购物车
  • TargetMol
    您的购物车当前为空

Anti-BCAP31 Antibody (4P206)

Synonyms: Protein CDM, p28, DXS1357E, BCR-associated protein 31, B-cell receptor-associated protein 31, BCAP 31, Bap31, 6C6-AG tumor-associated antigen
货号 TMAC-00378 一键复制产品信息
Rating icon 还可以

Anti-BCAP31 Antibody (4P206) 是一种 Rabbit 抗体,靶向 BCAP31。Anti-BCAP31 Antibody (4P206) 可用于 FCM,ICC,IF,IHC,WB。

Anti-BCAP31 Antibody (4P206)

一键复制产品信息
Rating icon 还可以
货号 TMAC-00378

别名 Protein CDM, p28, DXS1357E, BCR-associated protein 31, B-cell receptor-associated protein 31, BCAP 31, Bap31, 6C6-AG tumor-associated antigen

Anti-BCAP31 Antibody (4P206) 是一种 Rabbit 抗体,靶向 BCAP31。Anti-BCAP31 Antibody (4P206) 可用于 FCM,ICC,IF,IHC,WB。

Anti-BCAP31 Antibody (4P206)
规格价格库存数量
50 μL
¥ 1,490
5日内发货
100 μL
¥ 2,495
5日内发货
库存状态实时更新,以官网显示为准,现货产品可直接加购物车下单
大包装 & 定制
加入购物车
TargetMol的所有产品仅用作科学研究或药证申报,不能被用于人体,我们不向个人提供产品和服务。请您遵守承诺用途,不得违反法律法规规定用于任何其他用途。
实验操作小课堂
常见问题解答
查看更多

资源下载:产品操作手册

产品介绍


生物活性
产品描述
Anti-BCAP31 Antibody (4P206) is a Rabbit antibody targeting BCAP31. Anti-BCAP31 Antibody (4P206) can be used in FCM,ICC,IF,IHC,WB.
别名Protein CDM, p28, DXS1357E, BCR-associated protein 31, B-cell receptor-associated protein 31, BCAP 31, Bap31, 6C6-AG tumor-associated antigen
Ig Type
IgG
克隆号
4P206
反应种属
Human,Mouse
验证活性
1. Western blot analysis of BAP31 on different lysates using anti-BAP31 antibody at 1/1,000 dilution. Positive control: Lane 1: A431, Lane 2: SK-Br-3.
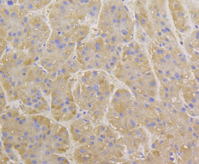
2. Immunohistochemical analysis of paraffin-embedded human liver tissue using anti-BAP31 antibody. Counter stained with hematoxylin.
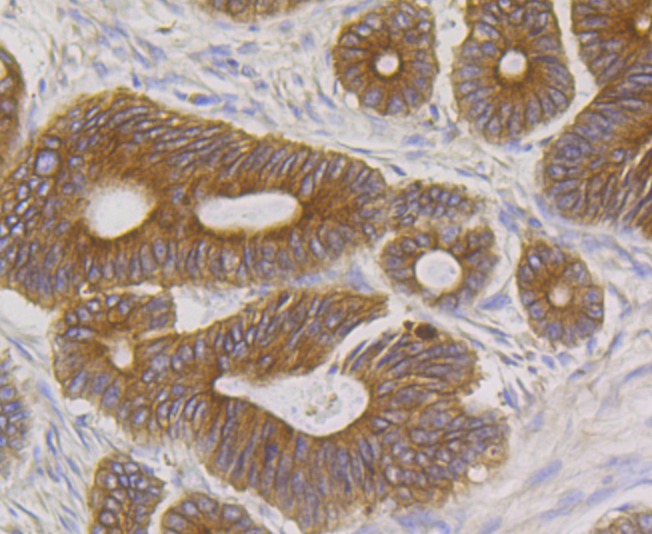
3. Immunohistochemical analysis of paraffin-embedded human colon cancer tissue using anti-BAP31 antibody. Counter stained with hematoxylin.
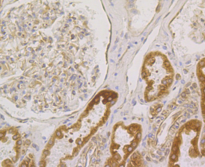
4. Immunohistochemical analysis of paraffin-embedded human kidney tissue using anti-BAP31 antibody. Counter stained with hematoxylin.
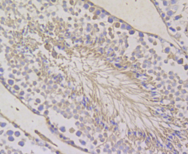
5. Immunohistochemical analysis of paraffin-embedded mouse testis tissue using anti-BAP31 antibody. Counter stained with hematoxylin.
6. ICC staining BAP31 in A431 cells (green). The nuclear counter stain is DAPI (blue). Cells were fixed in paraformaldehyde, permeabilised with 0.25% Triton X100/PBS.
7. ICC staining BAP31 in A549 cells (green). The nuclear counter stain is DAPI (blue). Cells were fixed in paraformaldehyde, permeabilised with 0.25% Triton X100/PBS.
8. ICC staining BAP31 in PC-3M cells (green). The nuclear counter stain is DAPI (blue). Cells were fixed in paraformaldehyde, permeabilised with 0.25% Triton X100/PBS.
9. Flow cytometric analysis of PC-3M cells with BAP31 antibody at 1/100 dilution (purple) compared with an unlabelled control (cells without incubation with primary antibody; yellow). Alexa Fluor 488-conjugated goat anti-rabbit IgG was used as the secondary antibody.
verifiedActivityverifiedActivityverifiedActivityverifiedActivityverifiedActivityverifiedActivityverifiedActivityverifiedActivityverifiedActivity
应用FCMICCIFIHCWB
推荐剂量
WB: 1:500-2000; IHC: 1:50-200; ICC: 1:50-200; FCM: 1:50-100
抗体种类
Monoclonal
宿主来源Rabbit
构建方式Recombinant Antibody
纯化方式ProA affinity purified
性状Liquid
缓冲液1*TBS (pH7.4), 1%BSA, 40%Glycerol. Preservative: 0.05% Sodium Azide.
研究背景BAP31, a human Bcl-2-interacting protein, is an integral membrane protein that is a component of a protein complex in the endoplasmic reticulum. This protein complex mechanically bridges an apoptosis-initiating caspase, like procaspase-8, with the apoptotic regulator Bcl-2 or Bcl-XL. The cytosolic domain of BAP31 contains two identical caspase recognition sites, which are preferentially cleaved by initiator caspases, including caspase 8. Cleavage of BAP31 during apoptosis generates a p20 fragment, which remains integrated in the membrane and, when expressed ectopically, is a potent inducer of cell death. BAP31 cleavage is important for manifesting cytoplasmic apoptotic events associated with membrane fragmentation and in the cross talk between mitochondria and the endoplasmic reticulum during Fas- mediated apoptosis. The BAP31 gene is ubiquitously expressed in murine tissues and is located on the X chromosome in both mouse and human.
偶联与修饰
偶联
Unconjugated
抗原信息
免疫原
A synthesized peptide: within the C-terminus of human BAP31
抗原种属
human
Uniprot ID
化学信息
分子量Theoretical: 28 kDa.
储存&溶解度
储存方式Store at -20°C or -80°C for 12 months. Avoid repeated freeze-thaw cycles.
运输方式Shipping with blue ice.

计算器

  • 稀释 计算器
  • 配液 计算器
Related Tags: buy Anti-BCAP31 Antibody (4P206) | purchase Anti-BCAP31 Antibody (4P206) | Anti-BCAP31 Antibody (4P206) cost | order Anti-BCAP31 Antibody (4P206) | Anti-BCAP31 Antibody (4P206) molecular weight