购物车
  • 全部删除
  • TargetMol
    您的购物车当前为空

Anti-CAMKIV Antibody (5K734)

Rating icon 还可以
产品编号 TMAC-00550
别名 D18Bwg0362e, CaMKIV/Gr, CaMKIV, calcium/calmodulin-dependent protein kinase IV, AI666733, A430110E23Rik

Anti-CAMKIV Antibody (5K734) 是一种 Rabbit 抗体,靶向 CAMKIV。Anti-CAMKIV Antibody (5K734) 可用于 FCM,ICC,IF,IHC,WB。

Anti-CAMKIV Antibody (5K734)

Anti-CAMKIV Antibody (5K734)

一键复制产品信息
Rating icon 还可以
产品编号 TMAC-00550 别名 D18Bwg0362e, CaMKIV/Gr, CaMKIV, calcium/calmodulin-dependent protein kinase IV, AI666733, A430110E23Rik

Anti-CAMKIV Antibody (5K734) 是一种 Rabbit 抗体,靶向 CAMKIV。Anti-CAMKIV Antibody (5K734) 可用于 FCM,ICC,IF,IHC,WB。

规格价格库存数量
50 μL
¥ 1,485
5日内发货
100 μL
¥ 2,480
5日内发货
大包装 & 定制
加入购物车
TargetMol 的所有产品仅用作科学研究或药证申报,不能被用于人体,我们不向个人提供产品和服务。请您遵守承诺用途,不得违反法律法规规定用于任何其他用途。
实验操作小课堂
常见问题解答
查看更多
联系我们获取更多批次信息
资源下载

产品介绍

生物活性
产品描述
Anti-CAMKIV Antibody (5K734) is a Rabbit antibody targeting CAMKIV. Anti-CAMKIV Antibody (5K734) can be used in FCM,ICC,IF,IHC,WB.
别名D18Bwg0362e, CaMKIV/Gr, CaMKIV, calcium/calmodulin-dependent protein kinase IV, AI666733, A430110E23Rik
Ig Type
IgG
克隆号
5K734
交叉反应
Human,Mouse,Rat
验证活性
1. Western blot analysis of CAMKIV on mouse brain and rat brain lysates using anti-CAMKIV antibody at 1/1,000 dilution.
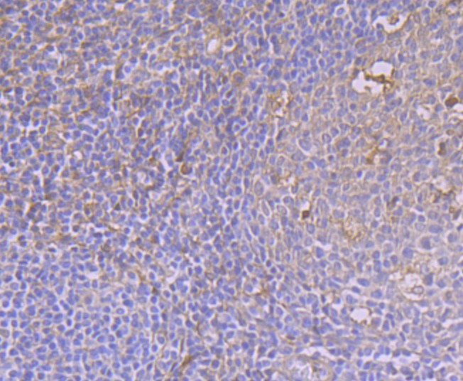
2. Immunohistochemical analysis of paraffin-embedded human tonsil tissue using anti-CAMKIV antibody. Counter stained with hematoxylin.
3. Immunohistochemical analysis of paraffin-embedded rat brain tissue using anti-CAMKIV antibody. Counter stained with hematoxylin.
4. Immunohistochemical analysis of paraffin-embedded mouse brain tissue using anti-CAMKIV antibody. Counter stained with hematoxylin.
5. ICC staining CAMKIV in Hela cells (green). The nuclear counter stain is DAPI (blue). Cells were fixed in paraformaldehyde, permeabilised with 0.25% Triton X100/PBS.
6. ICC staining CAMKIV in SH-SY-5Y cells (green). The nuclear counter stain is DAPI (blue). Cells were fixed in paraformaldehyde, permeabilised with 0.25% Triton X100/PBS.
7. ICC staining CAMKIV in 293T cells (green). The nuclear counter stain is DAPI (blue). Cells were fixed in paraformaldehyde, permeabilised with 0.25% Triton X100/PBS.
8. Flow cytometric analysis of SH-SY-5Y cells with CAMKIV antibody at 1/100 dilution (yellow) compared with an unlabelled control (cells without incubation with primary antibody; purple).Alexa Fluor 488-conjugated goat anti-rabbit IgG was used as the secondary antibody.
verifiedActivityverifiedActivityverifiedActivityverifiedActivityverifiedActivityverifiedActivityverifiedActivityverifiedActivity
应用FCMICCIFIHCWB
推荐剂量
WB: 1:500-2000; IHC: 1:50-200; ICC: 1:50-200; FCM: 1:50-100
抗体种类
Monoclonal
宿主来源Rabbit
构建方式Recombinant Antibody
纯化方式ProA affinity purified
性状Liquid
缓冲液1*TBS (pH7.4), 1%BSA, 40%Glycerol. Preservative: 0.05% Sodium Azide.
研究背景The Ca2+/calmodulin-dependent protein kinases (CaM kinases) comprise a structurally related subfamily of serine/threonine kinases which include CaMKI, CaMKII and CaMKIV. CaMKII is a ubiquitously expressed serine/threonine protein kinase that is activated by Ca2+and calmodulin (CaM) and has been implicated in regulation of the cell cycle and transcription. There are four CaMKII isozymes designated α, β, γ and δ, which may or may not be co-expressed in the same tissue type. CaMKIV is stimulated by Ca2+ and CaM but also requires phosphorylation by a CaMK for full activation. Stimulation of the T cell receptor CD3 signaling complex with an CD3 monoclonal antibody leads to a 10-40 fold increase in CaMKIV activity. An additional kinase, CaMKK, functions to activate CaMKI through the specific phosphorylation of the regulatory Threonine residue at position 177.
偶联与修饰
偶联
Unconjugated
抗原信息
免疫原
Recombinant Protein: C-terminus human CAMKIV
抗原种属
human
Uniprot ID
化学信息
分子量Theoretical: 52 kDa.
存储&运输
储存方式Store at -20°C or -80°C for 12 months. Avoid repeated freeze-thaw cycles.
运输方式Shipping with blue ice.

计算器

  • 稀释 计算器

关键词

评论列表

4个月前
5.0
Rating icon 很棒

评论内容

Related Tags: buy Anti-CAMKIV Antibody (5K734) | purchase Anti-CAMKIV Antibody (5K734) | Anti-CAMKIV Antibody (5K734) cost | order Anti-CAMKIV Antibody (5K734) | Anti-CAMKIV Antibody (5K734) molecular weight