购物车
  • TargetMol
    您的购物车当前为空

Anti-BRD2 Antibody (7Q375)

Synonyms: RNF3, RING3 PROTEIN, RING3, Really interesting new gene 3 protein, O27.1.1, NAT, KIAA9001, FSRG1, FSH, FLJ31942, Female sterile homeotic related gene 1, mouse, homolog of, Female sterile homeotic related gene 1, DKFZp686N0336, D6S113E, Bromodomain-containing protein 2, Bromodomain containing 2, BRD2_HUMAN, Brd2, BRD 2
货号 TMAC-00473 一键复制产品信息
Rating icon 还可以
202603开学季活动

Anti-BRD2 Antibody (7Q375) 是一种 Rabbit 抗体,靶向 BRD2。Anti-BRD2 Antibody (7Q375) 可用于 FCM,ICC,IHC,WB。

Anti-BRD2 Antibody (7Q375)

一键复制产品信息
Rating icon 还可以
202603开学季活动
货号 TMAC-00473

别名 RNF3, RING3 PROTEIN, RING3, Really interesting new gene 3 protein, O27.1.1, NAT, KIAA9001, FSRG1, FSH, FLJ31942, Female sterile homeotic related gene 1, mouse, homolog of, Female sterile homeotic related gene 1, DKFZp686N0336, D6S113E, Bromodomain-containing protein 2, Bromodomain containing 2, BRD2_HUMAN, Brd2, BRD 2

Anti-BRD2 Antibody (7Q375) 是一种 Rabbit 抗体,靶向 BRD2。Anti-BRD2 Antibody (7Q375) 可用于 FCM,ICC,IHC,WB。

Anti-BRD2 Antibody (7Q375)
规格价格库存数量
50 μL
¥ 1,490
5日内发货
100 μL
¥ 2,485
5日内发货
库存状态实时更新,以官网显示为准,现货产品可直接加购物车下单
大包装 & 定制
加入购物车

TargetMol的所有产品仅用作科学研究或药证申报,不能被用于人体,我们不向个人提供产品和服务。请您遵守承诺用途,不得违反法律法规规定用于任何其他用途。

实验操作小课堂
常见问题解答
查看更多

资源下载:产品操作手册

产品介绍


生物活性
产品描述
Anti-BRD2 Antibody (7Q375) is a Rabbit antibody targeting BRD2. Anti-BRD2 Antibody (7Q375) can be used in FCM,ICC,IHC,WB.
别名
RNF3, RING3 PROTEIN, RING3, Really interesting new gene 3 protein, O27.1.1, NAT, KIAA9001, FSRG1, FSH, FLJ31942, Female sterile homeotic related gene 1, mouse, homolog of, Female sterile homeotic related gene 1, DKFZp686N0336, D6S113E, Bromodomain-containing protein 2, Bromodomain containing 2, BRD2_HUMAN, Brd2, BRD 2
Ig Type
IgG
克隆号
7Q375
反应种属
Human
验证活性
1. Western blot analysis of BRD2 on SiHa cell lysate using anti-BRD2 antibody at 1/2,000 dilution.
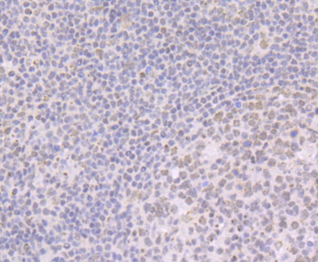
2. Immunohistochemical analysis of paraffin-embedded human tonsil tissue using anti-BRD2 antibody. Counter stained with hematoxylin.
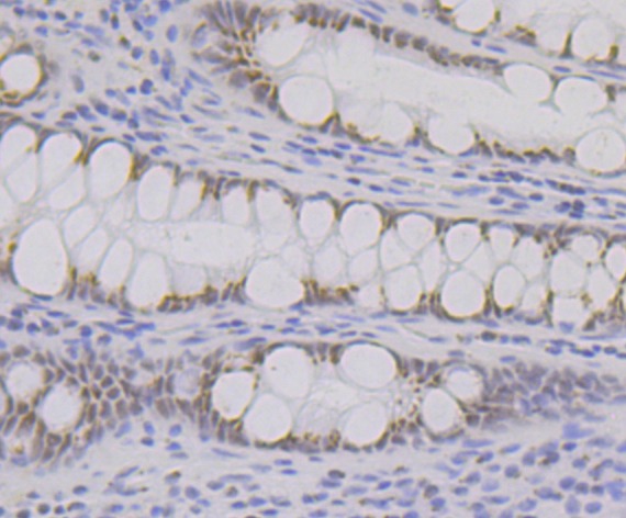
3. Immunohistochemical analysis of paraffin-embedded human colon tissue using anti-BRD2 antibody. Counter stained with hematoxylin.
4. ICC staining BRD2 in 293T cells (green). The nuclear counter stain is DAPI (blue). Cells were fixed in paraformaldehyde, permeabilised with 0.25% Triton X100/PBS.
5. ICC staining BRD2 in A431 cells (green). The nuclear counter stain is DAPI (blue). Cells were fixed in paraformaldehyde, permeabilised with 0.25% Triton X100/PBS.
6. ICC staining BRD2 in SiHa cells (green). The nuclear counter stain is DAPI (blue). Cells were fixed in paraformaldehyde, permeabilised with 0.25% Triton X100/PBS.
7. Flow cytometric analysis of 293T cells with BRD2 antibody at 1/100 dilution (purple) compared with an unlabelled control (cells without incubation with primary antibody; yellow). Alexa Fluor 488-conjugated goat anti-rabbit IgG was used as the secondary antibody.
verifiedActivityverifiedActivityverifiedActivityverifiedActivityverifiedActivityverifiedActivityverifiedActivity
应用FCMICCIHCWB
推荐剂量
WB: 1:500-2000; IHC: 1:50-200; ICC: 1:50-200; FCM: 1:50-100
抗体种类
Monoclonal
宿主来源Rabbit
构建方式Recombinant Antibody
纯化方式ProA affinity purified
性状Liquid
缓冲液1*TBS (pH7.4), 1%BSA, 40%Glycerol. Preservative: 0.05% Sodium Azide.
研究背景The bromodomain-containing proteins include BRD2, BRD3, BRD4 and BRDT. BRD2 (RING3 protein) is a mitogen-activated nuclear protein whose gene is located in the human MHC II region, suggesting its relation to HLA-associated diseases. The gene encoding BRD3 (RING3-like protein) contains two bromodomains and maps to chromosome 9q34. BRD4 (HUNK1 protein) is a nuclear protein involved in the regulation of chromosomal dynamics during mitosis. The testis-specific bromodomain protein BRDT contains a PEST sequence, indicating that it undergoes rapid intracellular degradation. The bromodomain-containing proteins are ubiquitously expressed.
偶联与修饰
偶联
Unconjugated
抗原信息
免疫原
Recombinant Protein: human BRD2 aa 1-200
抗原种属
Human
Uniprot ID
化学信息
分子量Theoretical: 88 kDa.
储存&溶解度
储存方式Store at -20°C or -80°C for 12 months. Avoid repeated freeze-thaw cycles.
运输方式Shipping with blue ice.

计算器

  • 稀释 计算器
  • 配液 计算器
Related Tags: buy Anti-BRD2 Antibody (7Q375) | purchase Anti-BRD2 Antibody (7Q375) | Anti-BRD2 Antibody (7Q375) cost | order Anti-BRD2 Antibody (7Q375) | Anti-BRD2 Antibody (7Q375) molecular weight