购物车
  • TargetMol
    您的购物车当前为空

Anti-Calreticulin Antibody (8J512)

Synonyms: SSA, RO, HEL-S-99n, CRT, cC1qR, calreticulin
货号 TMAC-00532Cas号 一键复制产品信息纯度:
Rating icon 还可以

Anti-Calreticulin Antibody (8J512) 是一种 Rabbit 抗体,靶向 Calreticulin。Anti-Calreticulin Antibody (8J512) 可用于 FCM,ICC/IF,IHC,IP,WB。

Anti-Calreticulin Antibody (8J512)

一键复制产品信息
Rating icon 还可以
货号 TMAC-00532

别名 SSA, RO, HEL-S-99n, CRT, cC1qR, calreticulin

Anti-Calreticulin Antibody (8J512) 是一种 Rabbit 抗体,靶向 Calreticulin。Anti-Calreticulin Antibody (8J512) 可用于 FCM,ICC/IF,IHC,IP,WB。

Anti-Calreticulin Antibody (8J512)
规格价格库存数量
50 μL
¥ 1,495
5日内发货
100 μL
¥ 2,485
5日内发货
库存状态实时更新,以官网显示为准,现货产品可直接加购物车下单
大包装 & 定制
加入购物车

TargetMol的所有产品仅用作科学研究或药证申报,不能被用于人体,我们不向个人提供产品和服务。请您遵守承诺用途,不得违反法律法规规定用于任何其他用途。

实验操作小课堂
常见问题解答
查看更多

资源下载:产品操作手册

产品介绍


生物活性
产品描述
Anti-Calreticulin Antibody (8J512) is a Rabbit antibody targeting Calreticulin. Anti-Calreticulin Antibody (8J512) can be used in FCM,ICC/IF,IHC,IP,WB.
别名
SSA, RO, HEL-S-99n, CRT, cC1qR, calreticulin
Ig Type
IgG
克隆号
8J512
反应种属
Human,Mouse,Rat
验证活性
1. Western blot analysis of Calreticulin on different lysates using anti-Calreticulin antibody at 1/1,000 dilution. Positive control: Lane 1: SH-SY-5Y, Lane 2: HL-60.
2. Immunohistochemical analysis of paraffin-embedded human liver tissue using anti-Calreticulin antibody. Counter stained with hematoxylin.
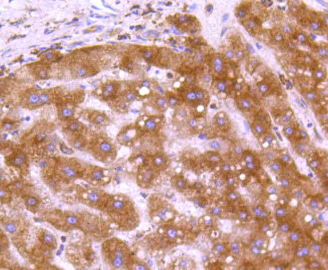
3. Immunohistochemical analysis of paraffin-embedded human liver cancer tissue using anti-Calreticulin antibody. Counter stained with hematoxylin.
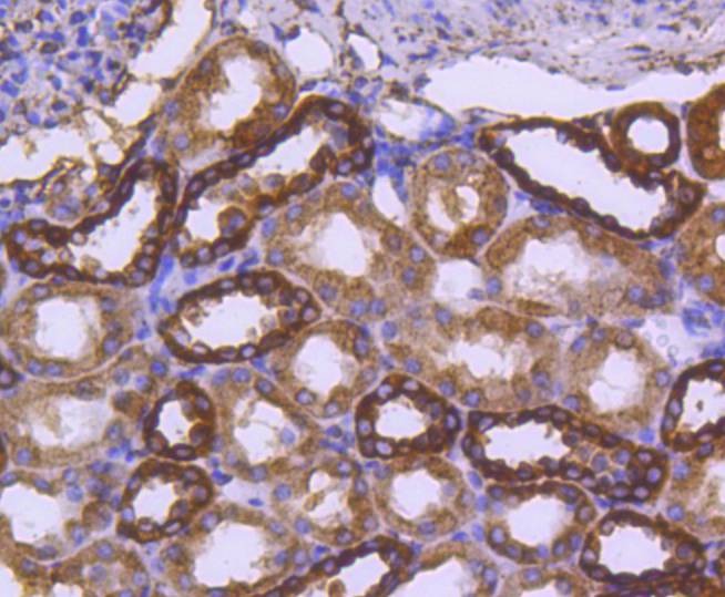
4. Immunohistochemical analysis of paraffin-embedded human kidney tissue using anti-Calreticulin antibody. Counter stained with hematoxylin.
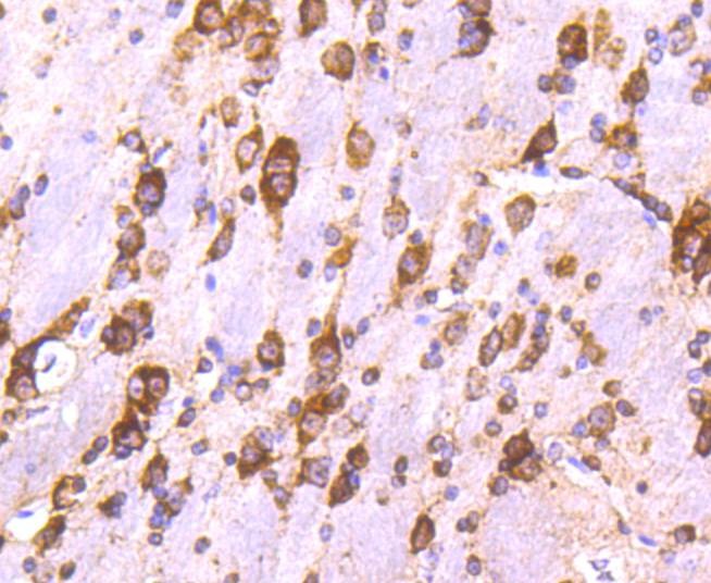
5. Immunohistochemical analysis of paraffin-embedded mouse brain tissue using anti-Calreticulin antibody. Counter stained with hematoxylin.
6. ICC staining Calreticulin in Hela cells (green). The nuclear counter stain is DAPI (blue). Cells were fixed in paraformaldehyde, permeabilised with 0.25% Triton X100/PBS.
7. ICC staining Calreticulin in MCF-7 cells (green). The nuclear counter stain is DAPI (blue). Cells were fixed in paraformaldehyde, permeabilised with 0.25% Triton X100/PBS.
8. ICC staining Calreticulin in NIH/3T3 cells (green). The nuclear counter stain is DAPI (blue). Cells were fixed in paraformaldehyde, permeabilised with 0.25% Triton X100/PBS.
9. ICC staining Calreticulin in L6 cells (green). The nuclear counter stain is DAPI (blue). Cells were fixed in paraformaldehyde, permeabilised with 0.25% Triton X100/PBS.
10. Flow cytometric analysis of Hela cells with Calreticulin antibody at 1/50 dilution (red) compared with an unlabelled control (cells without incubation with primary antibody; black). Alexa Fluor 488-conjugated goat anti rabbit IgG was used as the secondary antibody.
verifiedActivityverifiedActivityverifiedActivityverifiedActivityverifiedActivityverifiedActivityverifiedActivityverifiedActivityverifiedActivityverifiedActivity
应用FCMICC/IFIHCIPWB
推荐剂量
WB: 1:1000-5000; IHC: 1:50-200; ICC/IF: 1:100-500; FCM: 1:50-100
抗体种类
Monoclonal
宿主来源Rabbit
构建方式Recombinant Antibody
纯化方式ProA affinity purified
性状Liquid
缓冲液1*TBS (pH7.4), 1%BSA, 40%Glycerol. Preservative: 0.05% Sodium Azide.
研究背景Calnexin and calregulin (also called calreticulin) are calcium-binding proteins that are localized to the endoplasmic reticulum, Calnexin to the membrane and calregulin to the lumen. Calnexin is a type I membrane protein that interacts with newly synthesized glycoproteins in the endoplasmic reticulum. It may play a role in assisting with protein assembly and in retaining unassembled protein subunits in the endoplasmic reticulum. Calregulin has both low- and high-affinity calcium-binding sites. Neither Calnexin nor calregulin contains the calcium-binding "E-F hand" motif found in calmodulins. Calnexin and calregulin are important for the maturation of glycoproteins in the endoplasmic reticulum and appear to bind many of the same proteins.
偶联与修饰
偶联
Unconjugated
抗原信息
免疫原
Recombinant Protein
Uniprot ID
化学信息
分子量Theoretical: 60 kDa.
储存&溶解度
储存方式Store at -20°C or -80°C for 12 months. Avoid repeated freeze-thaw cycles.
运输方式Shipping with blue ice.

计算器

  • 稀释 计算器
  • 配液 计算器
Related Tags: buy Anti-Calreticulin Antibody (8J512) | purchase Anti-Calreticulin Antibody (8J512) | Anti-Calreticulin Antibody (8J512) cost | order Anti-Calreticulin Antibody (8J512) | Anti-Calreticulin Antibody (8J512) molecular weight