购物车
  • TargetMol
    您的购物车当前为空

Anti-CASP2 Antibody (8H206)

Synonyms: Protease ICH-1, Neural precursor cell expressed developmentally down-regulated protein 2, NEDD-2, ICH1 NEDD2, EC 3.4.22.55, Caspase-2, Caspase2, CASP-2
货号 TMAC-00580 一键复制产品信息
Rating icon 还可以

Anti-CASP2 Antibody (8H206) 是一种 Rabbit 抗体,靶向 CASP2。Anti-CASP2 Antibody (8H206) 可用于 FCM,ICC/IF,IHC,WB。

Anti-CASP2 Antibody (8H206)

一键复制产品信息
Rating icon 还可以
货号 TMAC-00580

别名 Protease ICH-1, Neural precursor cell expressed developmentally down-regulated protein 2, NEDD-2, ICH1 NEDD2, EC 3.4.22.55, Caspase-2, Caspase2, CASP-2

Anti-CASP2 Antibody (8H206) 是一种 Rabbit 抗体,靶向 CASP2。Anti-CASP2 Antibody (8H206) 可用于 FCM,ICC/IF,IHC,WB。

Anti-CASP2 Antibody (8H206)
规格价格库存数量
50 μL
¥ 1,485
5日内发货
100 μL
¥ 2,490
5日内发货
库存状态实时更新,以官网显示为准,现货产品可直接加购物车下单
大包装 & 定制
加入购物车
TargetMol的所有产品仅用作科学研究或药证申报,不能被用于人体,我们不向个人提供产品和服务。请您遵守承诺用途,不得违反法律法规规定用于任何其他用途。
实验操作小课堂
常见问题解答
查看更多

资源下载:产品操作手册

产品介绍


生物活性
产品描述
Anti-CASP2 Antibody (8H206) is a Rabbit antibody targeting CASP2. Anti-CASP2 Antibody (8H206) can be used in FCM,ICC/IF,IHC,WB.
别名Protease ICH-1, Neural precursor cell expressed developmentally down-regulated protein 2, NEDD-2, ICH1 NEDD2, EC 3.4.22.55, Caspase-2, Caspase2, CASP-2
Ig Type
IgG
克隆号
8H206
反应种属
Human,Mouse
验证活性
1. Western blot analysis of Caspase-2 on 293 cell lysate using anti-Caspase-2 antibody at 1/1,000 dilution.
2. Immunohistochemical analysis of paraffin-embedded human lung cancer tissue using anti-Caspase-2 antibody. Counter stained with hematoxylin.
3. Immunohistochemical analysis of paraffin-embedded human kidney tissue using anti-Caspase-2 antibody. Counter stained with hematoxylin.
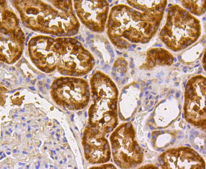
4. Immunohistochemical analysis of paraffin-embedded mouse kidney tissue using anti-Caspase-2 antibody. Counter stained with hematoxylin.
5. ICC staining Caspase-2 in Hela cells (green). The nuclear counter stain is DAPI (blue). Cells were fixed in paraformaldehyde, permeabilised with 0.25% Triton X100/PBS.
6. ICC staining Caspase-2 in A549 cells (green). The nuclear counter stain is DAPI (blue). Cells were fixed in paraformaldehyde, permeabilised with 0.25% Triton X100/PBS.
7. Flow cytometric analysis of Jurkat cells with Caspase-2 antibody at 1/50 dilution (blue) compared with an unlabelled control (cells without incubation with primary antibody; red). Alexa Fluor 488-conjugated goat anti rabbit IgG was used as the secondary antibody.
verifiedActivityverifiedActivityverifiedActivityverifiedActivityverifiedActivityverifiedActivityverifiedActivity
应用FCMICC/IFIHCWB
推荐剂量
WB: 1:1000-2000; IHC: 1:50-200; ICC/IF: 1:50-200; FCM: 1:50-100
抗体种类
Monoclonal
宿主来源Rabbit
构建方式Recombinant Antibody
纯化方式ProA affinity purified
性状Liquid
缓冲液1*TBS (pH7.4), 1%BSA, 40%Glycerol. Preservative: 0.05% Sodium Azide.
研究背景Caspase-2 (Nedd2, ICH-1) is an aspartate-specific cysteine protease that is activated in response to various apoptotic stimuli. Caspase-2 is unique among the caspases in that it has features of both upstream caspases (long prodomain) and downstream caspases (DEXD substrate specificity). Caspase-2 is highly expressed in the brain during development, and is expressed at low levels in adult tissue. Specifically, caspase-2 localizes to the mitochondria, the Golgi, the cytoplasm, and the nucleus. Caspase-2 exists as two isoforms, caspase-2L and caspase-2S, which are produced by alternative splicing and differ in their N and C-termini. Caspase-2L acts as a positive regulator of apoptosis, whereas caspase-2S functions as a negative regulator of apoptosis. Following apoptotic stimuli, the caspase-2L precursor undergoes cleavage at Asp-153 to produce a fragment (p30). The p30 fragment undergoes further cleavage to generate a fragment containing amino acids 153-308 (p18) and a fragment containing amino acids 317-435 (p13 or p14). As apoptosis progresses, the p13 (p14) fragment can undergo further processing to yield a fragment containing amino acids 331-435 (p12).
偶联与修饰
偶联
Unconjugated
抗原信息
免疫原
Recombinant Protein
Uniprot ID
化学信息
分子量Theoretical: 48/30/12 kDa.
储存&溶解度
储存方式Store at -20°C or -80°C for 12 months. Avoid repeated freeze-thaw cycles.
运输方式Shipping with blue ice.

计算器

  • 稀释 计算器
  • 配液 计算器
Related Tags: buy Anti-CASP2 Antibody (8H206) | purchase Anti-CASP2 Antibody (8H206) | Anti-CASP2 Antibody (8H206) cost | order Anti-CASP2 Antibody (8H206) | Anti-CASP2 Antibody (8H206) molecular weight