购物车
  • 全部删除
  • TargetMol
    您的购物车当前为空

Anti-CD31 Antibody (6F18)

Rating icon 还可以
产品编号 TMAC-00695
别名 PECAM-1, PECA1, GPIIA', FLJ58394, FLJ34100, EndoCAM, CD31

Anti-CD31 Antibody (6F18) 是一种 Rabbit 抗体,靶向 CD31。Anti-CD31 Antibody (6F18) 可用于 FCM,IHC,IP,WB。

Anti-CD31 Antibody (6F18)

Anti-CD31 Antibody (6F18)

一键复制产品信息
Rating icon 还可以
产品编号 TMAC-00695 别名 PECAM-1, PECA1, GPIIA', FLJ58394, FLJ34100, EndoCAM, CD31

Anti-CD31 Antibody (6F18) 是一种 Rabbit 抗体,靶向 CD31。Anti-CD31 Antibody (6F18) 可用于 FCM,IHC,IP,WB。

规格价格库存数量
50 μL
¥ 1,480
5日内发货
100 μL
¥ 2,480
5日内发货
大包装 & 定制
加入购物车
TargetMol 的所有产品仅用作科学研究或药证申报,不能被用于人体,我们不向个人提供产品和服务。请您遵守承诺用途,不得违反法律法规规定用于任何其他用途。
实验操作小课堂
常见问题解答
查看更多
联系我们获取更多批次信息
资源下载

产品介绍

生物活性
产品描述
Anti-CD31 Antibody (6F18) is a Rabbit antibody targeting CD31. Anti-CD31 Antibody (6F18) can be used in FCM,IHC,IP,WB.
别名PECAM-1, PECA1, GPIIA', FLJ58394, FLJ34100, EndoCAM, CD31
Ig Type
IgG
克隆号
6F18
交叉反应
Human
验证活性
1. Western blot analysis of CD31 on THP-1 cell lysates using anti-CD31 antibody at 1/1,000 dilution.
2. Immunohistochemical analysis of paraffin-embedded human tonsil tissue using anti-CD31 antibody. Counter stained with hematoxylin.
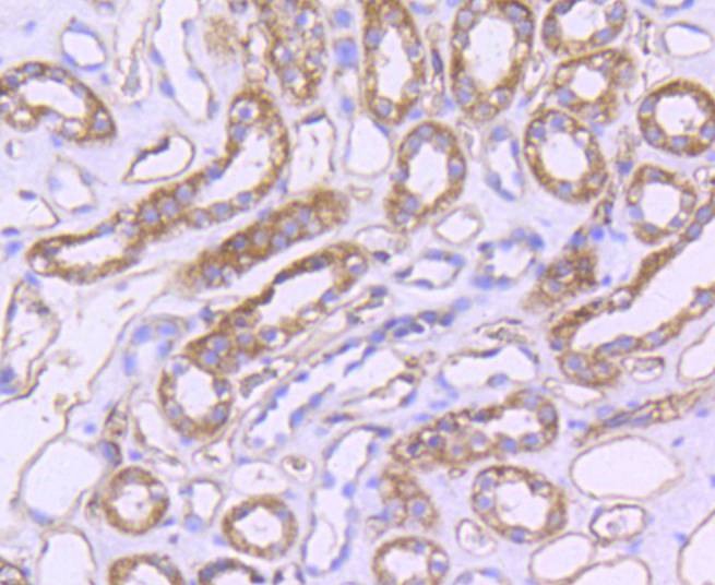
3. Immunohistochemical analysis of paraffin-embedded human kidney tissue using anti-CD31 antibody. Counter stained with hematoxylin.
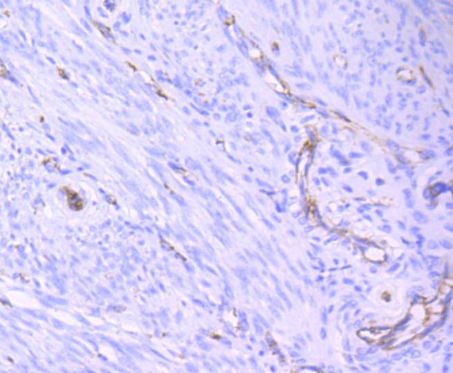
4. Immunohistochemical analysis of paraffin-embedded human uterus tissue using anti-CD31 antibody. Counter stained with hematoxylin.
5. Flow cytometric analysis of THP-1 cells with CD31 antibody at 1/50 dilution (blue) compared with an unlabelled control (cells without incubation with primary antibody; red). Alexa Fluor 488-conjugated goat anti rabbit IgG was used as the secondary antibody.
verifiedActivityverifiedActivityverifiedActivityverifiedActivityverifiedActivity
应用FCMIHCIPWB
推荐剂量
WB: 1:1000-2000; IHC: 1:50-200; FCM: 1:50-100
抗体种类
Monoclonal
宿主来源Rabbit
构建方式Recombinant Antibody
纯化方式ProA affinity purified
性状Liquid
缓冲液1*TBS (pH7.4), 1%BSA, 40%Glycerol. Preservative: 0.05% Sodium Azide.
研究背景Cell adhesion molecules are a family of closely related cell surface glycoproteins involved in cell-cell interactions during growth and are thought to play an important role in embryogenesis and development. Neuronal cell adhesion molecule (NCAM) expression is observed in a variety of human tumors including neuroblastomas, rhabdomyosarcomas, Wilms?? tumors, Ewing??s sarcomas and some primitive myeloid malignancies. The intracellular adhesion molecule-1 (ICAM-1), also referred to as CD54, is an integral membrane protein of the immunoglobulin superfamily and recognizes the β2/α1 and β2/αM integrins. PECAM-1 (platelet/endothelial cell adhesion molecule-1), also referred to as CD31, is a glycoprotein expressed on the cell surfaces of monocytes, neutrophils, platelets and a subpopulation of T cells. VCAM-1 (vascular cell adhesion molecule-1) was first identified as an adhesion molecule induced on human endothelial cells by inflammatory cytokines such as IL-1, tumor necrosis factor (TNF) and lipopolysaccharide (LPS). The KALIG gene encodes a nerve cell adhesion molecule (NCAM)-like protein and is deleted in 66% of patients with Kallmann??s syndrome, anosmia with secondary hypogonadism.
偶联与修饰
偶联
Unconjugated
抗原信息
免疫原
Recombinant Protein
Uniprot ID
化学信息
分子量Theoretical: 82 (Observed: 130) kDa.
存储&运输
储存方式Store at -20°C or -80°C for 12 months. Avoid repeated freeze-thaw cycles.
运输方式Shipping with blue ice.

计算器

  • 稀释 计算器

关键词

评论列表

4个月前
5.0
Rating icon 很棒

评论内容

Related Tags: buy Anti-CD31 Antibody (6F18) | purchase Anti-CD31 Antibody (6F18) | Anti-CD31 Antibody (6F18) cost | order Anti-CD31 Antibody (6F18) | Anti-CD31 Antibody (6F18) molecular weight