购物车
  • TargetMol
    您的购物车当前为空

Anti-ATP7A Polyclonal Antibody

Synonyms: OHS, MNK, MK, Menkes syndrome, Menkes disease-associated protein, MC1, MC 1, Cu++transporting P type ATPase, Copper transporting ATPase 1, Copper pump 1, ATPase Cu++transporting alpha polypeptide(Menkes syndrome), ATPase Cu++transporting alpha polypeptide, ATPase Copper Transporting alpha Polypeptide, ATP7A, ATP 7A
货号 TMAB-00170Cas号 一键复制产品信息纯度:
Rating icon 还可以

Anti-ATP7A Polyclonal Antibody 是一种 Rabbit 抗体,靶向 ATP7A。Anti-ATP7A Polyclonal Antibody 可用于 FCM,IF,IHC-Fr,IHC-P。

Anti-ATP7A Polyclonal Antibody

一键复制产品信息
Rating icon 还可以
货号 TMAB-00170

别名 OHS, MNK, MK, Menkes syndrome, Menkes disease-associated protein, MC1, MC 1, Cu++transporting P type ATPase, Copper transporting ATPase 1, Copper pump 1, ATPase Cu++transporting alpha polypeptide(Menkes syndrome), ATPase Cu++transporting alpha polypeptide, ATPase Copper Transporting alpha Polypeptide, ATP7A, ATP 7A

Anti-ATP7A Polyclonal Antibody 是一种 Rabbit 抗体,靶向 ATP7A。Anti-ATP7A Polyclonal Antibody 可用于 FCM,IF,IHC-Fr,IHC-P。

Anti-ATP7A Polyclonal Antibody
规格价格库存数量
50 μL
¥ 1,170
5日内发货
100 μL
¥ 1,970
5日内发货
200 μL
¥ 2,785
5日内发货
库存状态实时更新,以官网显示为准,现货产品可直接加购物车下单
大包装 & 定制
加入购物车

TargetMol的所有产品仅用作科学研究或药证申报,不能被用于人体,我们不向个人提供产品和服务。请您遵守承诺用途,不得违反法律法规规定用于任何其他用途。

实验操作小课堂
常见问题解答
查看更多

资源下载:产品操作手册

产品介绍


生物活性
产品描述
Anti-ATP7A Polyclonal Antibody is a Rabbit antibody targeting ATP7A. Anti-ATP7A Polyclonal Antibody can be used in FCM,IF,IHC-Fr,IHC-P.
别名
OHS, MNK, MK, Menkes syndrome, Menkes disease-associated protein, MC1, MC 1, Cu++transporting P type ATPase, Copper transporting ATPase 1, Copper pump 1, ATPase Cu++transporting alpha polypeptide(Menkes syndrome), ATPase Cu++transporting alpha polypeptide, ATPase Copper Transporting alpha Polypeptide, ATP7A, ATP 7A
Ig Type
IgG
反应种属
Human,Mouse,Rat (predicted:Dog,Cow,Horse,Rabbit)
验证活性
1. Blank control: U-2OS.
Primary Antibody (green line): Rabbit Anti-ATP7A antibody (TMAB-00170)
Dilution: 2 μg/10^6 cells;
Isotype Control Antibody (orange line): Rabbit IgG.
Secondary Antibody: Goat anti-rabbit IgG-PE
Dilution: 1 μg/test.
Protocol
The cells were fixed with 4% PFA (10 min at room temperature) and then permeabilized with 0.1% PBST for 20 min at room temperature. The cells were then incubated in 5% BSA to block non-specific protein-protein interactions for 30 min at room temperature. Cells stained with Primary Antibody for 30 min at room temperature. The secondary antibody used for 40 min at room temperature.
2. Paraformaldehyde-fixed, paraffin embedded (Rat brain); Antigen retrieval by boiling in sodium citrate buffer (pH6.0) for 15 min; Block endogenous peroxidase by 3% hydrogen peroxide for 20 min; Blocking buffer (normal goat serum) at 37°C for 30 min; Antibody incubation with (ATP7A) Polyclonal Antibody, Unconjugated (TMAB-00170) at 1:400 overnight at 4°C, followed by operating according to SP Kit (Rabbit) instructionsand DAB staining.
3. Paraformaldehyde-fixed, paraffin embedded (Mouse brain); Antigen retrieval by boiling in sodium citrate buffer (pH6.0) for 15 min; Block endogenous peroxidase by 3% hydrogen peroxide for 20 min; Blocking buffer (normal goat serum) at 37°C for 30 min; Antibody incubation with (ATP7A) Polyclonal Antibody, Unconjugated (TMAB-00170) at 1:400 overnight at 4°C, followed by operating according to SP Kit (Rabbit) instructionsand DAB staining.
4. Paraformaldehyde-fixed, paraffin embedded (Human brain glioma); Antigen retrieval by boiling in sodium citrate buffer (pH6.0) for 15 min; Block endogenous peroxidase by 3% hydrogen peroxide for 20 min; Blocking buffer (normal goat serum) at 37°C for 30 min; Antibody incubation with (ATP7A) Polyclonal Antibody, Unconjugated (TMAB-00170) at 1:400 overnight at 4°C, followed by operating according to SP Kit (Rabbit) instructionsand DAB staining.
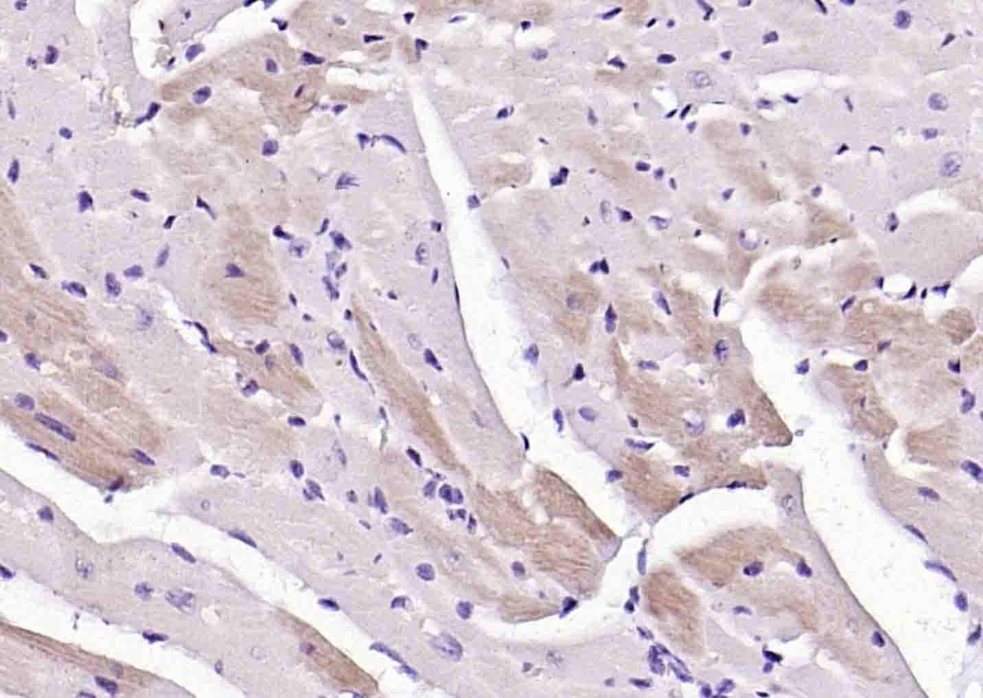
5. Paraformaldehyde-fixed, paraffin embedded (mouse heart); Antigen retrieval by boiling in sodium citrate buffer (pH6.0) for 15 min; Block endogenous peroxidase by 3% hydrogen peroxide for 20 min; Blocking buffer (normal goat serum) at 37°C for 30 min; Incubation with (P7A) Polyclonal Antibody, Unconjugated (TMAB-00170) at 1:200 overnight at 4°C, followed by operating according to SP Kit (Rabbit) instructionsand DAB staining.
verifiedActivityverifiedActivityverifiedActivityverifiedActivityverifiedActivity
应用FCMIFIHC-FrIHC-P
推荐剂量
IHC-P: 1:100-500; IHC-Fr: 1:100-500; IF: 1:100-500; FCM: 2ug/Test
抗体种类
Polyclonal
宿主来源Rabbit
亚细胞定位Golgi apparatus. trans-Golgi network membrane; Multi-pass membrane protein. Cell membrane; Multi-pass membrane protein. Note: Cycles constitutively between the trans-Golgi network (TGN) and the plasma membrane. Predominantly found in the TGN and relocalized to the plasma membrane in response to elevated copper levels. Isoform 3: Cytoplasm. cytosol. Isoform 5: Endoplasmic reticulum.
组织特异性Found in most tissues except liver. Isoform 3 is widely expressed including in liver cell lines. Isoform 1 is expressed in fibroblasts, choriocarcinoma, colon carcinoma and neuroblastoma cell lines. Isoform 2 is expressed in fibroblasts, colon carcinoma a
构建方式Polyclonal Antibody
纯化方式Protein A purified
性状Liquid
缓冲液0.01M TBS (pH7.4) with 1% BSA, 0.02% Proclin300 and 50% Glycerol.
浓度1 mg/mL
研究背景Copper-transporting ATPase 1 is an integral membrane protein cycling constitutively between the trans-golgi network and the plasma membrane. It may supply copper to copper-requiring proteins within the secretory pathway, when localized in the trans-golgi network. Under conditions of elevated extracellular copper, it relocalized to the plasma membrane where it functions in the efflux of copper from cells. Defects in ATP7A are the cause of Menkes syndrome; also known as kinky hair disease, an X-linked recessive disorder.
抗原信息
免疫原
KLH conjugated synthetic peptide: human ATP7A
抗原种属
Human
基因名称
ATP7A
基因ID
蛋白名称
Copper-transporting ATPase 1
Uniprot ID
研究领域
Vitamins / minerals,Neurodegenerative disease,ATPases,Vitamins / Minerals
功能
May supply copper to copper-requiring proteins within the secretory pathway, when localized in the trans-Golgi network. Under conditions of elevated extracellular copper, it relocalized to the plasma membrane where it functions in the efflux of copper from cells.
化学信息
分子量Theoretical: 163 kDa.
储存&溶解度
储存方式Store at -20°C or -80°C for 12 months. Avoid repeated freeze-thaw cycles.
运输方式Shipping with blue ice.

计算器

  • 稀释 计算器
  • 配液 计算器
Related Tags: buy Anti-ATP7A Polyclonal Antibody | purchase Anti-ATP7A Polyclonal Antibody | Anti-ATP7A Polyclonal Antibody cost | order Anti-ATP7A Polyclonal Antibody | Anti-ATP7A Polyclonal Antibody molecular weight