购物车
  • TargetMol
    您的购物车当前为空

Anti-BCL2 Antibody (9S932)

Synonyms: PPP1R50, Bcl-2, B-cell CLL/lymphoma 2
货号 TMAC-00393 一键复制产品信息
Rating icon 还可以

Anti-BCL2 Antibody (9S932) 是一种 Rabbit 抗体,靶向 BCL2。Anti-BCL2 Antibody (9S932) 可用于 FCM,ICC/IF,IHC,IP,WB。

Anti-BCL2 Antibody (9S932)

一键复制产品信息
Rating icon 还可以
货号 TMAC-00393

别名 PPP1R50, Bcl-2, B-cell CLL/lymphoma 2

Anti-BCL2 Antibody (9S932) 是一种 Rabbit 抗体,靶向 BCL2。Anti-BCL2 Antibody (9S932) 可用于 FCM,ICC/IF,IHC,IP,WB。

Anti-BCL2 Antibody (9S932)
规格价格库存数量
50 μL
¥ 1,490
5日内发货
100 μL
¥ 2,490
5日内发货
库存状态实时更新,以官网显示为准,现货产品可直接加购物车下单
大包装 & 定制
加入购物车
TargetMol的所有产品仅用作科学研究或药证申报,不能被用于人体,我们不向个人提供产品和服务。请您遵守承诺用途,不得违反法律法规规定用于任何其他用途。
实验操作小课堂
常见问题解答
查看更多

资源下载:产品操作手册

产品介绍


生物活性
产品描述
Anti-BCL2 Antibody (9S932) is a Rabbit antibody targeting BCL2. Anti-BCL2 Antibody (9S932) can be used in FCM,ICC/IF,IHC,IP,WB.
别名PPP1R50, Bcl-2, B-cell CLL/lymphoma 2
Ig Type
IgG
克隆号
9S932
反应种属
Human,Mouse
验证活性
1. Western blot analysis of Bcl-2 on different lysates using anti-Bcl-2 antibody at 1/1,000 dilution. Positive control: Lane 1: Hela, Lane 2: Jurkat.
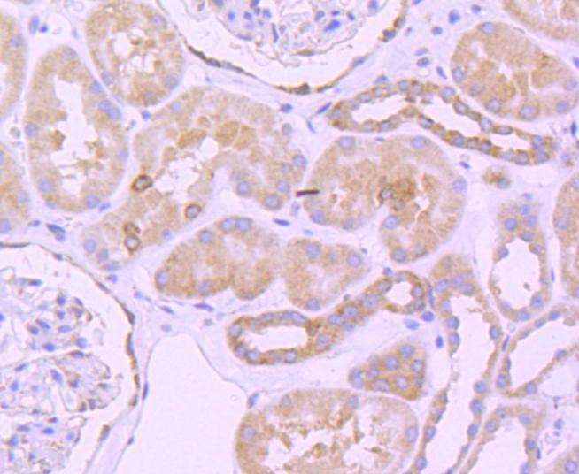
2. Immunohistochemical analysis of paraffin-embedded human kidney tissue using anti-Bcl-2 antibody. Counter stained with hematoxylin.
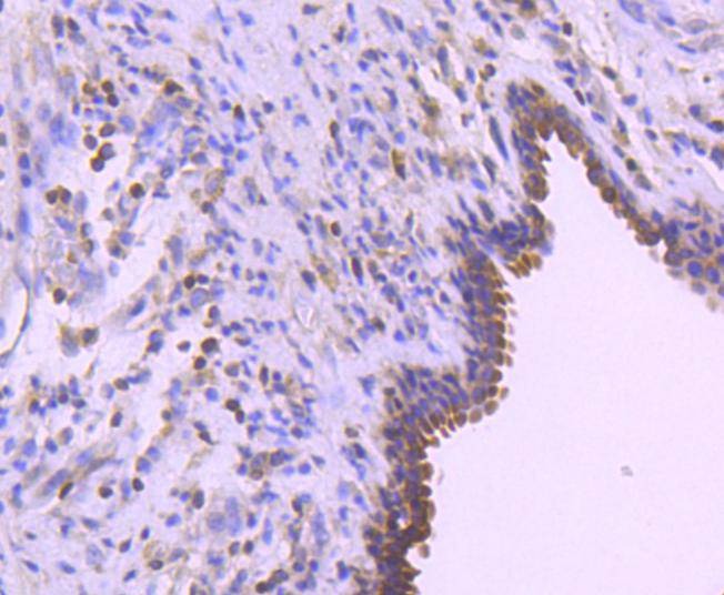
3. Immunohistochemical analysis of paraffin-embedded human breast carcinoma tissue using anti-Bcl-2 antibody. Counter stained with hematoxylin.
4. ICC staining Bcl-2 in A549 cells (green). The nuclear counter stain is DAPI (blue). Cells were fixed in paraformaldehyde, permeabilised with 0.25% Triton X100/PBS.
5. ICC staining Bcl-2 in MCF-7 cells (green). The nuclear counter stain is DAPI (blue). Cells were fixed in paraformaldehyde, permeabilised with 0.25% Triton X100/PBS.
6. ICC staining Bcl-2 in SH-SY-5Y cells (green). The nuclear counter stain is DAPI (blue). Cells were fixed in paraformaldehyde, permeabilised with 0.25% Triton X100/PBS.
7. Flow cytometric analysis of Jurkat cells with Bcl-2 antibody at 1/50 dilution (red) compared with an unlabelled control (cells without incubation with primary antibody; black). Alexa Fluor 488-conjugated goat anti rabbit IgG was used as the secondary antibody.
verifiedActivityverifiedActivityverifiedActivityverifiedActivityverifiedActivityverifiedActivityverifiedActivity
应用FCMICC/IFIHCIPWB
推荐剂量
WB: 1:1000-2000; IHC: 1:50-500; ICC/IF: 1:50-200; FCM: 1:50-100
抗体种类
Monoclonal
宿主来源Rabbit
构建方式Recombinant Antibody
纯化方式ProA affinity purified
性状Liquid
缓冲液1*TBS (pH7.4), 1%BSA, 40%Glycerol. Preservative: 0.05% Sodium Azide.
研究背景Apoptosis is defined as a set of cascades which, when initiated, programs the cell to undergo lethal changes such as membrane blebbing, mitochondrial break down and DNA fragmentation. Bcl-2 is one among many key regulators of apoptosis, which are essential for proper development, tissue homeostasis, and protection against foreign pathogens. Human Bcl-2 is an apoptotic, membrane-associated oncoprotein that can promote cell survival through protein-protein interactions with other Bcl-2 related family members, such as the death suppressors Bcl-xl, Mcl-1, Bcl-w, and A1 or the death agonists Bax, Bak, Bik, Bad, and Bid. The apoptotic function of Bcl-2 can also be regulated through proteolytic processing and phospho-rylation. Bcl-2 may promote cell survival by interfering with the activation of the cytochrome c/Apaf-1 pathway through stabilization of the mitochondrial membrane. Mutations in the Bcl-2 gene can contribute to cancers where normal physiological cell death mechanisms are compromised by deregulation of the apoptotic influence of Bcl-2.
偶联与修饰
偶联
Unconjugated
抗原信息
免疫原
Recombinant Protein
Uniprot ID
化学信息
分子量Theoretical: 26/22 kDa.
储存&溶解度
储存方式Store at -20°C or -80°C for 12 months. Avoid repeated freeze-thaw cycles.
运输方式Shipping with blue ice.

计算器

  • 稀释 计算器
  • 配液 计算器
Related Tags: buy Anti-BCL2 Antibody (9S932) | purchase Anti-BCL2 Antibody (9S932) | Anti-BCL2 Antibody (9S932) cost | order Anti-BCL2 Antibody (9S932) | Anti-BCL2 Antibody (9S932) molecular weight