购物车
  • 全部删除
  • TargetMol
    您的购物车当前为空

Anti-CBL Antibody (8B374)

Rating icon 还可以
产品编号 TMAC-00637
别名 RNF55, Proto-oncogene c-Cbl, CBL2

Anti-CBL Antibody (8B374) 是一种 Mouse 抗体,靶向 CBL。Anti-CBL Antibody (8B374) 可用于 FCM,ICC,IHC,WB。

Anti-CBL Antibody (8B374)

Anti-CBL Antibody (8B374)

一键复制产品信息
Rating icon 还可以
产品编号 TMAC-00637 别名 RNF55, Proto-oncogene c-Cbl, CBL2

Anti-CBL Antibody (8B374) 是一种 Mouse 抗体,靶向 CBL。Anti-CBL Antibody (8B374) 可用于 FCM,ICC,IHC,WB。

规格价格库存数量
50 μL
¥ 1,985
5日内发货
100 μL
¥ 2,990
5日内发货
大包装 & 定制
加入购物车
TargetMol 的所有产品仅用作科学研究或药证申报,不能被用于人体,我们不向个人提供产品和服务。请您遵守承诺用途,不得违反法律法规规定用于任何其他用途。
实验操作小课堂
常见问题解答
查看更多
联系我们获取更多批次信息
资源下载

产品介绍

生物活性
产品描述
Anti-CBL Antibody (8B374) is a Mouse antibody targeting CBL. Anti-CBL Antibody (8B374) can be used in FCM,ICC,IHC,WB.
别名RNF55, Proto-oncogene c-Cbl, CBL2
克隆号
8B374
交叉反应
Human,Mouse,Rat
验证活性
1. Western blot analysis of CBL on human CBL recombinant protein using anti-CBL antibody at 1/1,000 dilution.
2. Western blot analysis of CBL on different cell lysates using anti-CBL antibody at 1/1,000 dilution.Positive control:Lane 1: RAJI, Lane 2: RAW264.7, Lane 3: K562, Lane 4: SKBR-3, Lane 5: 3T3-L1, Lane 6: THP-1, Lane 7: PC-12.
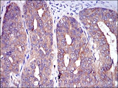
3. Immunohistochemical analysis of paraffin-embedded ovarian cancer tissue using anti-CBL antibody. Counter stained with hematoxylin.
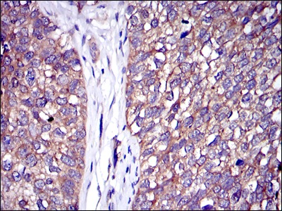
4. Immunohistochemical analysis of paraffin-embedded bladder cancer tissue using anti-CBL antibody. Counter stained with hematoxylin.
5. ICC staining CBL (green) and actin filaments (red) in Hela cells. The nuclear counter stain is DAPI (blue). Cells were fixed in paraformaldehyde, permeabilised with 0.25% Triton X100/PBS.
6. Flow cytometric analysis of MCF-7 cells with CBL antibody at 1/100 dilution (blue) compared with an unlabelled control (cells without incubation with primary antibody; red).
verifiedActivityverifiedActivityverifiedActivityverifiedActivityverifiedActivityverifiedActivity
应用FCMICCIHCWB
推荐剂量
WB: 1:500-1000; IHC: 1:50-200; ICC: 1:100-500; FCM: 1:100-200
抗体种类
Monoclonal
宿主来源Mouse
构建方式Hybridoma Monoclonal Antibody
纯化方式ProA affinity purified
性状Liquid
缓冲液1*TBS (pH7.4), 1%BSA, Preservative: 0.05% Sodium Azide.
偶联与修饰
偶联
Unconjugated
抗原信息
免疫原
Recombinant Protein
Uniprot ID
化学信息
分子量Theoretical: 120 kDa.
存储&运输
储存方式Store at -20°C or -80°C for 12 months. Avoid repeated freeze-thaw cycles.
运输方式Shipping with blue ice.

计算器

  • 稀释 计算器

关键词

评论列表

4个月前
5.0
Rating icon 很棒

评论内容

Related Tags: buy Anti-CBL Antibody (8B374) | purchase Anti-CBL Antibody (8B374) | Anti-CBL Antibody (8B374) cost | order Anti-CBL Antibody (8B374) | Anti-CBL Antibody (8B374) molecular weight