; IHC-Fr: 1:50-200; IF: 1:50-200; FCM: 1ug/Test; IP: 1:20-50
抗体种类
Polyclonal
宿主来源Rabbit
亚细胞定位Membrane; Multi-pass membrane protein.
组织特异性Predominant in heart, intestine, spleen, fat, skeletal muscle, lower in testes.
构建方式Polyclonal Antibody
纯化方式Protein A purified
性状Liquid
缓冲液0.01M TBS (pH7.4) with 1% BSA, 0.02% Proclin300 and 50% Glycerol.
浓度1 mg/mL
研究背景The protein encoded by this gene is the fourth major glycoprotein of the platelet surface and serves as a receptor for thrombospondin in platelets and various cell lines. Since thrombospondins are widely distributed proteins involved in a variety of adhesive processes, this protein may have important functions as a cell adhesion molecule. It binds to collagen, thrombospondin, anionic phospholipids and oxidized LDL. It directly mediates cytoadherence of Plasmodium falciparum parasitized erythrocytes and it binds long chain fatty acids and may function in the transport and/or as a regulator of fatty acid transport. Mutations in this gene cause platelet glycoprotein deficiency. Multiple alternatively spliced transcript variants have been found for this gene. [provided by RefSeq, Feb 2014]
抗原信息
免疫原
KLH conjugated synthetic peptide: human CD36
抗原种属
Human
基因名称
CD36
基因ID
蛋白名称
Platelet glycoprotein 4
Uniprot ID
研究领域
Metabolism of lipids and lipoproteins,Endothelial Cell Markers,Lipid transport,Platelets,Platelets,Lipid metabolism,Heart disease,Defensin,Endothelial Markers,Human Lineage Negative
功能
Seems to have numerous potential physiological functions. Binds to collagen, thrombospondin, anionic phospholipids and oxidized LDL. May function as a cell adhesion molecule. Directly mediates cytoadherence of Plasmodium falciparum parasitized erythrocytes. Binds long chain fatty acids and may function in the transport and/or as a regulator of fatty acid transport. Receptor for thombospondins, THBS1 AND THBS2, mediating their antiangiogenic effects.
化学信息
分子量Theoretical: 52 kDa. Actual: 85-90 kDa.
存储&运输
储存方式Store at -20°C or -80°C for 12 months. Avoid repeated freeze-thaw cycles.
运输方式Shipping with blue ice.

计算器

  • 稀释 计算器

关键词

评论列表

4个月前
5.0
Rating icon 很棒

评论内容

Related Tags: buy Anti-CD36 Polyclonal Antibody | purchase Anti-CD36 Polyclonal Antibody | Anti-CD36 Polyclonal Antibody cost | order Anti-CD36 Polyclonal Antibody | Anti-CD36 Polyclonal Antibody molecular weight