购物车
  • TargetMol
    您的购物车当前为空

Anti-Caspase-3 Antibody (3J336)

Synonyms: Yama, SCA-1, CPP32B, CPP32, apopain
货号 TMAC-00583 一键复制产品信息
Rating icon 还可以

Anti-Caspase-3 Antibody (3J336) 是一种 Rabbit 抗体,靶向 Caspase-3。Anti-Caspase-3 Antibody (3J336) 可用于 FCM,ICC/IF,IHC,IP,WB。

Anti-Caspase-3 Antibody (3J336)

一键复制产品信息
Rating icon 还可以
货号 TMAC-00583

别名 Yama, SCA-1, CPP32B, CPP32, apopain

Anti-Caspase-3 Antibody (3J336) 是一种 Rabbit 抗体,靶向 Caspase-3。Anti-Caspase-3 Antibody (3J336) 可用于 FCM,ICC/IF,IHC,IP,WB。

Anti-Caspase-3 Antibody (3J336)
规格价格库存数量
50 μL
¥ 1,495
5日内发货
100 μL
¥ 2,490
5日内发货
库存状态实时更新,以官网显示为准,现货产品可直接加购物车下单
大包装 & 定制
加入购物车
TargetMol的所有产品仅用作科学研究或药证申报,不能被用于人体,我们不向个人提供产品和服务。请您遵守承诺用途,不得违反法律法规规定用于任何其他用途。
实验操作小课堂
常见问题解答
查看更多

资源下载:产品操作手册

产品介绍


生物活性
产品描述
Anti-Caspase-3 Antibody (3J336) is a Rabbit antibody targeting Caspase-3. Anti-Caspase-3 Antibody (3J336) can be used in FCM,ICC/IF,IHC,IP,WB.
别名Yama, SCA-1, CPP32B, CPP32, apopain
Ig Type
IgG
克隆号
3J336
反应种属
Human,Mouse
验证活性
1. Western blot analysis of Caspase-3 on different cell lysates using anti-Caspase-3 antibody at 1/1,000 dilution. Positive control: Lane 1: Hela, Lane 2: Jurkat, Lane 3: 293.
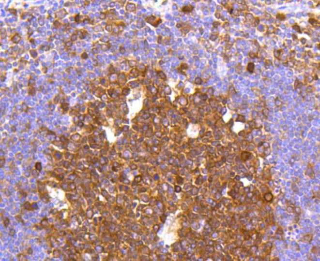
2. Immunohistochemical analysis of paraffin-embedded human tonsil tissue using anti-Caspase-3 antibody. Counter stained with hematoxylin.
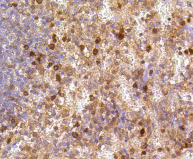
3. Immunohistochemical analysis of paraffin-embedded human spleen tissue using anti-Caspase-3 antibody. Counter stained with hematoxylin.
4. ICC staining Caspase-3 in Hela cells (green). The nuclear counter stain is DAPI (blue). Cells were fixed in paraformaldehyde, permeabilised with 0.25% Triton X100/PBS.
verifiedActivityverifiedActivityverifiedActivityverifiedActivity
应用FCMICC/IFIHCIPWB
推荐剂量
WB: 1:1000-5000; IHC: 1:50-200; ICC/IF: 1:50-100; FCM: 1:20-50
抗体种类
Monoclonal
宿主来源Rabbit
构建方式Recombinant Antibody
纯化方式ProA affinity purified
性状Liquid
缓冲液1*TBS (pH7.4), 1%BSA, 40%Glycerol. Preservative: 0.05% Sodium Azide.
研究背景Caspase-3, also known as apopain, SCA-1, Yama and CPP32, is an aspartate-specific cysteine protease that belongs to the ICE subfamily of caspases. Caspase-3 is expressed in cells as an inactive precursor from which the p17 and p11 subunits of the mature caspase-3 are proteolytically generated during apoptosis. The caspase-3 precursor is first cleaved at Asp175-Ser176 to produce the p11 subunit and the p20 peptide. Subsequently, the p20 peptide is cleaved at Asp28-Ser29 to generate the mature p17 subunit. The active caspase-3 enzyme is a heterodimer composed of two p17 and two p11 subunits. At the onset of apoptosis, caspase-3 proteolytically cleaves PARP at an Asp216-Gly217 bond. During the execution of the apoptotic cascade, activated caspase-3 releases SREBP from the membrane of the ER in a proteolytic reaction that is distinct from their normal sterol-dependent activation. Caspase-3 cleaves and activates SREBPs between the basic helix-loop-helix leucine zipper domain and the membrane attachment domain. Caspase-3 also cleaves and activates caspase-6, -7 and -9. The human caspase-3 gene encodes a cytoplasmic protein that is highly expressed in lung, spleen, heart, liver, kidney and cells of the immune system.
偶联与修饰
偶联
Unconjugated
抗原信息
免疫原
Recombinant Protein
Uniprot ID
化学信息
分子量Theoretical: 32 kDa.
储存&溶解度
储存方式Store at -20°C or -80°C for 12 months. Avoid repeated freeze-thaw cycles.
运输方式Shipping with blue ice.

计算器

  • 稀释 计算器
  • 配液 计算器
Related Tags: buy Anti-Caspase-3 Antibody (3J336) | purchase Anti-Caspase-3 Antibody (3J336) | Anti-Caspase-3 Antibody (3J336) cost | order Anti-Caspase-3 Antibody (3J336) | Anti-Caspase-3 Antibody (3J336) molecular weight