购物车
  • TargetMol
    您的购物车当前为空

Anti-CBFB Antibody (1I567)

Synonyms: PEBP2B, core-binding factor, β subunit, core-binding factor, beta subunit
货号 TMAC-00628Cas号 一键复制产品信息纯度:
Rating icon 还可以

Anti-CBFB Antibody (1I567) 是一种 Rabbit 抗体,靶向 CBFB。Anti-CBFB Antibody (1I567) 可用于 FCM,IHC,WB。

Anti-CBFB Antibody (1I567)

一键复制产品信息
Rating icon 还可以
货号 TMAC-00628

别名 PEBP2B, core-binding factor, β subunit, core-binding factor, beta subunit

Anti-CBFB Antibody (1I567) 是一种 Rabbit 抗体,靶向 CBFB。Anti-CBFB Antibody (1I567) 可用于 FCM,IHC,WB。

Anti-CBFB Antibody (1I567)
规格价格库存数量
50 μL
¥ 1,495
5日内发货
100 μL
¥ 2,490
5日内发货
库存状态实时更新,以官网显示为准,现货产品可直接加购物车下单
大包装 & 定制
加入购物车

TargetMol的所有产品仅用作科学研究或药证申报,不能被用于人体,我们不向个人提供产品和服务。请您遵守承诺用途,不得违反法律法规规定用于任何其他用途。

实验操作小课堂
常见问题解答
查看更多

资源下载:产品操作手册

产品介绍


生物活性
产品描述
Anti-CBFB Antibody (1I567) is a Rabbit antibody targeting CBFB. Anti-CBFB Antibody (1I567) can be used in FCM,IHC,WB.
别名
PEBP2B, core-binding factor, β subunit, core-binding factor, beta subunit
Ig Type
IgG
克隆号
1I567
反应种属
Human,Rat
验证活性
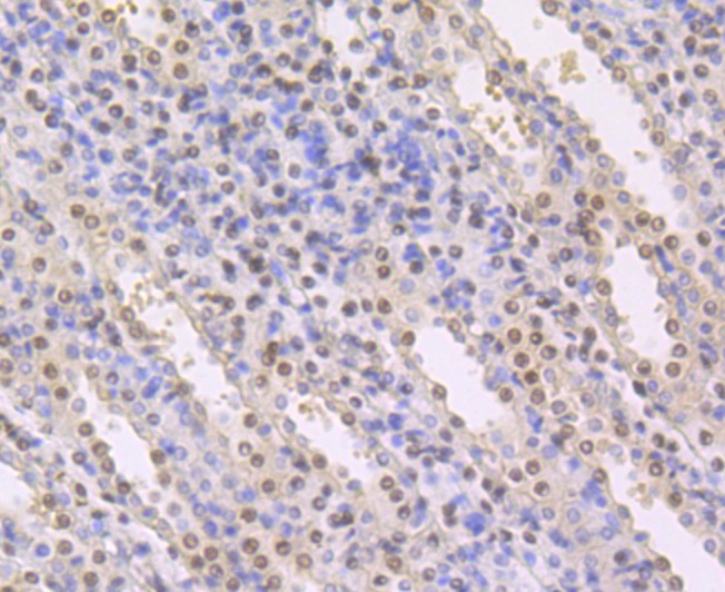
1. Immunohistochemical analysis of paraffin-embedded rat kidney tissue using anti-CBFb antibody. Counter stained with hematoxylin.
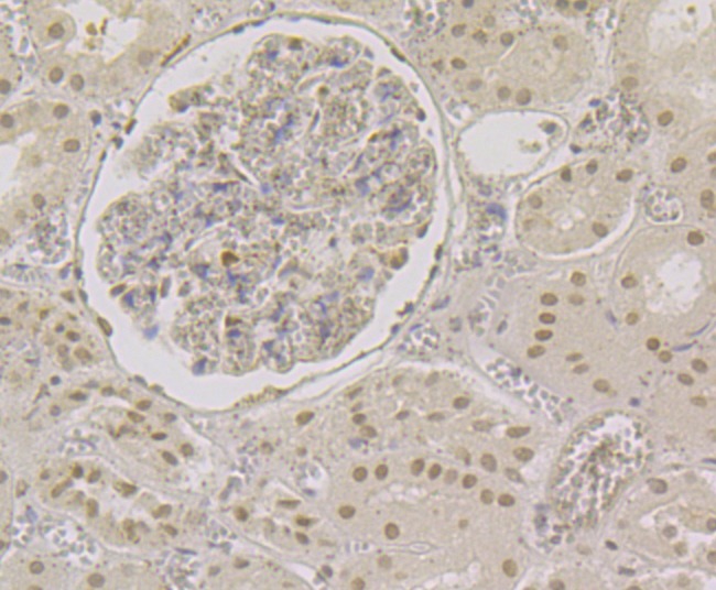
2. Immunohistochemical analysis of paraffin-embedded human kidney tissue using anti-CBFb antibody. Counter stained with hematoxylin.
3. Flow cytometric analysis of SiHa cells with CBFb antibody at 1/100 dilution (purple) compared with an unlabelled control (cells without incubation with primary antibody; yellow). Alexa Fluor 488-conjugated goat anti-rabbit IgG was used as the secondary antibody.
verifiedActivityverifiedActivityverifiedActivity
应用FCMIHCWB
推荐剂量
IHC: 1:50-200; FCM: 1:50-100
抗体种类
Monoclonal
宿主来源Rabbit
构建方式Recombinant Antibody
纯化方式ProA affinity purified
性状Liquid
缓冲液1*TBS (pH7.4), 1%BSA, 40%Glycerol. Preservative: 0.05% Sodium Azide.
研究背景The transcription factor Polyomavirus enhancer binding protein 2 (PEBP2), also designated Osf2 (Osteoblast-specific transcription factor), CBFA1 (Core Binding Factor) and AML3 (Acute myeloid leukemia), is composed of two subunits, a and b, which are essential for the regulation of hematopoiesis and osteogenesis. The PEBP2a subunits, PEBP2aA, PEBP2aB and PEBP2aC, are encoded by three RUNX genes, all of which contain a 128-amino acid region homologous to the highly conserved Drosophila segmentation gene, Runt. This region is involved in DNA binding and heterodimerization with the regulatory b subunit, which facilitates DNA binding of the a subunit. Both subunits are required for in vivo function; the disruption of either gene results in a lack of definitive hematopoiesis followed by embryo death in utero due to hemorrhage in the central nervous system. The gene encoding PEBP2b is the target of chromosomal inversion 16 (p13;q22) with the smooth muscle myosin heavy chain, producing a chimeric gene, PEBP2b/CBFB-SMMHC, that is associated with human acute myeloid leukemia.
偶联与修饰
偶联
Unconjugated
抗原信息
免疫原
Recombinant Protein: human CBFb aa 1-200
抗原种属
human
Uniprot ID
化学信息
分子量Theoretical: 22 kDa.
储存&溶解度
储存方式Store at -20°C or -80°C for 12 months. Avoid repeated freeze-thaw cycles.
运输方式Shipping with blue ice.

计算器

  • 稀释 计算器
  • 配液 计算器
Related Tags: buy Anti-CBFB Antibody (1I567) | purchase Anti-CBFB Antibody (1I567) | Anti-CBFB Antibody (1I567) cost | order Anti-CBFB Antibody (1I567) | Anti-CBFB Antibody (1I567) molecular weight