购物车
  • TargetMol
    您的购物车当前为空

Anti-BCL-XL Antibody (3K493)

Synonyms: PPP1R52, bcl-xS, BCLXS, BCL-XL/S, bcl-xL, BCLXL, Bcl-X, BCLX, BCL2-like 1, BCL2L
货号 TMAC-00407 一键复制产品信息
Rating icon 还可以

Anti-BCL-XL Antibody (3K493) 是一种 Rabbit 抗体,靶向 BCL-XL。Anti-BCL-XL Antibody (3K493) 可用于 FCM,ICC/IF,IHC,IP,WB。

Anti-BCL-XL Antibody (3K493)

一键复制产品信息
Rating icon 还可以
货号 TMAC-00407

别名 PPP1R52, bcl-xS, BCLXS, BCL-XL/S, bcl-xL, BCLXL, Bcl-X, BCLX, BCL2-like 1, BCL2L

Anti-BCL-XL Antibody (3K493) 是一种 Rabbit 抗体,靶向 BCL-XL。Anti-BCL-XL Antibody (3K493) 可用于 FCM,ICC/IF,IHC,IP,WB。

Anti-BCL-XL Antibody (3K493)
规格价格库存数量
50 μL
¥ 1,480
5日内发货
100 μL
¥ 2,485
5日内发货
库存状态实时更新,以官网显示为准,现货产品可直接加购物车下单
大包装 & 定制
加入购物车
TargetMol的所有产品仅用作科学研究或药证申报,不能被用于人体,我们不向个人提供产品和服务。请您遵守承诺用途,不得违反法律法规规定用于任何其他用途。
实验操作小课堂
常见问题解答
查看更多

资源下载:产品操作手册

产品介绍


生物活性
产品描述
Anti-BCL-XL Antibody (3K493) is a Rabbit antibody targeting BCL-XL. Anti-BCL-XL Antibody (3K493) can be used in FCM,ICC/IF,IHC,IP,WB.
别名PPP1R52, bcl-xS, BCLXS, BCL-XL/S, bcl-xL, BCLXL, Bcl-X, BCLX, BCL2-like 1, BCL2L
Ig Type
IgG
克隆号
3K493
反应种属
Human,Mouse,Rat
验证活性
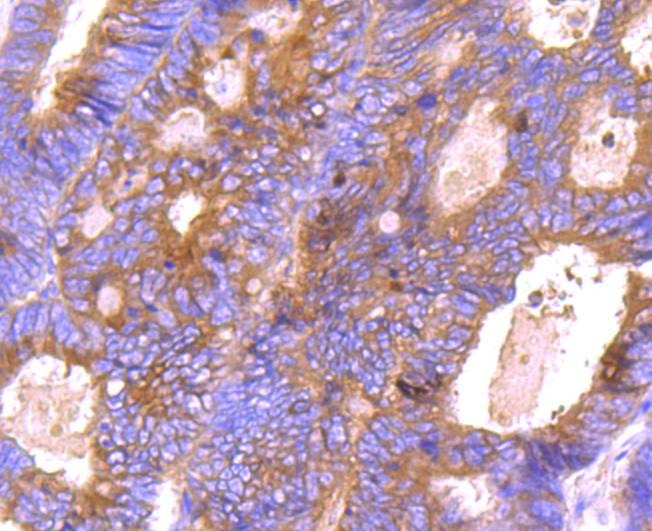
1. Immunohistochemical analysis of paraffin-embedded human colon cancer tissue using anti-Bcl-XL antibody. Counter stained with hematoxylin.
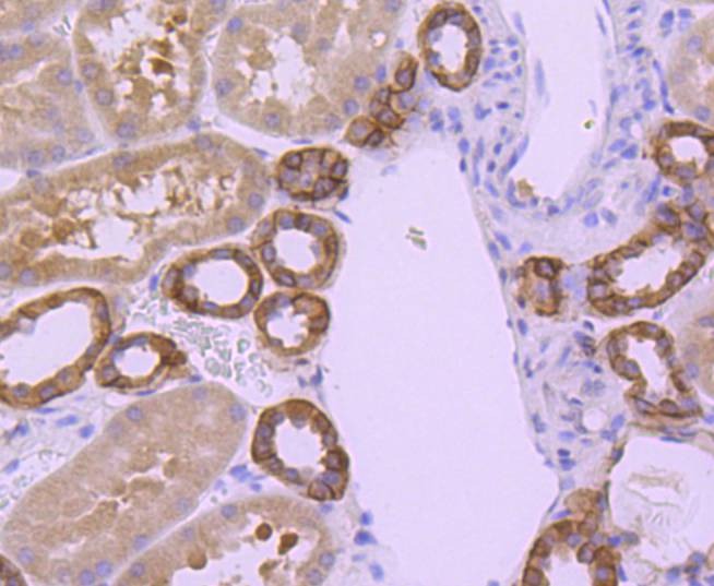
2. Immunohistochemical analysis of paraffin-embedded human kidney tissue using anti-Bcl-XL antibody. Counter stained with hematoxylin.
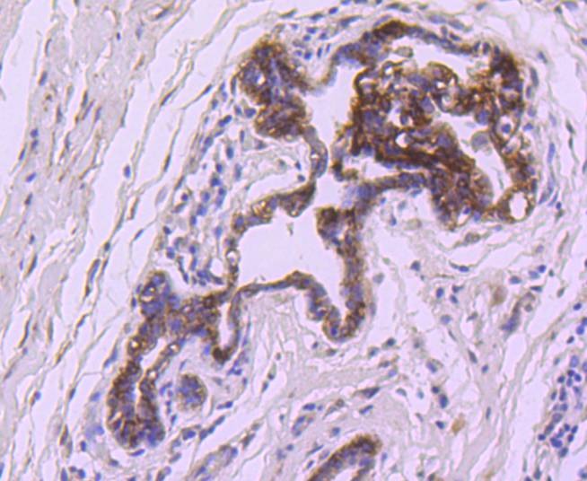
3. Immunohistochemical analysis of paraffin-embedded human breast carcinoma tissue using anti-Bcl-XL antibody. Counter stained with hematoxylin.
4. ICC staining Bcl-XL in HepG2 cells (green). The nuclear counter stain is DAPI (blue). Cells were fixed in paraformaldehyde, permeabilised with 0.25% Triton X100/PBS.
5. ICC staining Bcl-XL in Hela cells (green). The nuclear counter stain is DAPI (blue). Cells were fixed in paraformaldehyde, permeabilised with 0.25% Triton X100/PBS.
6. ICC staining Bcl-XL in MCF-7 cells (green). The nuclear counter stain is DAPI (blue). Cells were fixed in paraformaldehyde, permeabilised with 0.25% Triton X100/PBS.
7. Flow cytometric analysis of Hela cells with Bcl-XL antibody at 1/50 dilution (red) compared with an unlabelled control (cells without incubation with primary antibody; black). Alexa Fluor 488-conjugated goat anti rabbit IgG was used as the secondary antibody.
8. All lanes: Bcl-XL Rabbit mAb TMAC-00407 at 1/1000 dilution, Lane 1: Hela whole cell lysates, Lane 2: JK whole cell lysates, Lane 3: 3T3 whole cell lysates, Lane 4: C6 whole cell lysates, Lane 5: HepG2 whole cell lysates Lysates at 20 μg per lane. Secondary All lanes: Goat Anti-Rabbit IgG H&L (HRP) at 1/10000 dilution, Predicted band size: 26 kDa, Observed band size: 26 kDa, Exposure time: 2 seconds.
verifiedActivityverifiedActivityverifiedActivityverifiedActivityverifiedActivityverifiedActivityverifiedActivityverifiedActivity
应用FCMICC/IFIHCIPWB
推荐剂量
WB: 1:1000; IHC: 1:50-200; ICC/IF: 1:50-200; FCM: 1:50-100
抗体种类
Monoclonal
宿主来源Rabbit
构建方式Recombinant Antibody
纯化方式ProA affinity purified
性状Liquid
缓冲液1*TBS (pH7.4), 1%BSA, 40%Glycerol. Preservative: 0.05% Sodium Azide.
研究背景The Bcl-2 gene was isolated at the chromosomal breakpoint of t(14;18) bearing follicular B cell lymphomas. Bcl-2 blocks cell death following a variety of stimuli and confers a death-sparing effect to certain hematopoietic cell lines following growth factor withdrawal. A second protein, designated Bcl-associated X protein (Bax) p21, has extensive amino acid homology with Bcl-2 and both homodimerizes and heterodimerizes with Bcl-2. Overexpression of Bax accelerates apoptotic death induced by cytokine deprivation in an IL-3-dependent cell line, and Bax also counters the death repressor activity of Bcl-2. Bcl-x, one of several additional proteins with sequence homology to Bcl-2, is expressed as Bcl-xL, a 233 amino acid protein with 43% sequence identity with Bcl-2 that suppresses cell death, and Bcl-xS, a shorter variant that is 178 amino acids in length and lacks a 63 amino acid region (amino acids 126-188) found in Bcl-xL and which functions as a dominant inhibitor of Bcl-2. A further apoptosis-inducing protein, Bad, dimerizes both with Bcl-xL and to a lesser extent with Bcl-2, thus displacing Bax and inducing apoptosis.
偶联与修饰
偶联
Unconjugated
抗原信息
免疫原
Recombinant Protein
Uniprot ID
化学信息
分子量Theoretical: 26 kDa.
储存&溶解度
储存方式Store at -20°C or -80°C for 12 months. Avoid repeated freeze-thaw cycles.
运输方式Shipping with blue ice.

计算器

  • 稀释 计算器
  • 配液 计算器
Related Tags: buy Anti-BCL-XL Antibody (3K493) | purchase Anti-BCL-XL Antibody (3K493) | Anti-BCL-XL Antibody (3K493) cost | order Anti-BCL-XL Antibody (3K493) | Anti-BCL-XL Antibody (3K493) molecular weight