购物车
  • TargetMol
    您的购物车当前为空

Anti-ATM Antibody (9B624)

Synonyms: telomere maintenance 1, Telomere fusion protein, TELO1, TEL1, Tefu, Serine/threonine-protein kinase ATM, Serine protein kinase ATM, OTTHUMP00000232981, MGC74674, homolog, DKFZp781A0353, ATM serine/threonine kinase, ATE, ATDC, ATD, ATC, Ataxia telangiectasia mutated homolog, Ataxia telangiectasia mutated, ATA, AT1, A-T mutated homolog, A-T mutated, AT mutated
货号 TMAC-00335 一键复制产品信息
Rating icon 还可以
202603开学季活动

Anti-ATM Antibody (9B624) 是一种 Rabbit 抗体,靶向 ATM。Anti-ATM Antibody (9B624) 可用于 ICC/IF,IHC,WB。

Anti-ATM Antibody (9B624)

一键复制产品信息
Rating icon 还可以
202603开学季活动
货号 TMAC-00335

别名 telomere maintenance 1, Telomere fusion protein, TELO1, TEL1, Tefu, Serine/threonine-protein kinase ATM, Serine protein kinase ATM, OTTHUMP00000232981, MGC74674, homolog, DKFZp781A0353, ATM serine/threonine kinase, ATE, ATDC, ATD, ATC, Ataxia telangiectasia mutated homolog, Ataxia telangiectasia mutated, ATA, AT1, A-T mutated homolog, A-T mutated, AT mutated

Anti-ATM Antibody (9B624) 是一种 Rabbit 抗体,靶向 ATM。Anti-ATM Antibody (9B624) 可用于 ICC/IF,IHC,WB。

Anti-ATM Antibody (9B624)
规格价格库存数量
50 μL
¥ 1,495
5日内发货
100 μL
¥ 2,485
5日内发货
库存状态实时更新,以官网显示为准,现货产品可直接加购物车下单
大包装 & 定制
加入购物车

TargetMol的所有产品仅用作科学研究或药证申报,不能被用于人体,我们不向个人提供产品和服务。请您遵守承诺用途,不得违反法律法规规定用于任何其他用途。

实验操作小课堂
常见问题解答
查看更多

资源下载:产品操作手册

产品介绍


生物活性
产品描述
Anti-ATM Antibody (9B624) is a Rabbit antibody targeting ATM. Anti-ATM Antibody (9B624) can be used in ICC/IF,IHC,WB.
别名
telomere maintenance 1, Telomere fusion protein, TELO1, TEL1, Tefu, Serine/threonine-protein kinase ATM, Serine protein kinase ATM, OTTHUMP00000232981, MGC74674, homolog, DKFZp781A0353, ATM serine/threonine kinase, ATE, ATDC, ATD, ATC, Ataxia telangiectasia mutated homolog, Ataxia telangiectasia mutated, ATA, AT1, A-T mutated homolog, A-T mutated, AT mutated
Ig Type
IgG
克隆号
9B624
反应种属
Human
验证活性
1. Western blot analysis of ATM on CRC cell lysates using anti-ATM antibody at 1/1,000 dilution.
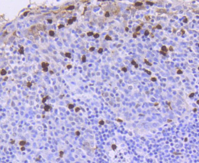
2. Immunohistochemical analysis of paraffin-embedded human tonsil tissue using anti-ATM antibody. Counter stained with hematoxylin.
3. Immunohistochemical analysis of paraffin-embedded human liver cancer tissue using anti-ATM antibody. Counter stained with hematoxylin.
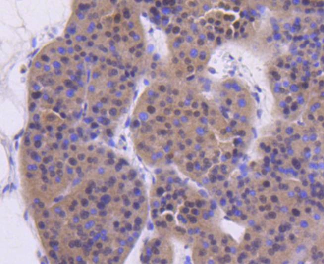
4. Immunohistochemical analysis of paraffin-embedded human pancreas tissue using anti-ATM antibody. Counter stained with hematoxylin.
5. ICC staining ATM in Hela cells (green). The nuclear counter stain is DAPI (blue). Cells were fixed in paraformaldehyde, permeabilised with 0.25% Triton X100/PBS.
6. ICC staining ATM in MCF-7 cells (green). The nuclear counter stain is DAPI (blue). Cells were fixed in paraformaldehyde, permeabilised with 0.25% Triton X100/PBS.
7. ICC staining ATM in CRC cells (green). The nuclear counter stain is DAPI (blue). Cells were fixed in paraformaldehyde, permeabilised with 0.25% Triton X100/PBS.
verifiedActivityverifiedActivityverifiedActivityverifiedActivityverifiedActivityverifiedActivityverifiedActivity
应用ICC/IFIHCWB
推荐剂量
WB: 1:1000-5000; IHC: 1:50-200; ICC/IF: 1:50-200
抗体种类
Monoclonal
宿主来源Rabbit
构建方式Recombinant Antibody
纯化方式ProA affinity purified
性状Liquid
缓冲液1*TBS (pH7.4), 1%BSA, 40%Glycerol. Preservative: 0.05% Sodium Azide.
研究背景The phosphatidylinositol kinase (PIK) family members fall into two distinct subgroups. The first subgroup contains proteins such as the PI 3- and PI 4-kinases and the second group comprises the PIK-related kinases. The PIK-related kinases include Atm, DNA-PKCS and FRAP. These proteins have in common a region of homology at their carboxy-termini that is not present in the PI 3- and PI 4-kinases. The Atm gene is mutated in the autosomal recessive disorder ataxia telangiectasia (AT) that is characterized by cerebellar degeneration (ataxia) and the appearance of dilated blood vessels (telangiec-tases) in the conjunctivae of the eyes. AT cells are hypersensitive to ionizing radiation, impaired in mediating the inhibition of DNA synthesis and display delays in p53 induction.
偶联与修饰
偶联
Unconjugated
抗原信息
免疫原
Recombinant Protein
Uniprot ID
化学信息
分子量Theoretical: 350 kDa.
储存&溶解度
储存方式Store at -20°C or -80°C for 12 months. Avoid repeated freeze-thaw cycles.
运输方式Shipping with blue ice.

计算器

  • 稀释 计算器
  • 配液 计算器
Related Tags: buy Anti-ATM Antibody (9B624) | purchase Anti-ATM Antibody (9B624) | Anti-ATM Antibody (9B624) cost | order Anti-ATM Antibody (9B624) | Anti-ATM Antibody (9B624) molecular weight