购物车
  • TargetMol
    您的购物车当前为空

Anti-C12orf51 Antibody (8V885)

Synonyms: Probable E3 ubiquitin-protein ligase HECTD4, KIAA0614, HECTD4, HECT domain-containing protein 4, C12orf51
货号 TMAC-00500 一键复制产品信息
Rating icon 还可以

Anti-C12orf51 Antibody (8V885) 是一种 Mouse 抗体,靶向 C12orf51。Anti-C12orf51 Antibody (8V885) 可用于 FCM,ICC,IHC,WB。

Anti-C12orf51 Antibody (8V885)

一键复制产品信息
Rating icon 还可以
货号 TMAC-00500

别名 Probable E3 ubiquitin-protein ligase HECTD4, KIAA0614, HECTD4, HECT domain-containing protein 4, C12orf51

Anti-C12orf51 Antibody (8V885) 是一种 Mouse 抗体,靶向 C12orf51。Anti-C12orf51 Antibody (8V885) 可用于 FCM,ICC,IHC,WB。

Anti-C12orf51 Antibody (8V885)
规格价格库存数量
50 μL
¥ 1,995
5日内发货
100 μL
¥ 2,995
5日内发货
库存状态实时更新,以官网显示为准,现货产品可直接加购物车下单
大包装 & 定制
加入购物车

TargetMol的所有产品仅用作科学研究或药证申报,不能被用于人体,我们不向个人提供产品和服务。请您遵守承诺用途,不得违反法律法规规定用于任何其他用途。

实验操作小课堂
常见问题解答
查看更多

资源下载:产品操作手册

产品介绍


生物活性
产品描述
Anti-C12orf51 Antibody (8V885) is a Mouse antibody targeting C12orf51. Anti-C12orf51 Antibody (8V885) can be used in FCM,ICC,IHC,WB.
别名
Probable E3 ubiquitin-protein ligase HECTD4, KIAA0614, HECTD4, HECT domain-containing protein 4, C12orf51
克隆号
8V885
反应种属
Human,Mouse
验证活性
1. Western blot analysis of C12orf51 on SH-SY5Y (1) and A549 (2) using anti-C12orf51 antibody at 1/100 dilution.
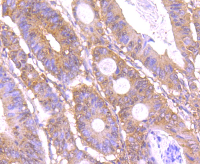
2. Immunohistochemical analysis of paraffin-embedded human colon cancer tissue using anti-C12orf51 antibody. Counter stained with hematoxylin.
3. Immunohistochemical analysis of paraffin-embedded human kidney tissue using anti-C12orf51 antibody. Counter stained with hematoxylin.
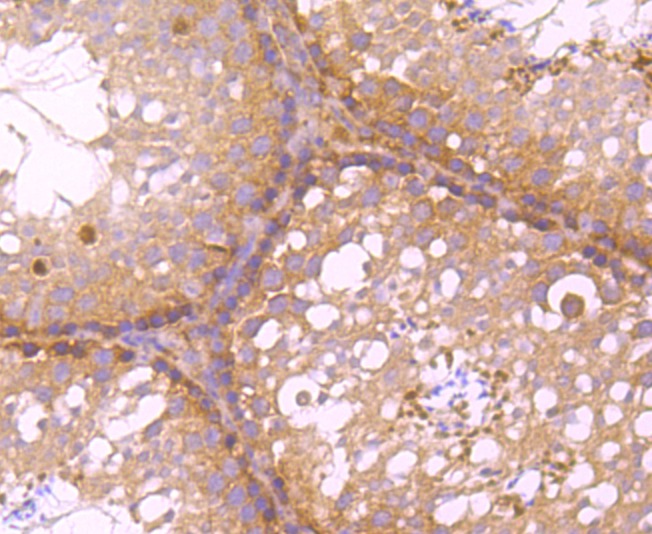
4. Immunohistochemical analysis of paraffin-embedded mouse testis tissue using anti-C12orf51 antibody. Counter stained with hematoxylin.
5. ICC staining C12orf51 (green) in HepG2 cells. The nuclear counter stain is DAPI (blue). Cells were fixed in paraformaldehyde, permeabilised with 0.25% Triton X100/PBS.
6. ICC staining C12orf51 (green) in PC-3M cells. The nuclear counter stain is DAPI (blue). Cells were fixed in paraformaldehyde, permeabilised with 0.25% Triton X100/PBS.
7. Flow cytometric analysis of SH-SY5Y cells with C12orf51 antibody at 1/100 dilution (red) compared with an unlabelled control (cells without incubation with primary antibody; black).
verifiedActivityverifiedActivityverifiedActivityverifiedActivityverifiedActivityverifiedActivityverifiedActivity
应用FCMICCIHCWB
推荐剂量
WB: 1:500; IHC: 1:50-100; ICC: 1:50; FCM: 1:50-100
抗体种类
Monoclonal
宿主来源Mouse
构建方式Hybridoma Monoclonal Antibody
纯化方式ProA affinity purified
性状Liquid
缓冲液1*TBS (pH7.4), 0.5%BSA, 50%Glycerol. Preservative: 0.05% Sodium Azide.
研究背景E3 ubiquitin-protein ligase which accepts ubiquitin from an E2 ubiquitin-conjugating enzyme in the form of a thioester and then directly transfers the ubiquitin to targeted substrates.
偶联与修饰
偶联
Unconjugated
抗原信息
免疫原
Recombinant Protein
Uniprot ID
化学信息
分子量Theoretical: 438/145/98/262 kDa.
储存&溶解度
储存方式Store at -20°C or -80°C for 12 months. Avoid repeated freeze-thaw cycles.
运输方式Shipping with blue ice.

计算器

  • 稀释 计算器
  • 配液 计算器
Related Tags: buy Anti-C12orf51 Antibody (8V885) | purchase Anti-C12orf51 Antibody (8V885) | Anti-C12orf51 Antibody (8V885) cost | order Anti-C12orf51 Antibody (8V885) | Anti-C12orf51 Antibody (8V885) molecular weight