购物车
  • TargetMol
    您的购物车当前为空

Anti-Beta-Actin Antibody (1R828)

Synonyms: β-Actin Protein, β-actin, Beta-Actin, Actin Cytoplasmic 1, ACTB
货号 TMAC-00427 一键复制产品信息
Rating icon 还可以

Anti-Beta-Actin Antibody (1R828) 是一种 Mouse 抗体,靶向 Beta-Actin。Anti-Beta-Actin Antibody (1R828) 可用于 FCM,ICC,IHC,WB。

Anti-Beta-Actin Antibody (1R828)

一键复制产品信息
Rating icon 还可以
货号 TMAC-00427

别名 β-Actin Protein, β-actin, Beta-Actin, Actin Cytoplasmic 1, ACTB

Anti-Beta-Actin Antibody (1R828) 是一种 Mouse 抗体,靶向 Beta-Actin。Anti-Beta-Actin Antibody (1R828) 可用于 FCM,ICC,IHC,WB。

Anti-Beta-Actin Antibody (1R828)
规格价格库存数量
50 μL
¥ 1,995
5日内发货
100 μL
¥ 2,985
5日内发货
库存状态实时更新,以官网显示为准,现货产品可直接加购物车下单
大包装 & 定制
加入购物车
TargetMol的所有产品仅用作科学研究或药证申报,不能被用于人体,我们不向个人提供产品和服务。请您遵守承诺用途,不得违反法律法规规定用于任何其他用途。
实验操作小课堂
常见问题解答
查看更多

资源下载:产品操作手册

产品介绍


生物活性
产品描述
Anti-Beta-Actin Antibody (1R828) is a Mouse antibody targeting Beta-Actin. Anti-Beta-Actin Antibody (1R828) can be used in FCM,ICC,IHC,WB.
别名β-Actin Protein, β-actin, Beta-Actin, Actin Cytoplasmic 1, ACTB
克隆号
1R828
反应种属
Human,Mouse,Rat
验证活性
1. Western blot analysis of Beta-Western blot analysis of Beta-actin on different lysates using anti-Beta-actin antibody at 1/10,000 dilution. Positivecontrol: Lane 1: NIH/3T3, Lane 2: PC12, Lane 3: MCF-7, Lane 4: HepG2, Lane 5: Hela, Lane 6: Mouse lung.
2. Immunohistochemical analysis of paraffin-embedded human colon carcinoma tissue using anti-Beta-actin antibody. Counter stained with hematoxylin.
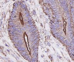
3. Immunohistochemical analysis of paraffin-embedded mouse prostate tissue using anti-Beta-actin antibody. Counter stained with hematoxylin.
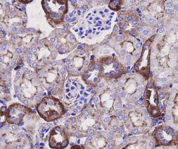
4. Immunohistochemical analysis of paraffin-embedded mouse kidney tissue using anti-Beta-actin antibody. Counter stained with hematoxylin.
5. ICC staining of Beta-actin in Hela cells (red). Cells were fixed in paraformaldehyde, permeabilised with 0.25% Triton X100/PBS.
6. ICC staining of Beta-actin in A549 cells (red). Cells were fixed in paraformaldehyde, permeabilised with 0.25% Triton X100/PBS.
7. ICC staining of Beta-actin in NIH-3T3 cells (red). Cells were fixed in paraformaldehyde, permeabilised with 0.25% Triton X100/PBS.
8. Flow cytometric analysis of Hela?cells with Beta-actin antibody at 1/100 dilution (blue) compared with an unlabelled control (cells without incubation with primary antibody; red). Goat anti mouse IgG (FITC) was used as the secondary antibody.
verifiedActivityverifiedActivityverifiedActivityverifiedActivityverifiedActivityverifiedActivityverifiedActivityverifiedActivity
应用FCMICCIHCWB
推荐剂量
WB: 1:10000; IHC: 1:100-200; ICC: 1:100-200; FCM: 1:100-200
抗体种类
Monoclonal
宿主来源Mouse
构建方式Hybridoma Monoclonal Antibody
纯化方式ProA affinity purified
性状Liquid
缓冲液1*TBS (pH7.4), 1%BSA, 40%Glycerol. Preservative: 0.05% Sodium Azide.
研究背景Beta actin also know as Cytoplasmic Actin is a 42 kDa, highly conserved protein, ubiquitously expressed in all eukaryotic cells. They comprise, along with microtubules, a major component of the cytoskeleton. β-Actin is a relatively stable cytoskeletal protein normally at a constant level in cells, regardless of experimental treatment or technical procedure. For this reason, measurement of β -Actin is generally used as an internal control for experimental error.
偶联与修饰
偶联
Unconjugated
抗原信息
免疫原
KLH conjugated synthetic peptide: within human Beta-actin N terminal
抗原种属
human
Uniprot ID
化学信息
分子量Theoretical: 42 kDa.
储存&溶解度
储存方式Store at -20°C or -80°C for 12 months. Avoid repeated freeze-thaw cycles.
运输方式Shipping with blue ice.

计算器

  • 稀释 计算器
  • 配液 计算器

关键词

Related Tags: buy Anti-Beta-Actin Antibody (1R828) | purchase Anti-Beta-Actin Antibody (1R828) | Anti-Beta-Actin Antibody (1R828) cost | order Anti-Beta-Actin Antibody (1R828) | Anti-Beta-Actin Antibody (1R828) molecular weight