购物车
  • TargetMol
    您的购物车当前为空

Anti-ATP citrate lyase/ACLY Antibody (8R855)

Synonyms: CLATP, ATPCL, ATP citrate lyase, ACL
货号 TMAC-00337 一键复制产品信息
Rating icon 还可以
202603开学季活动

Anti-ATP citrate lyase/ACLY Antibody (8R855) 是一种 Rabbit 抗体,靶向 ATP citrate lyase/ACLY。Anti-ATP citrate lyase/ACLY Antibody (8R855) 可用于 FCM,ICC/IF,IHC,IP,WB。

Anti-ATP citrate lyase/ACLY Antibody (8R855)

一键复制产品信息
Rating icon 还可以
202603开学季活动
货号 TMAC-00337

别名 CLATP, ATPCL, ATP citrate lyase, ACL

Anti-ATP citrate lyase/ACLY Antibody (8R855) 是一种 Rabbit 抗体,靶向 ATP citrate lyase/ACLY。Anti-ATP citrate lyase/ACLY Antibody (8R855) 可用于 FCM,ICC/IF,IHC,IP,WB。

Anti-ATP citrate lyase/ACLY Antibody (8R855)
规格价格库存数量
50 μL
¥ 1,490
5日内发货
100 μL
¥ 2,490
5日内发货
库存状态实时更新,以官网显示为准,现货产品可直接加购物车下单
大包装 & 定制
加入购物车

TargetMol的所有产品仅用作科学研究或药证申报,不能被用于人体,我们不向个人提供产品和服务。请您遵守承诺用途,不得违反法律法规规定用于任何其他用途。

实验操作小课堂
常见问题解答
查看更多

资源下载:产品操作手册

产品介绍


生物活性
产品描述
Anti-ATP citrate lyase/ACLY Antibody (8R855) is a Rabbit antibody targeting ATP citrate lyase/ACLY. Anti-ATP citrate lyase/ACLY Antibody (8R855) can be used in FCM,ICC/IF,IHC,IP,WB.
别名
CLATP, ATPCL, ATP citrate lyase, ACL
Ig Type
IgG
克隆号
8R855
反应种属
Human,Mouse,Rat
验证活性
1. Western blot analysis of ATP citrate lyase on different lysates using anti-ATP citrate lyase antibody at 1/1,000 dilution. Positive control: Lane 1: Mouse kidney, Lane 2: Mouse colon, Lane 3: MCF-7.
2. Immunohistochemical analysis of paraffin-embedded human thyroid tissue using anti-ATP citrate lyase citrate lyase antibody. Counter stained with hematoxylin.
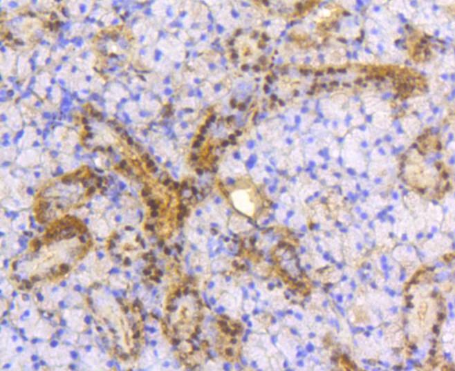
3. Immunohistochemical analysis of paraffin-embedded human breast carcinoma tissue using anti-ATP citrate lyase antibody. Counter stained with hematoxylin.
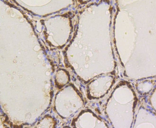
4. Immunohistochemical analysis of paraffin-embedded mouse thyroid tissue using anti-ATP citrate lyase antibody. Counter stained with hematoxylin.
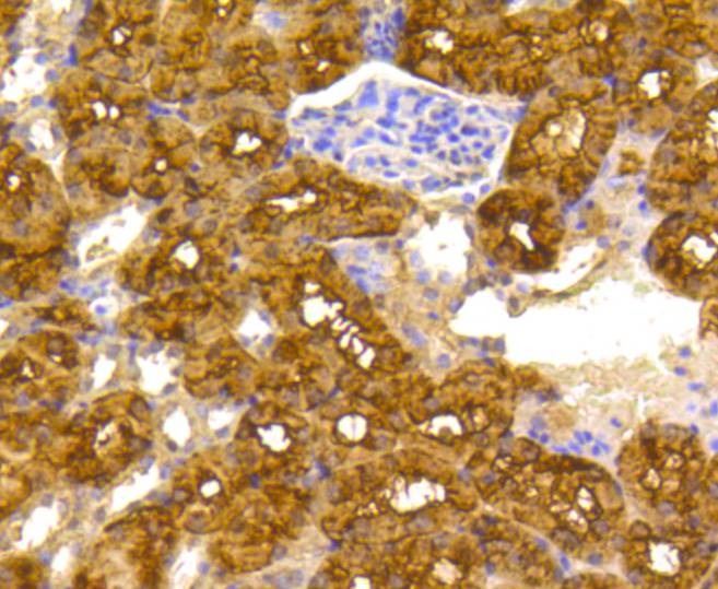
5. Immunohistochemical analysis of paraffin-embedded mouse kidney tissue using anti-ATP citrate lyase antibody. Counter stained with hematoxylin.
6. ICC staining ATP citrate lyase in Hela cells (green). The nuclear counter stain is DAPI (blue). Cells were fixed in paraformaldehyde, permeabilised with 0.25% Triton X100/PBS.
7. ICC staining ATP citrate lyase in A549 cells (green). The nuclear counter stain is DAPI (blue). Cells were fixed in paraformaldehyde, permeabilised with 0.25% Triton X100/PBS.
8. ICC staining ATP citrate lyase in CRC cells (green). The nuclear counter stain is DAPI (blue). Cells were fixed in paraformaldehyde, permeabilised with 0.25% Triton X100/PBS.
9. Flow cytometric analysis of Hela cells with ATP citrate lyase antibody at 1/50 dilution (blue) compared with an unlabelled control (cells without incubation with primary antibody; red). Alexa Fluor 488-conjugated goat anti rabbit IgG was used as the secondary antibody.
verifiedActivityverifiedActivityverifiedActivityverifiedActivityverifiedActivityverifiedActivityverifiedActivityverifiedActivityverifiedActivity
应用FCMICC/IFIHCIPWB
推荐剂量
WB: 1:1000-2000; IHC: 1:50-200; ICC/IF: 1:50-200; FCM: 1:50-100
抗体种类
Monoclonal
宿主来源Rabbit
构建方式Recombinant Antibody
纯化方式ProA affinity purified
性状Liquid
缓冲液1*TBS (pH7.4), 1%BSA, 40%Glycerol. Preservative: 0.05% Sodium Azide.
研究背景ATP-citrate synthase, also designated ATP-citrate lyase or citrate cleavage enzyme, is a cytoplasmic homotetramer belonging to the succinate/malate CoA ligase family. The gene coding for this protein maps against chromosome 17q12-q21. ATP-citrate synthase catalyses the formation of acetyl-CoA and oxaloacetate from citrate and CoA. This product, Acetyl-CoA, is necessary for both fatty acid and cholesterol biosynthesis. ATP citrate-lyase is important in the biosynthesis of acetylcholine in nervous tissue.
偶联与修饰
偶联
Unconjugated
抗原信息
免疫原
Recombinant Protein
Uniprot ID
化学信息
分子量Theoretical: 122 kDa.
储存&溶解度
储存方式Store at -20°C or -80°C for 12 months. Avoid repeated freeze-thaw cycles.
运输方式Shipping with blue ice.

计算器

  • 稀释 计算器
  • 配液 计算器
Related Tags: buy Anti-ATP citrate lyase/ACLY Antibody (8R855) | purchase Anti-ATP citrate lyase/ACLY Antibody (8R855) | Anti-ATP citrate lyase/ACLY Antibody (8R855) cost | order Anti-ATP citrate lyase/ACLY Antibody (8R855) | Anti-ATP citrate lyase/ACLY Antibody (8R855) molecular weight