购物车
  • TargetMol
    您的购物车当前为空

Anti-BAX Polyclonal Antibody 2

Synonyms: Bcl-2-like protein 4, Bcl2-L-4, BCL2L4, Apoptosis regulator BAX
货号 TMAB-00188 一键复制产品信息
Rating icon 还可以

Anti-BAX Polyclonal Antibody 2 是一种 Rabbit 抗体,靶向 BAX。Anti-BAX Polyclonal Antibody 2 可用于 FCM, ICC/IF, IF, IHC-Fr, IHC-P, WB。

Anti-BAX Polyclonal Antibody 2

一键复制产品信息
Rating icon 还可以
货号 TMAB-00188

别名 Bcl-2-like protein 4, Bcl2-L-4, BCL2L4, Apoptosis regulator BAX

Anti-BAX Polyclonal Antibody 2 是一种 Rabbit 抗体,靶向 BAX。Anti-BAX Polyclonal Antibody 2 可用于 FCM, ICC/IF, IF, IHC-Fr, IHC-P, WB。

Anti-BAX Polyclonal Antibody 2
规格价格库存数量
50 μL
¥ 1,175
5日内发货
100 μL
¥ 1,960
5日内发货
200 μL
¥ 2,790
5日内发货
库存状态实时更新,以官网显示为准,现货产品可直接加购物车下单
大包装 & 定制
加入购物车
TargetMol的所有产品仅用作科学研究或药证申报,不能被用于人体,我们不向个人提供产品和服务。请您遵守承诺用途,不得违反法律法规规定用于任何其他用途。
实验操作小课堂
常见问题解答
查看更多

选择批次:
颜色: 无色透明
性状: Liquid

产品介绍


生物活性
产品描述
Anti-BAX Polyclonal Antibody 2 is a Rabbit antibody targeting BAX. Anti-BAX Polyclonal Antibody 2 can be used in FCM, ICC/IF, IF, IHC-Fr, IHC-P, WB.
别名Bcl-2-like protein 4, Bcl2-L-4, BCL2L4, Apoptosis regulator BAX
Ig Type
IgG
反应种属
Human,Mouse,Rat (predicted:Dog,Pig,Cow,Rabbit,Sheep)
验证活性
1. Sample:
Hela (Human) Cell Lysate at 30 μg
Primary: Anti-Bax (TMAB-00188) at 1/1000 dilution
Secondary: IRDye800CW Goat Anti-Rabbit IgG at 1/20000 dilution
Predicted band size: 21 kDa
Observed band size: 23 kDa
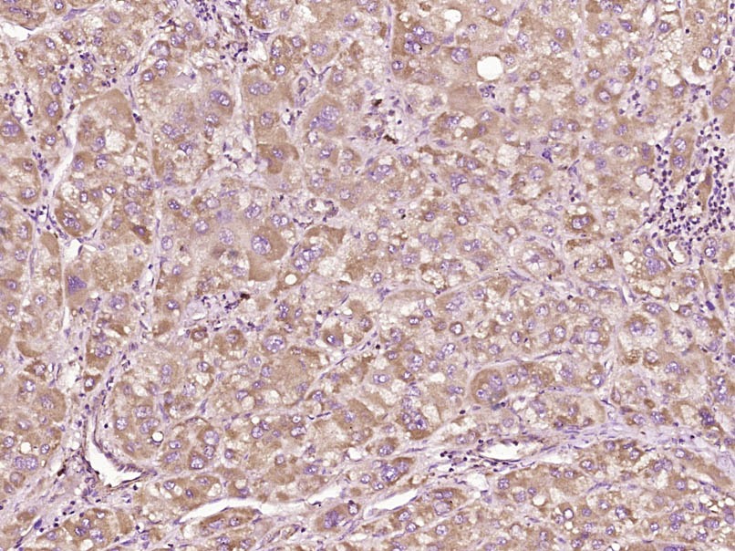
2. Paraformaldehyde-fixed, paraffin embedded (Human liver carcinoma); Antigen retrieval by boiling in sodium citrate buffer (pH6.0) for 15 min; Block endogenous peroxidase by 3% hydrogen peroxide for 20 min; Blocking buffer (normal goat serum) at 37°C for 30 min; Antibody incubation with (Bax) Polyclonal Antibody, Unconjugated (TMAB-00188) at 1:400 overnight at 4°C, followed by operating according to SP Kit (Rabbit) instructionsand DAB staining.
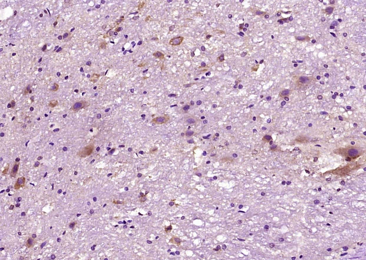
3. Paraformaldehyde-fixed, paraffin embedded (Rat brain); Antigen retrieval by boiling in sodium citrate buffer (pH6.0) for 15 min; Block endogenous peroxidase by 3% hydrogen peroxide for 20 min; Blocking buffer (normal goat serum) at 37°C for 30 min; Antibody incubation with (Bax) Polyclonal Antibody, Unconjugated (TMAB-00188) at 1:400 overnight at 4°C, followed by operating according to SP Kit (Rabbit) instructionsand DAB staining.
4. Overlay histogram showing HL 60 cells stained with TMAB-00188 (Green line). The cells were fixed with 90% methanol (5 min) and then permeabilized with 0.01M PBS-Tween for 20 min. The cells were then incubated in 1x PBS / 10% normal goat serum to block non-specific protein-protein interactions followed by the antibody (TMAB-00188,1 μg/1x10^6 cells) for 30 min at 22°C. The secondary antibody used was fluorescein isothiocyanate goat anti-rabbit IgG (H+L) (Brillant blue line) at 1/200 dilution for 30 min at 22°C. Isotype control antibody was rabbit IgG (polyclonal, Orange line) (1 μg/1x10^6 cells) used under the same conditions. Unlabelled sample (blue line) was also used as a control. Acquisition of 20,000 events were collected using a 20mW Argon ion laser (488nm) and 525/30 bandpass filter.
5. Sample:
Lane 1: Testis (Mouse) Lysate at 40 μg
Lane 2: Kidney (Rat) Lysate at 40 μg
Lane 3: Testis (Rat) Lysate at 40 μg
Primary:
Anti-Bax (TMAB-00188) at 1/1000 dilution
Secondary: IRDye800CW Goat Anti-Rabbit IgG at 1/20000 dilution
Predicted band size: 21 kDa
Observed band size: 21 kDa
6. Tissue/cell: SH-SY5Y cell; 4% Paraformaldehyde-fixed; Triton X-100 at room temperature for 20 min; Blocking buffer (normal goat serum) at 37°C for 20 min; Antibody incubation with (Bax) polyclonal Antibody, Unconjugated (TMAB-00188) 1:100, 90 minutes at 37°C; followed by a FITC conjugated Goat Anti-Rabbit IgG antibody at 37°C for 90 minutes, DAPI (blue) was used to stain the cell nucleus.
7. Tissue/cell: SH-SY5Y cell; 4% Paraformaldehyde-fixed; Triton X-100 at room temperature for 20 min; Blocking buffer (normal goat serum) at 37°C for 20 min; Antibody incubation with (Bax) polyclonal Antibody, Unconjugated (TMAB-00188) 1:100, 90 minutes at 37°C; followed by a FITC conjugated Goat Anti-Rabbit IgG antibody at 37°C for 90 minutes, DAPI (blue) was used to stain the cell nucleus.
8. Paraformaldehyde-fixed, paraffin embedded (Rat spinal cord); Antigen retrieval by boiling in sodium citrate buffer (pH6.0) for 15 min; Block endogenous peroxidase by 3% hydrogen peroxide for 20 min; Blocking buffer (normal goat serum) at 37°C for 30 min; Antibody incubation with (Bax) Polyclonal Antibody, Unconjugated (TMAB-00188) at 1:400 overnight at 4°C, followed by operating according to SP Kit (Rabbit) instructionsand DAB staining.
9. Sample:
Cerebral cortex (Rat) Lysate at 40 μg
Primary: Anti-Bax (TMAB-00188) at 1/1000 dilution
Secondary: IRDye800CW Goat Anti-Rabbit IgG at 1/20000 dilution
Predicted band size: 21 kDa
Observed band size: 21 kDa
verifiedActivityverifiedActivityverifiedActivityverifiedActivityverifiedActivityverifiedActivityverifiedActivityverifiedActivityverifiedActivity
应用FCMICC/IFIFIHC-FrIHC-PWB
推荐剂量
FCM=1 μg/Test; ICC/IF=1:50-200; IF=1:100-500; IHC-Fr=1:100-500; IHC-P=1:100-500; WB=1:500-2000
抗体种类
Polyclonal
宿主来源Rabbit
亚细胞定位Isoform Alpha: Mitochondrion membrane; Single-pass membrane protein. Cytoplasm. Note=Colocalizes with 14-3-3 proteins in the cytoplasm. Under stress conditions, undergoes a conformation change that causes release from JNK-phosphorylated 14-3-3 proteins and translocation to the mitochondrion membrane. Isoform Beta: Cytoplasm. Isoform Gamma: Cytoplasm. Isoform Delta: Cytoplasm (Potential).
组织特异性Expressed in a wide variety of tissues. Isoform Psi is found in glial tumors. Isoform Alpha is expressed in spleen, breast, ovary, testis, colon and brain, and at low levels in skin and lung. Isoform Sigma is expressed in spleen, breast, ovary, testis, lu
构建方式Polyclonal Antibody
纯化方式Protein A purified
性状Liquid
缓冲液0.01M TBS (pH7.4) with 1% BSA, 0.02% Proclin300 and 50% Glycerol.
浓度1 mg/mL
研究背景The protein encoded by this gene belongs to the BCL2 protein family. BCL2 family members form hetero- or homodimers and act as anti- or pro-apoptotic regulators that are involved in a wide variety of cellular activities. This protein forms a heterodimer with BCL2, and functions as an apoptotic activator. This protein is reported to interact with, and increase the opening of, the mitochondrial voltage-dependent anion channel (VDAC), which leads to the loss in membrane potential and the release of cytochrome c. The expression of this gene is regulated by the tumor suppressor P53 and has been shown to be involved in P53-mediated apoptosis. Multiple alternatively spliced transcript variants, which encode different isoforms, have been reported for this gene. [provided by RefSeq, Jul 2008].
抗原信息
免疫原
KLH conjugated synthetic peptide: human Bax
抗原种属
Human
基因名称
BAX
基因ID
蛋白名称
Apoptosis regulator BAX
Uniprot ID
研究领域
Bcl 2 family,Metabolism,Bcl 2 family,Associated Proteins,Bcl2 Family,Apoptosis marker and proteins ELISA kits,Apoptosis
功能
Accelerates programmed cell death by binding to, and antagonizing the apoptosis repressor BCL2 or its adenovirus homolog E1B 19k protein. Under stress conditions, undergoes a conformation change that causes translocation to the mitochondrion membrane, leading to the release of cytochrome c that then triggers apoptosis. Promotes activation of CASP3, and thereby apoptosis.
化学信息
分子量Theoretical: 21 kDa. Actual: 20-23 kDa.
储存&溶解度
储存方式Store at -20°C or -80°C for 12 months. Avoid repeated freeze-thaw cycles.
运输方式Shipping with blue ice.

计算器

  • 稀释 计算器
  • 配液 计算器
Related Tags: buy Anti-BAX Polyclonal Antibody 2 | purchase Anti-BAX Polyclonal Antibody 2 | Anti-BAX Polyclonal Antibody 2 cost | order Anti-BAX Polyclonal Antibody 2 | Anti-BAX Polyclonal Antibody 2 molecular weight