购物车
  • 全部删除
  • TargetMol
    您的购物车当前为空

Anti-CAPN2 Antibody (6Z187)

Rating icon 还可以
产品编号 TMAC-00530

Anti-CAPN2 Antibody (6Z187) 是一种 Rabbit 抗体,靶向 CAPN2。Anti-CAPN2 Antibody (6Z187) 可用于 FCM,ICC,IHC,WB。

Anti-CAPN2 Antibody (6Z187)

Anti-CAPN2 Antibody (6Z187)

一键复制产品信息
Rating icon 还可以
产品编号 TMAC-00530

Anti-CAPN2 Antibody (6Z187) 是一种 Rabbit 抗体,靶向 CAPN2。Anti-CAPN2 Antibody (6Z187) 可用于 FCM,ICC,IHC,WB。

规格价格库存数量
50 μL
¥ 1,480
5日内发货
100 μL
¥ 2,495
5日内发货
大包装 & 定制
加入购物车
TargetMol 的所有产品仅用作科学研究或药证申报,不能被用于人体,我们不向个人提供产品和服务。请您遵守承诺用途,不得违反法律法规规定用于任何其他用途。
实验操作小课堂
常见问题解答
查看更多
联系我们获取更多批次信息
资源下载

产品介绍

生物活性
产品描述
Anti-CAPN2 Antibody (6Z187) is a Rabbit antibody targeting CAPN2. Anti-CAPN2 Antibody (6Z187) can be used in FCM,ICC,IHC,WB.
Ig Type
IgG
克隆号
6Z187
交叉反应
Human,Mouse,Rat
验证活性
1. Western blot analysis of Calpain 2 on Hela cell (1) and rat skin tissue (2) lysate using anti-Calpain 2 antibody at 1/1,000 dilution.
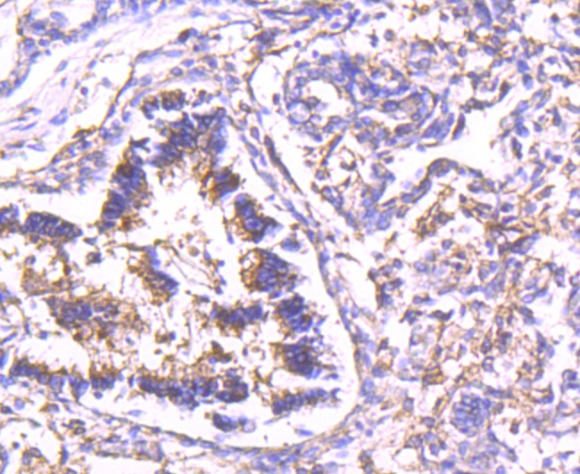
2. Immunohistochemical analysis of paraffin-embedded human lung tissue using anti-Calpain 2 antibody. Counter stained with hematoxylin.
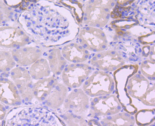
3. Immunohistochemical analysis of paraffin-embedded human kidney tissue using anti-Calpain 2 antibody. Counter stained with hematoxylin.
4. ICC staining Calpain 2 in HepG2 cells (green). The nuclear counter stain is DAPI (blue). Cells were fixed in paraformaldehyde, permeabilised with 0.25% Triton X100/PBS.
5. Flow cytometric analysis of Hela cells with Calpain 2 antibody at 1/100 dilution (red) compared with an unlabelled control (cells without incubation with primary antibody; black).
verifiedActivityverifiedActivityverifiedActivityverifiedActivityverifiedActivity
应用FCMICCIHCWB
推荐剂量
WB: 1:500-2000; IHC: 1:50-200
抗体种类
Monoclonal
宿主来源Rabbit
构建方式Recombinant Antibody
纯化方式ProA affinity purified
性状Liquid
缓冲液1*TBS (pH7.4), 1%BSA, 40%Glycerol. Preservative: 0.05% Sodium Azide.
研究背景Calpain, an intracellular calcium-dependent protease that cleaves cytoskeletal and submembranous proteins, is thought to play a role in cytoskeletal reorganization and muscle protein degradation. Calpain exists as a heterodimer composed of a small regulatory subunit and one of three large catalytic subunits, designated Calpain 1, Calpain 2 and Calpain p94. Calpastatin regulates calpain by inhibiting both the proteolytic activity of calpain and its binding to membranes. Calpastatin exists in two types, tissue type and erythrocyte type, resulting from both alternative splicing and proteolytic processing.
偶联与修饰
偶联
Unconjugated
抗原信息
免疫原
Recombinant Protein
Uniprot ID
化学信息
分子量Theoretical: 80 kDa.
存储&运输
储存方式Store at -20°C or -80°C for 12 months. Avoid repeated freeze-thaw cycles.
运输方式Shipping with blue ice.

计算器

  • 稀释 计算器

关键词

评论列表

4个月前
5.0
Rating icon 很棒

评论内容

Related Tags: buy Anti-CAPN2 Antibody (6Z187) | purchase Anti-CAPN2 Antibody (6Z187) | Anti-CAPN2 Antibody (6Z187) cost | order Anti-CAPN2 Antibody (6Z187) | Anti-CAPN2 Antibody (6Z187) molecular weight