购物车
  • 全部删除
  • TargetMol
    您的购物车当前为空

Anti-CBX5 Antibody (5G758)

Rating icon 还可以
产品编号 TMAC-02002
别名 HP1A, Heterochromatin protein 1 homolog alpha (HP1 alpha), Chromobox protein homolog 5, CBX5, Antigen p25

Anti-CBX5 Antibody (5G758) 是一种 Rabbit 抗体,靶向 CBX5。Anti-CBX5 Antibody (5G758) 可用于 FCM,ICC/IF,IHC,IP,WB。

Anti-CBX5 Antibody (5G758)

Anti-CBX5 Antibody (5G758)

一键复制产品信息
Rating icon 还可以
产品编号 TMAC-02002 别名 HP1A, Heterochromatin protein 1 homolog alpha (HP1 alpha), Chromobox protein homolog 5, CBX5, Antigen p25

Anti-CBX5 Antibody (5G758) 是一种 Rabbit 抗体,靶向 CBX5。Anti-CBX5 Antibody (5G758) 可用于 FCM,ICC/IF,IHC,IP,WB。

规格价格库存数量
50 μL
¥ 1,480
5日内发货
100 μL
¥ 2,480
5日内发货
大包装 & 定制
加入购物车
TargetMol 的所有产品仅用作科学研究或药证申报,不能被用于人体,我们不向个人提供产品和服务。请您遵守承诺用途,不得违反法律法规规定用于任何其他用途。
实验操作小课堂
常见问题解答
查看更多
联系我们获取更多批次信息
资源下载

产品介绍

生物活性
产品描述
Anti-CBX5 Antibody (5G758) is a Rabbit antibody targeting CBX5. Anti-CBX5 Antibody (5G758) can be used in FCM,ICC/IF,IHC,IP,WB.
别名HP1A, Heterochromatin protein 1 homolog alpha (HP1 alpha), Chromobox protein homolog 5, CBX5, Antigen p25
Ig Type
IgG
克隆号
5G758
交叉反应
Human,Mouse,Rat
验证活性
1. Western blot analysis of HP1 alpha on different cell lysates using anti-HP1 alpha antibody at 1/1,000 dilution. Positive control: Lane 1: MCF-7, Lane 2: Hela.
2. Immunohistochemical analysis of paraffin-embedded human tonsil tissue using anti-HP1 alpha antibody. Counter stained with hematoxylin.
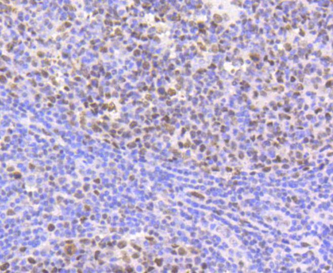
3. Immunohistochemical analysis of paraffin-embedded human breast carcinoma tissue using anti-HP1 alpha antibody. Counter stained with hematoxylin.
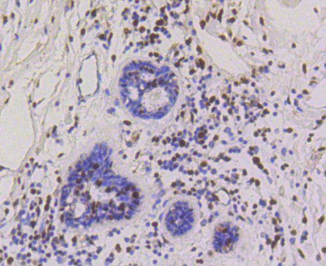
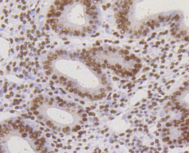
4. Immunohistochemical analysis of paraffin-embedded human uterus tissue using anti-HP1 alpha antibody. Counter stained with hematoxylin.
5. Immunohistochemical analysis of paraffin-embedded mouse uterus tissue using anti-HP1 alpha antibody. Counter stained with hematoxylin.
6. ICC staining HP1 alpha in Hela cells (green). The nuclear counter stain is DAPI (blue). Cells were fixed in paraformaldehyde, permeabilised with 0.25% Triton X100/PBS.
7. ICC staining HP1 alpha in MCF-7 cells (green). The nuclear counter stain is DAPI (blue). Cells were fixed in paraformaldehyde, permeabilised with 0.25% Triton X100/PBS.
8. Flow cytometric analysis of SH-SY-5Y cells with HP1 alpha antibody at 1/50 dilution (blue) compared with an unlabelled control (cells without incubation with primary antibody; red). Alexa Fluor 488-conjugated goat anti rabbit IgG was used as the secondary antibody.
verifiedActivityverifiedActivityverifiedActivityverifiedActivityverifiedActivityverifiedActivityverifiedActivityverifiedActivity
应用FCMICC/IFIHCIPWB
推荐剂量
WB: 1:1000-5000; IHC: 1:50-200; ICC/IF: 1:50-200; FCM: 1:50-100
抗体种类
Monoclonal
宿主来源Rabbit
构建方式Recombinant Antibody
纯化方式ProA affinity purified
性状Liquid
缓冲液1*TBS (pH7.4), 1%BSA, 40%Glycerol. Preservative: 0.05% Sodium Azide.
研究背景The family of Heterochromatin Protein 1 (HP1) ("Chromobox Homolog", CBX) are highly conserved adapter proteins, which have important functions in the cell nucleus. These functions include gene repression by heterochromatin formation, transcriptional activation, regulation of binding of cohesion complexes to centromere, sequesteration of genes to nuclear periphery, transcriptional arrest, maintenance of heterochromatin integrity, gene repression at single nucleosome level and gene repression by heterochromatization of euchromatin.Three different paralogs of HP1 are found in mammals, HP1α, HP1βand HP1γ.
偶联与修饰
偶联
Unconjugated
抗原信息
免疫原
Recombinant Protein
Uniprot ID
化学信息
分子量Theoretical: 22 kDa.
存储&运输
储存方式Store at -20°C or -80°C for 12 months. Avoid repeated freeze-thaw cycles.
运输方式Shipping with blue ice.

计算器

  • 稀释 计算器

关键词

评论列表

4个月前
5.0
Rating icon 很棒

评论内容

Related Tags: buy Anti-CBX5 Antibody (5G758) | purchase Anti-CBX5 Antibody (5G758) | Anti-CBX5 Antibody (5G758) cost | order Anti-CBX5 Antibody (5G758) | Anti-CBX5 Antibody (5G758) molecular weight