购物车
  • TargetMol
    您的购物车当前为空

Anti-BAX Antibody (1J827)

Synonyms: Bcl-2-like protein 4, Bcl2-L-4, BCL2L4, Apoptosis regulator BAX
货号 TMAC-00383 一键复制产品信息
Rating icon 还可以

Anti-BAX Antibody (1J827) 是一种 Rabbit 抗体,靶向 BAX。Anti-BAX Antibody (1J827) 可用于 FCM,IHC,IP,WB。

Anti-BAX Antibody (1J827)

一键复制产品信息
Rating icon 还可以
货号 TMAC-00383

别名 Bcl-2-like protein 4, Bcl2-L-4, BCL2L4, Apoptosis regulator BAX

Anti-BAX Antibody (1J827) 是一种 Rabbit 抗体,靶向 BAX。Anti-BAX Antibody (1J827) 可用于 FCM,IHC,IP,WB。

Anti-BAX Antibody (1J827)
规格价格库存数量
50 μL
¥ 1,480
5日内发货
100 μL
¥ 2,485
5日内发货
库存状态实时更新,以官网显示为准,现货产品可直接加购物车下单
大包装 & 定制
加入购物车
TargetMol的所有产品仅用作科学研究或药证申报,不能被用于人体,我们不向个人提供产品和服务。请您遵守承诺用途,不得违反法律法规规定用于任何其他用途。
实验操作小课堂
常见问题解答
查看更多

资源下载:产品操作手册

产品介绍


生物活性
产品描述
Anti-BAX Antibody (1J827) is a Rabbit antibody targeting BAX. Anti-BAX Antibody (1J827) can be used in FCM,IHC,IP,WB.
别名Bcl-2-like protein 4, Bcl2-L-4, BCL2L4, Apoptosis regulator BAX
Ig Type
IgG
克隆号
1J827
反应种属
Human,Mouse,Rat
验证活性
1. Western blot analysis of Bax on different lysates using anti-Bax antibody at 1/1,000 dilution. Positive control: Lane 1: Hela, Lane 2: MCF-7, Lane 3: Human liver.
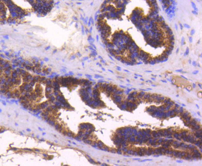
2. Immunohistochemical analysis of paraffin-embedded human tonsil tissue using anti-Bax antibody. Counter stained with hematoxylin.
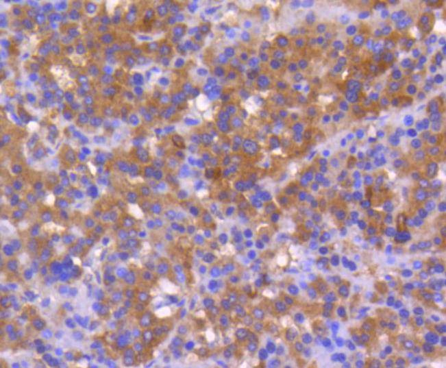
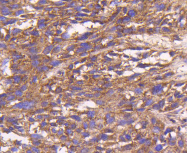
3. Immunohistochemical analysis of paraffin-embedded human liver cancer tissue using anti-Bax antibody. Counter stained with hematoxylin.
4. Immunohistochemical analysis of paraffin-embedded human breast carcinoma tissue using anti-Bax antibody. Counter stained with hematoxylin.
5. Immunohistochemical analysis of paraffin-embedded mouse prostate tissue using anti-Bax antibody. Counter stained with hematoxylin.
6. Immunohistochemical analysis of paraffin-embedded mouse kidney tissue using anti-Bax antibody. Counter stained with hematoxylin.
7. Immunohistochemical analysis of paraffin-embedded mouse skin tissue using anti-Bax antibody. Counter stained with hematoxylin.
8. Flow cytometric analysis of Hela cells with Bax antibody at 1/50 dilution (red) compared with an unlabelled control (cells without incubation with primary antibody; black). Alexa Fluor 488-conjugated goat anti rabbit IgG was used as the secondary antibody.
verifiedActivityverifiedActivityverifiedActivityverifiedActivityverifiedActivityverifiedActivityverifiedActivityverifiedActivity
应用FCMIHCIPWB
推荐剂量
WB: 1:1000-5000; IHC: 1:50-200; FCM: 1:50-100
抗体种类
Monoclonal
宿主来源Rabbit
构建方式Recombinant Antibody
纯化方式ProA affinity purified
性状Liquid
缓冲液1*TBS (pH7.4), 1%BSA, 40%Glycerol. Preservative: 0.05% Sodium Azide.
研究背景The Bcl-2 gene was isolated at the chromosomal breakpoint of t-bearing follicular B cell lymphomas. Bcl-2 blocks cell death following a variety of stimuli and confers a death-sparing effect to certain hematopoietic cell lines following growth factor withdrawal. Bcl-2 is localized to outer mitochondrial membranes and endoplasmic reticulum as well as nuclear membranes. A related protein, designated Bax (Bcl-associated X protein), has extensive amino acid homology with Bcl-2 and both homodimerizes and forms heterodimers with Bcl-2. Overexpression of Bax accelerates apoptotic death induced by cytokine deprivation in an IL-3 dependent cell line and Bax also counters the death repressor activity of Bcl-2.
偶联与修饰
偶联
Unconjugated
抗原信息
免疫原
Recombinant Protein
Uniprot ID
化学信息
分子量Theoretical: 21 kDa.
储存&溶解度
储存方式Store at -20°C or -80°C for 12 months. Avoid repeated freeze-thaw cycles.
运输方式Shipping with blue ice.

计算器

  • 稀释 计算器
  • 配液 计算器
Related Tags: buy Anti-BAX Antibody (1J827) | purchase Anti-BAX Antibody (1J827) | Anti-BAX Antibody (1J827) cost | order Anti-BAX Antibody (1J827) | Anti-BAX Antibody (1J827) molecular weight