购物车
  • TargetMol
    您的购物车当前为空

Anti-CAMKK2 Polyclonal Antibody

Synonyms: CAMKKB, CaMKK beta, CAMKK 2, CAMKK, CaM KK beta, CaM kinase kinase beta, Calcium/calmodulin dependent protein kinase β, Calcium/calmodulin dependent protein kinase kinase 2, Calcium/calmodulin dependent protein kinase beta
货号 TMAB-00276 一键复制产品信息
Rating icon 还可以

Anti-CAMKK2 Polyclonal Antibody 是一种 Rabbit 抗体,靶向 CAMKK2。Anti-CAMKK2 Polyclonal Antibody 可用于 FCM,IF,IHC-Fr,IHC-P,WB。

Anti-CAMKK2 Polyclonal Antibody

一键复制产品信息
Rating icon 还可以
货号 TMAB-00276

别名 CAMKKB, CaMKK beta, CAMKK 2, CAMKK, CaM KK beta, CaM kinase kinase beta, Calcium/calmodulin dependent protein kinase β, Calcium/calmodulin dependent protein kinase kinase 2, Calcium/calmodulin dependent protein kinase beta

Anti-CAMKK2 Polyclonal Antibody 是一种 Rabbit 抗体,靶向 CAMKK2。Anti-CAMKK2 Polyclonal Antibody 可用于 FCM,IF,IHC-Fr,IHC-P,WB。

Anti-CAMKK2 Polyclonal Antibody
规格价格库存数量
50 μL
¥ 1,165
5日内发货
100 μL
¥ 1,960
5日内发货
200 μL
¥ 2,780
5日内发货
库存状态实时更新,以官网显示为准,现货产品可直接加购物车下单
大包装 & 定制
加入购物车
TargetMol的所有产品仅用作科学研究或药证申报,不能被用于人体,我们不向个人提供产品和服务。请您遵守承诺用途,不得违反法律法规规定用于任何其他用途。
实验操作小课堂
常见问题解答
查看更多

资源下载:产品操作手册

产品介绍


生物活性
产品描述
Anti-CAMKK2 Polyclonal Antibody is a Rabbit antibody targeting CAMKK2. Anti-CAMKK2 Polyclonal Antibody can be used in FCM,IF,IHC-Fr,IHC-P,WB.
别名CAMKKB, CaMKK beta, CAMKK 2, CAMKK, CaM KK beta, CaM kinase kinase beta, Calcium/calmodulin dependent protein kinase β, Calcium/calmodulin dependent protein kinase kinase 2, Calcium/calmodulin dependent protein kinase beta
Ig Type
IgG
反应种属
Human,Rat (predicted:Mouse,Pig,Cow,Horse,Sheep)
验证活性
1. Blank control (Black line): Molt4 (Black).
Primary Antibody (green line): Rabbit Anti-CAMKK2 antibody (TMAB-00276)
Dilution: 1 μg/10^6 cells;
Isotype Control Antibody (orange line): Rabbit IgG.
Secondary Antibody (white blue line): Goat anti-rabbit IgG-AF647
Dilution: 1 μg/test.
Protocol
The cells were fixed with 4% PFA (10 min at room temperature) and then permeabilized with PBST for 20 min at room temperature. The cells were then incubated in 5% BSA to block non-specific protein-protein interactions for 30 min at room temperature. Cells stained with Primary Antibody for 30 min at room temperature. The secondary antibody used for 40 min at room temperature.
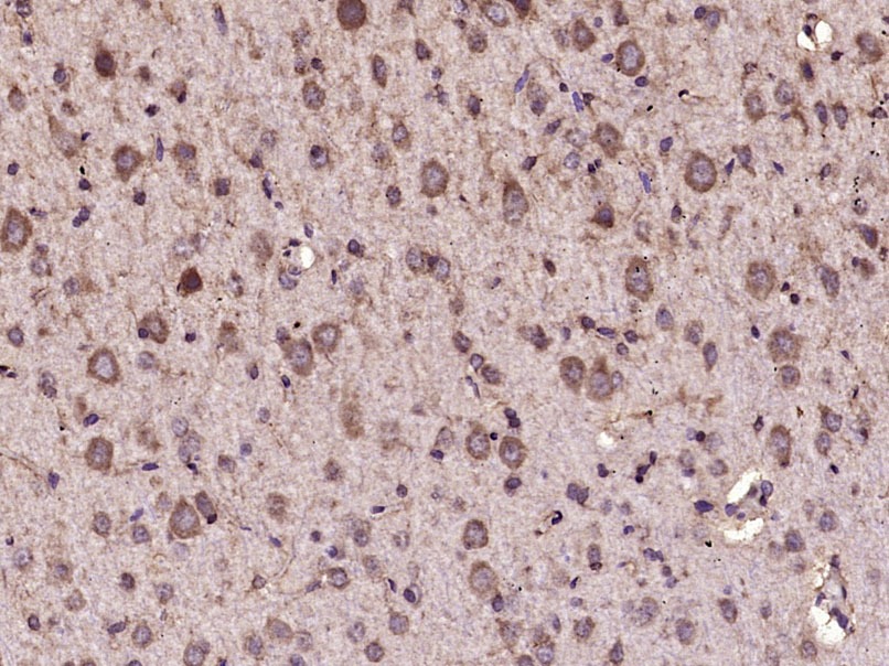
2. Paraformaldehyde-fixed, paraffin embedded (Rat brain); Antigen retrieval by microwave in sodium citrate buffer (pH6.0); Block endogenous peroxidase by 3% hydrogen peroxide for 30 minutes; Blocking buffer (3% BSA) at RT for 30 min; Antibody incubation with (CAMKK2) Polyclonal Antibody, Unconjugated (TMAB-00276) at 1:400 overnight at 4°C, followed by conjugation to the secondary antibody (labeled with HRP) and DAB staining.
3. Molt-4 cells were fixed with 4% PFA for 10 min at room temperature,permeabilized with 0.1% PBST for 20 min at room temperature, and incubated in 5% BSA blocking buffer for 30 min at room temperature. Cells were then stained with CAMKK2 Antibody (TMAB-00276) at 1:100 dilution in blocking buffer and incubated for 30 min at room temperature, washed twice with 2% BSA in PBS, followed by secondary antibody incubation for 40 min at room temperature. Acquisitions of 20,000 events were performed. Cells stained with primary antibody (green), and isotype control (orange).
4. Sample:
Lane 1: Human Jurkat cell lysates
Lane 2: Human MOLT4 cell lysates
Lane 3: Human HepG2 cell lysates
Primary: Anti-CAMKK2 (TMAB-00276) at 1/1000 dilution
Secondary: IRDye800CW Goat Anti-Rabbit IgG at 1/20000 dilution
Predicted band size: 55 kDa
Observed band size: 70 kDa
verifiedActivityverifiedActivityverifiedActivityverifiedActivity
应用FCMIFIHC-FrIHC-PWB
推荐剂量
WB: 1:500-2000; IHC-P: 1:100-500; IHC-Fr: 1:100-500; IF: 1:100-500; FCM: 1ug/Test
抗体种类
Polyclonal
宿主来源Rabbit
亚细胞定位Nucleus. Cytoplasm. Cell projection. Note=Predominantly nuclear in unstimulated cells. Found in the cytoplasm and neurites after forskolin induction.
组织特异性Ubiquitously expressed with higher levels in the brain. Intermediate levels are detected in spleen, prostate, thyroid and leukocytes. The lowest level is in lung.
构建方式Polyclonal Antibody
纯化方式Protein A purified
性状Liquid
缓冲液0.01M TBS (pH7.4) with 1% BSA, 0.02% Proclin300 and 50% Glycerol.
浓度1 mg/mL
研究背景The product of this gene belongs to the Serine/Threonine protein kinase family, and to the Ca(2+)/calmodulin-dependent protein kinase subfamily. This protein plays a role in the calcium/calmodulin-dependent (CaM) kinase cascade by phosphorylating the downstream kinases CaMK1 and CaMK4. Seven transcript variants encoding six distinct isoforms have been identified for this gene. Additional splice variants have been described but their full-length nature has not been determined. The identified isoforms exhibit a distinct ability to undergo autophosphorylation and to phosphorylate the downstream kinases. [provided by RefSeq, Jul 2008].
抗原信息
免疫原
KLH conjugated synthetic peptide: human CAMKK2
抗原种属
Human
基因名称
CAMKK2
基因ID
蛋白名称
Calcium/calmodulin-dependent protein kinase kinase 2
Uniprot ID
研究领域
MAPK pathway,MAPK Pathway,Calmodulin Pathway
功能
Calcium/calmodulin-dependent protein kinase belonging to a proposed calcium-triggered signaling cascade involved in a number of cellular processes. Isoform 1, isoform 2 and isoform 3 phosphorylate CAMK1 and CAMK4. Isoform 3 phosphorylates CAMK1D. Isoform 4, isoform 5 and isoform 6 lacking part of the calmodulin-binding domain are inactive. Efficiently phosphorylates 5'-AMP-activated protein kinase (AMPK) trimer, including that consisting of PRKAA1, PRKAB1 and PRKAG1. This phosphorylation is stimulated in response to Ca(2+) signals. Seems to be involved in hippocampal activation of CREB1. May play a role in neurite growth. Isoform 3 may promote neurite elongation, while isoform 1 may promoter neurite branching.
化学信息
分子量Theoretical: 55 kDa. Actual: 70 kDa.
储存&溶解度
储存方式Store at -20°C or -80°C for 12 months. Avoid repeated freeze-thaw cycles.
运输方式Shipping with blue ice.

计算器

  • 稀释 计算器
  • 配液 计算器
Related Tags: buy Anti-CAMKK2 Polyclonal Antibody | purchase Anti-CAMKK2 Polyclonal Antibody | Anti-CAMKK2 Polyclonal Antibody cost | order Anti-CAMKK2 Polyclonal Antibody | Anti-CAMKK2 Polyclonal Antibody molecular weight