购物车
  • 全部删除
  • TargetMol
    您的购物车当前为空

Anti-CD36 Antibody (6K672)

Rating icon 还可以
产品编号 TMAC-00701
别名 SR-B3, SRB3, SCARB3, PAS-4, PAS IV, GPIV, GPIIIb, GP3B, FATCHDS7, FAT, CHDS7, CD36, BDPLT10

Anti-CD36 Antibody (6K672) 是一种 Rabbit 抗体,靶向 CD36。Anti-CD36 Antibody (6K672) 可用于 FCM,ICC/IF,IHC,IP,WB。

Anti-CD36 Antibody (6K672)

Anti-CD36 Antibody (6K672)

一键复制产品信息
Rating icon 还可以
产品编号 TMAC-00701 别名 SR-B3, SRB3, SCARB3, PAS-4, PAS IV, GPIV, GPIIIb, GP3B, FATCHDS7, FAT, CHDS7, CD36, BDPLT10

Anti-CD36 Antibody (6K672) 是一种 Rabbit 抗体,靶向 CD36。Anti-CD36 Antibody (6K672) 可用于 FCM,ICC/IF,IHC,IP,WB。

规格价格库存数量
50 μL
¥ 1,490
5日内发货
100 μL
¥ 2,495
5日内发货
大包装 & 定制
加入购物车
TargetMol 的所有产品仅用作科学研究或药证申报,不能被用于人体,我们不向个人提供产品和服务。请您遵守承诺用途,不得违反法律法规规定用于任何其他用途。
实验操作小课堂
常见问题解答
查看更多
联系我们获取更多批次信息
资源下载

产品介绍

生物活性
产品描述
Anti-CD36 Antibody (6K672) is a Rabbit antibody targeting CD36. Anti-CD36 Antibody (6K672) can be used in FCM,ICC/IF,IHC,IP,WB.
别名SR-B3, SRB3, SCARB3, PAS-4, PAS IV, GPIV, GPIIIb, GP3B, FATCHDS7, FAT, CHDS7, CD36, BDPLT10
Ig Type
IgG
克隆号
6K672
交叉反应
Human,Mouse,Rat
验证活性
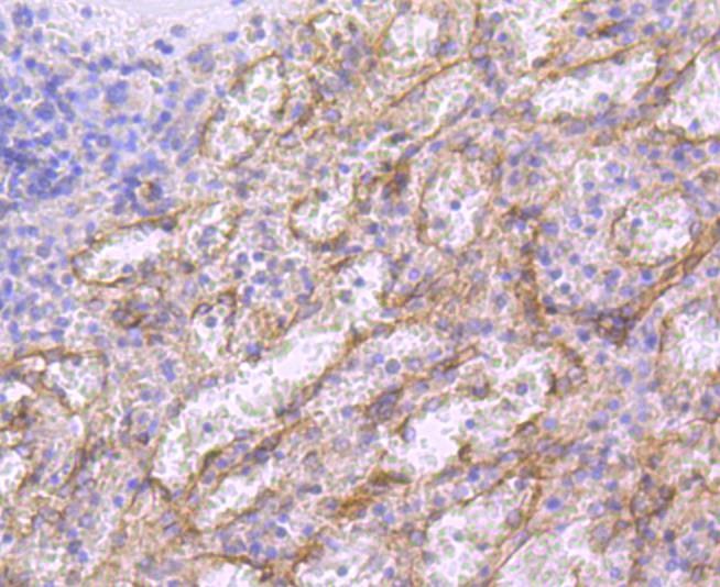
1. Immunohistochemical analysis of paraffin-embedded human spleen tissue using anti-CD36 antibody. Counter stained with hematoxylin.
2. Flow cytometric analysis of THP-1 cells with CD36 antibody at 1/50 dilution (red) compared with an unlabelled control (cells without incubation with primary antibody; black). Alexa Fluor 488-conjugated goat anti rabbit IgG was used as the secondary antibody.
verifiedActivityverifiedActivity
应用FCMICC/IFIHCIPWB
推荐剂量
WB: 1:1000; IHC: 1:50-200; ICC/IF: 1:50-200; FCM: 1:50-100
抗体种类
Monoclonal
宿主来源Rabbit
构建方式Recombinant Antibody
纯化方式ProA affinity purified
性状Liquid
缓冲液1*TBS (pH7.4), 1%BSA, 40%Glycerol. Preservative: 0.05% Sodium Azide.
研究背景CD36 (collagen type I receptor, thrombospondin receptor, FAT, GP4, GP3B, GPIV, PASIV, SCARB3) is a membrane glycoprotein on platelets, monocytes and umbilical vein endothelial cells. CD36 binds to collagen, thrombospondin, anionic phospholipids and oxidized LDL. CD36 plays a key role in both phagocytosis and lipid recycling, for constant production of mature spermatozoa. Mutations in this gene cause platelet glycoprotein deficiency. Three alternatively spliced transcript variants encoding the same protein isoform have been found for this gene. Thrombospondins are widely distributed proteins that influence a variety of adhesive processes and CD36 may have important functions as a cell adhesion molecule.
偶联与修饰
偶联
Unconjugated
抗原信息
免疫原
Recombinant Protein
Uniprot ID
化学信息
分子量Theoretical: 70-110 kDa.
存储&运输
储存方式Store at -20°C or -80°C for 12 months. Avoid repeated freeze-thaw cycles.
运输方式Shipping with blue ice.

计算器

  • 稀释 计算器

关键词

评论列表

4个月前
5.0
Rating icon 很棒

评论内容

Related Tags: buy Anti-CD36 Antibody (6K672) | purchase Anti-CD36 Antibody (6K672) | Anti-CD36 Antibody (6K672) cost | order Anti-CD36 Antibody (6K672) | Anti-CD36 Antibody (6K672) molecular weight