购物车
  • TargetMol
    您的购物车当前为空

Anti-BRAF Antibody (7W36)

Synonyms: v-Raf murine sarcoma viral oncogene homolog B1, Serine/threonine-protein kinase B-raf, RAFB1, Proto-oncogene B-Raf, p94, EC 2.7.11.1, BRAF1
货号 TMAC-00357 一键复制产品信息
Rating icon 还可以

Anti-BRAF Antibody (7W36) 是一种 Rabbit 抗体,靶向 BRAF。Anti-BRAF Antibody (7W36) 可用于 FCM,IHC,IP,WB。

Anti-BRAF Antibody (7W36)

一键复制产品信息
Rating icon 还可以
货号 TMAC-00357

别名 v-Raf murine sarcoma viral oncogene homolog B1, Serine/threonine-protein kinase B-raf, RAFB1, Proto-oncogene B-Raf, p94, EC 2.7.11.1, BRAF1

Anti-BRAF Antibody (7W36) 是一种 Rabbit 抗体,靶向 BRAF。Anti-BRAF Antibody (7W36) 可用于 FCM,IHC,IP,WB。

Anti-BRAF Antibody (7W36)
规格价格库存数量
50 μL
¥ 1,480
5日内发货
100 μL
¥ 2,495
5日内发货
库存状态实时更新,以官网显示为准,现货产品可直接加购物车下单
大包装 & 定制
加入购物车

TargetMol的所有产品仅用作科学研究或药证申报,不能被用于人体,我们不向个人提供产品和服务。请您遵守承诺用途,不得违反法律法规规定用于任何其他用途。

实验操作小课堂
常见问题解答
查看更多

资源下载:产品操作手册

产品介绍


生物活性
产品描述
Anti-BRAF Antibody (7W36) is a Rabbit antibody targeting BRAF. Anti-BRAF Antibody (7W36) can be used in FCM,IHC,IP,WB.
别名
v-Raf murine sarcoma viral oncogene homolog B1, Serine/threonine-protein kinase B-raf, RAFB1, Proto-oncogene B-Raf, p94, EC 2.7.11.1, BRAF1
Ig Type
IgG
克隆号
7W36
反应种属
Human,Mouse,Rat
验证活性
1. Immunohistochemical analysis of paraffin-embedded rat testis tissue using anti-B Raf antibody. Counter stained with hematoxylin.
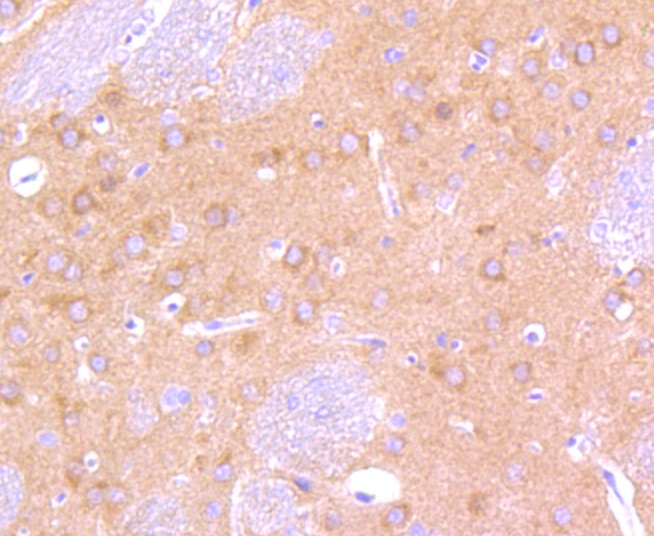
2. Immunohistochemical analysis of paraffin-embedded rat brain tissue using anti-B Raf antibody. Counter stained with hematoxylin.
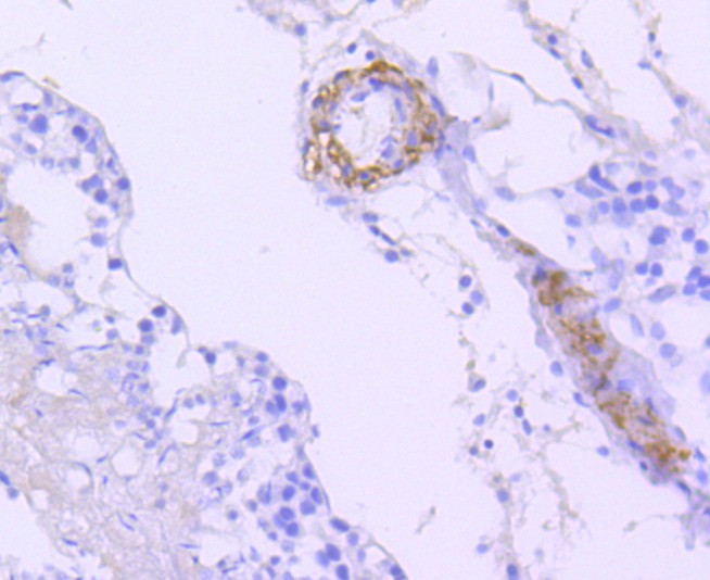
3. Immunohistochemical analysis of paraffin-embedded human breast carcinoma tissue using anti-B Raf antibody. Counter stained with hematoxylin.
4. Flow cytometric analysis of Hela cells with B Raf antibody at 1/50 dilution (red) compared with an unlabelled control (cells without incubation with primary antibody; black). Alexa Fluor 488-conjugated goat anti rabbit IgG was used as the secondary antibody.
verifiedActivityverifiedActivityverifiedActivityverifiedActivity
应用FCMIHCIPWB
推荐剂量
WB: 1:1000; IHC: 1:50-200; FCM: 1:50-100
抗体种类
Monoclonal
宿主来源Rabbit
构建方式Recombinant Antibody
纯化方式ProA affinity purified
性状Liquid
缓冲液1*TBS (pH7.4), 1%BSA, 40%Glycerol. Preservative: 0.05% Sodium Azide.
研究背景Several serine/threonine protein kinases have been implicated as intermediates in signal transduction pathways. These include ERK/MAP kinases, ribosomal S6 kinase (Rsk) and Raf-1. Raf-1 is a cytoplasmic protein with intrinsic serine/threonine activity. It is broadly expressed in nearly all cell lines tested to date and is the cellular homolog of v-Raf, the product of the transforming gene of the 3611 strain of murine sarcoma virus. The unregulated kinase activity of the v-Raf protein has been associated with transformation and mitogenesis, while the activity of Raf-1 is normally suppressed by a regulatory N-terminal domain. Raf-A, a second member of the Raf gene family of serine/threonine protein kinases, exhibits substantial homology to Raf-1 within the kinase domain of the two molecules, but less homology elsewhere. Expression of Raf-B is highly restricted, with highest levels in the cerebrum and testis.
偶联与修饰
偶联
Unconjugated
抗原信息
免疫原
Recombinant Protein
Uniprot ID
化学信息
分子量Theoretical: 85 kDa.
储存&溶解度
储存方式Store at -20°C or -80°C for 12 months. Avoid repeated freeze-thaw cycles.
运输方式Shipping with blue ice.

计算器

  • 稀释 计算器
  • 配液 计算器
Related Tags: buy Anti-BRAF Antibody (7W36) | purchase Anti-BRAF Antibody (7W36) | Anti-BRAF Antibody (7W36) cost | order Anti-BRAF Antibody (7W36) | Anti-BRAF Antibody (7W36) molecular weight