购物车
  • TargetMol
    您的购物车当前为空

Anti-Caspase-8 Antibody (8B784)

Synonyms: OTTHUMP00000206582, OTTHUMP00000206552, OTTHUMP00000165064, OTTHUMP00000165063, OTTHUMP00000165062, OTTHUMP00000163725, OTTHUMP00000163724, OTTHUMP00000163720, OTTHUMP00000163717, MORT1 associated CED 3 homolog, MGC78473, MCH5, MCH 5, MACH beta 1/2/3/4 protein, MACH alpha 1/2/3 protein, MACH, ICE like apoptotic protease 5, FLJ17672, FLICE, FADD-like ICE, FADD-homologous ICE/ced-3-like protease, FADD Like ICE, FADD Homologous ICE/CED3 Like Protease, FADD homologous ICE/CED 3 like protease, CED 3, Caspase-8 subunit p18, Caspase8, Caspase 8 apoptosis related cysteine peptidase, Caspase 8, CASP8, CASP 8, CAP4, CAP 4, Apoptotic protease Mch-5, Apoptotic protease Mch 5, Apoptotic cysteine protease, Apoptosis related cysteine peptidase, Amyotrophic lateral sclerosis 2 chromosomal region candidate gene 12 protein, ALPS2B
货号 TMAC-00590 一键复制产品信息
Rating icon 还可以

Anti-Caspase-8 Antibody (8B784) 是一种 Rabbit 抗体,靶向 Caspase-8。Anti-Caspase-8 Antibody (8B784) 可用于 ICC/IF,IHC,WB。

Anti-Caspase-8 Antibody (8B784)

一键复制产品信息
Rating icon 还可以
货号 TMAC-00590

别名 OTTHUMP00000206582, OTTHUMP00000206552, OTTHUMP00000165064, OTTHUMP00000165063, OTTHUMP00000165062, OTTHUMP00000163725, OTTHUMP00000163724, OTTHUMP00000163720, OTTHUMP00000163717, MORT1 associated CED 3 homolog, MGC78473, MCH5, MCH 5, MACH beta 1/2/3/4 protein, MACH alpha 1/2/3 protein, MACH, ICE like apoptotic protease 5, FLJ17672, FLICE, FADD-like ICE, FADD-homologous ICE/ced-3-like protease, FADD Like ICE, FADD Homologous ICE/CED3 Like Protease, FADD homologous ICE/CED 3 like protease, CED 3, Caspase-8 subunit p18, Caspase8, Caspase 8 apoptosis related cysteine peptidase, Caspase 8, CASP8, CASP 8, CAP4, CAP 4, Apoptotic protease Mch-5, Apoptotic protease Mch 5, Apoptotic cysteine protease, Apoptosis related cysteine peptidase, Amyotrophic lateral sclerosis 2 chromosomal region candidate gene 12 protein, ALPS2B

Anti-Caspase-8 Antibody (8B784) 是一种 Rabbit 抗体,靶向 Caspase-8。Anti-Caspase-8 Antibody (8B784) 可用于 ICC/IF,IHC,WB。

Anti-Caspase-8 Antibody (8B784)
规格价格库存数量
50 μL
¥ 1,480
5日内发货
100 μL
¥ 2,485
5日内发货
库存状态实时更新,以官网显示为准,现货产品可直接加购物车下单
大包装 & 定制
加入购物车
TargetMol的所有产品仅用作科学研究或药证申报,不能被用于人体,我们不向个人提供产品和服务。请您遵守承诺用途,不得违反法律法规规定用于任何其他用途。
实验操作小课堂
常见问题解答
查看更多

资源下载:产品操作手册

产品介绍


生物活性
产品描述
Anti-Caspase-8 Antibody (8B784) is a Rabbit antibody targeting Caspase-8. Anti-Caspase-8 Antibody (8B784) can be used in ICC/IF,IHC,WB.
别名OTTHUMP00000206582, OTTHUMP00000206552, OTTHUMP00000165064, OTTHUMP00000165063, OTTHUMP00000165062, OTTHUMP00000163725, OTTHUMP00000163724, OTTHUMP00000163720, OTTHUMP00000163717, MORT1 associated CED 3 homolog, MGC78473, MCH5, MCH 5, MACH beta 1/2/3/4 protein, MACH alpha 1/2/3 protein, MACH, ICE like apoptotic protease 5, FLJ17672, FLICE, FADD-like ICE, FADD-homologous ICE/ced-3-like protease, FADD Like ICE, FADD Homologous ICE/CED3 Like Protease, FADD homologous ICE/CED 3 like protease, CED 3, Caspase-8 subunit p18, Caspase8, Caspase 8 apoptosis related cysteine peptidase, Caspase 8, CASP8, CASP 8, CAP4, CAP 4, Apoptotic protease Mch-5, Apoptotic protease Mch 5, Apoptotic cysteine protease, Apoptosis related cysteine peptidase, Amyotrophic lateral sclerosis 2 chromosomal region candidate gene 12 protein, ALPS2B
Ig Type
IgG
克隆号
8B784
反应种属
Human
验证活性
1. Western blot analysis of Caspase-8 on different lysates using anti-Caspase-8 antibody at 1/1,000 dilution. Positive control: Lane 1: Jurkat, Lane 2: Hela.
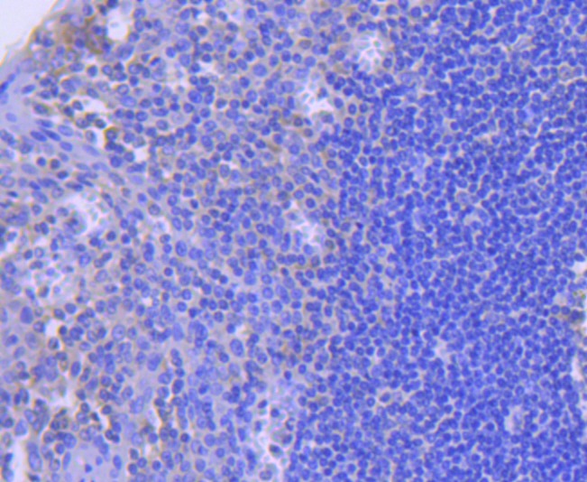
2. Immunohistochemical analysis of paraffin-embedded human tonsil tissue using anti-Caspase-8 antibody. Counter stained with hematoxylin.
3. ICC staining Caspase-8 in Hela cells (green). The nuclear counter stain is DAPI (blue). Cells were fixed in paraformaldehyde, permeabilised with 0.25% Triton X100/PBS.
4. ICC staining Caspase-8 in MCF-7 cells (green). The nuclear counter stain is DAPI (blue). Cells were fixed in paraformaldehyde, permeabilised with 0.25% Triton X100/PBS.
5. ICC staining Caspase-8 in HepG2 cells (green). The nuclear counter stain is DAPI (blue). Cells were fixed in paraformaldehyde, permeabilised with 0.25% Triton X100/PBS.
verifiedActivityverifiedActivityverifiedActivityverifiedActivityverifiedActivity
应用ICC/IFIHCWB
推荐剂量
WB: 1:1000-5000; IHC: 1:50-200; ICC/IF: 1:50-200
抗体种类
Monoclonal
宿主来源Rabbit
构建方式Recombinant Antibody
纯化方式ProA affinity purified
性状Liquid
缓冲液1*TBS (pH7.4), 1%BSA, 40%Glycerol. Preservative: 0.05% Sodium Azide.
研究背景Initiator caspases, which include caspase-8, activate effector caspases by cleaving inactive forms of effector caspases. In the activation cascade responsible for apoptosis induced by TNFRSF1A and mediated by TNFRSF6/FAS, caspase-8 is the most upstream protease. Caspase-8 binds to adaptor molecule FADD, forming an aggregate referred to as death-inducing signaling complex (DISC), which activates caspase-8. The actived protein is released from the complex and further activates downstream apoptotic proteases. Caspase-8, which is a heterodimer consisting of two subunits (p18 and p10), is widely expressed, but is detected at highest levels in peripheral blood leukocytes (PBLs), thymus, liver and spleen. Defects in CASP8, the gene encoding for caspase-8, may cause CASP8D (caspase-8 deficiency disorder), which is characterized by splenomegaly and CD95-induced apoptosis of PBLs, may lead to immunodeficiency due to defects in T lymphocyte, NK cell and B lymphocyte activation.
偶联与修饰
偶联
Unconjugated
抗原信息
免疫原
Recombinant Protein
Uniprot ID
化学信息
分子量Theoretical: 55 kDa.
储存&溶解度
储存方式Store at -20°C or -80°C for 12 months. Avoid repeated freeze-thaw cycles.
运输方式Shipping with blue ice.

计算器

  • 稀释 计算器
  • 配液 计算器
Related Tags: buy Anti-Caspase-8 Antibody (8B784) | purchase Anti-Caspase-8 Antibody (8B784) | Anti-Caspase-8 Antibody (8B784) cost | order Anti-Caspase-8 Antibody (8B784) | Anti-Caspase-8 Antibody (8B784) molecular weight