购物车
  • TargetMol
    您的购物车当前为空

Anti-ATG5 Polyclonal Antibody

Synonyms: Autophagy protein 5, ATG5, ASP, Apoptosis-specific protein, APG5-like, APG5L
货号 TMAB-00163 一键复制产品信息
Rating icon 还可以

Anti-ATG5 Polyclonal Antibody 是一种 Rabbit 抗体,靶向 ATG5。Anti-ATG5 Polyclonal Antibody 可用于 FCM,IF,IHC-Fr,IHC-P,WB。

Anti-ATG5 Polyclonal Antibody

一键复制产品信息
Rating icon 还可以
货号 TMAB-00163

别名 Autophagy protein 5, ATG5, ASP, Apoptosis-specific protein, APG5-like, APG5L

Anti-ATG5 Polyclonal Antibody 是一种 Rabbit 抗体,靶向 ATG5。Anti-ATG5 Polyclonal Antibody 可用于 FCM,IF,IHC-Fr,IHC-P,WB。

Anti-ATG5 Polyclonal Antibody
规格价格库存数量
50 μL
¥ 1,175
5日内发货
100 μL
¥ 1,965
5日内发货
200 μL
¥ 2,790
5日内发货
库存状态实时更新,以官网显示为准,现货产品可直接加购物车下单
大包装 & 定制
加入购物车
TargetMol的所有产品仅用作科学研究或药证申报,不能被用于人体,我们不向个人提供产品和服务。请您遵守承诺用途,不得违反法律法规规定用于任何其他用途。
实验操作小课堂
常见问题解答
查看更多

资源下载:产品操作手册

产品介绍


生物活性
产品描述
Anti-ATG5 Polyclonal Antibody is a Rabbit antibody targeting ATG5. Anti-ATG5 Polyclonal Antibody can be used in FCM,IF,IHC-Fr,IHC-P,WB.
别名Autophagy protein 5, ATG5, ASP, Apoptosis-specific protein, APG5-like, APG5L
Ig Type
IgG
反应种属
Human,Mouse,Rat (predicted:Chicken,Dog,Pig,Cow,Horse,Rabbit)
验证活性
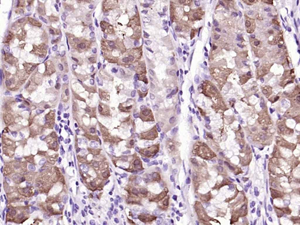
1. Paraformaldehyde-fixed, paraffin embedded (human gastric); Antigen retrieval by boiling in sodium citrate buffer (pH6.0) for 15 min; Block endogenous peroxidase by 3% hydrogen peroxide for 20 min; Blocking buffer (normal goat serum) at 37°C for 30 min; Antibody incubation with (ATG5) Polyclonal Antibody, Unconjugated (TMAB-00163) at 1:200 overnight at 4°C, followed by operating according to SP Kit (Rabbit) instructionsand DAB staining.
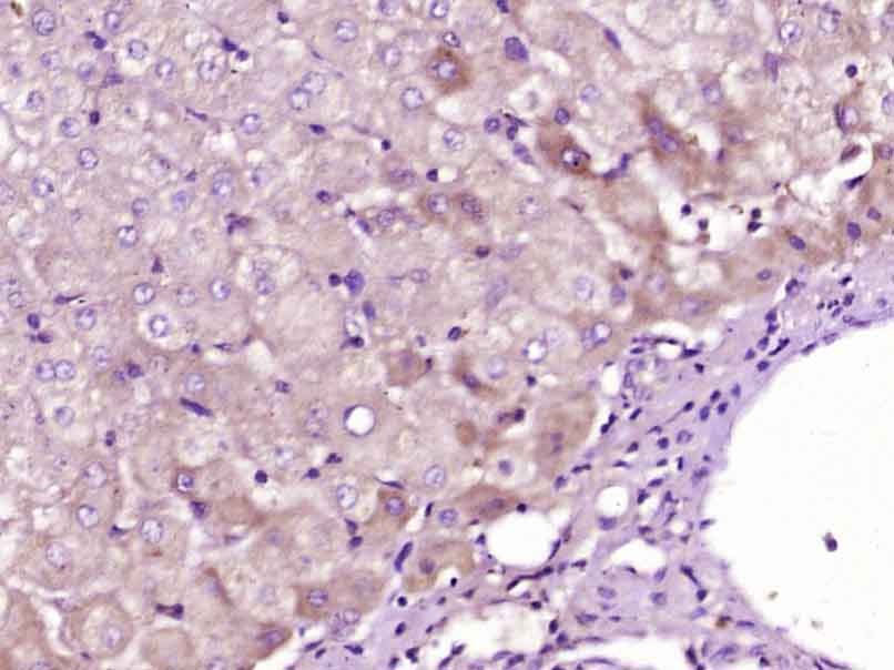
2. Paraformaldehyde-fixed, paraffin embedded (Human liver carcinoma); Antigen retrieval by boiling in sodium citrate buffer (pH6.0) for 15 min; Block endogenous peroxidase by 3% hydrogen peroxide for 20 min; Blocking buffer (normal goat serum) at 37°C for 30 min; Antibody incubation with (ATG5) Polyclonal Antibody, Unconjugated (TMAB-00163) at 1:400 overnight at 4°C, followed by operating according to SP Kit (Rabbit) instructionsand DAB staining.
3. Paraformaldehyde-fixed, paraffin embedded (Mouse brain); Antigen retrieval by boiling in sodium citrate buffer (pH6.0) for 15 min; Block endogenous peroxidase by 3% hydrogen peroxide for 20 min; Blocking buffer (normal goat serum) at 37°C for 30 min; Antibody incubation with (ATG5) Polyclonal Antibody, Unconjugated (TMAB-00163) at 1:400 overnight at 4°C, followed by operating according to SP Kit (Rabbit) instructionsand DAB staining.
4. Blank control: A431. Primary Antibody (green line): Rabbit Anti-ATG5 antibody (TMAB-00163)
Dilution: 1 μg/10^6 cells;
Isotype Control Antibody (orange line): Rabbit IgG.
Secondary Antibody: Goat anti-rabbit IgG-AF647
Dilution: 1 μg/test.
Protocol
The cells were fixed with 4% PFA (10 min at room temperature) and then permeabilized with 0.1% PBST for 20 min at room temperature. The cells were then incubated in 5% BSA to block non-specific protein-protein interactions for 30 min at room temperature. Cells stained with Primary Antibody for 30 min at room temperature. The secondary antibody used for 40 min at room temperature.
5. Paraformaldehyde-fixed, paraffin embedded (Rat kidney); Antigen retrieval by boiling in sodium citrate buffer (pH6.0) for 15 min; Blocking buffer (normal goat serum) at 37°C for 30 min; Antibody incubation with (ATG5/APG5L) Polyclonal Antibody, Unconjugated (TMAB-00163) at 1:200 overnight at 4°C, followed by a conjugated Goat Anti-rabbit IgG antibody for 90 minutes, and DAPI for nucleus staining.
6. Sample:
Lane 1: Mouse Cerebrum tissue lysates
Lane 2: Mouse Kidney tissue lysates
Lane 3: Rat Cerebrum tissue lysates
Primary: Anti-ATG5/APG5 (TMAB-00163) at 1/1000 dilution
Secondary: IRDye800CW Goat Anti-Rabbit IgG at 1/20000 dilution
Predicted band size: 32 kDa
Observed band size: 47 kDa
verifiedActivityverifiedActivityverifiedActivityverifiedActivityverifiedActivityverifiedActivity
应用FCMIFIHC-FrIHC-PWB
推荐剂量
WB: 1:500-2000; IHC-P: 1:100-500; IHC-Fr: 1:100-500; IF: 1:100-500; FCM: 1ug/Test
抗体种类
Polyclonal
宿主来源Rabbit
亚细胞定位Cytoplasm. Note=Colocalizes with nonmuscle actin.
组织特异性Ubiquitous. The mRNA is present at similar levels in viable and apoptotic cells, whereas the protein is dramatically highly expressed in apoptotic cells.
构建方式Polyclonal Antibody
纯化方式Protein A purified
性状Liquid
缓冲液0.01M TBS (pH7.4) with 1% BSA, 0.02% Proclin300 and 50% Glycerol.
浓度1 mg/mL
研究背景In yeast, autophagy is an essential process for survival during nutrient starvation and cell differentiation. The process of autophagy is characterized as a non-selective degradation of cytoplasmic proteins into membrane stuctures called autophagosomes, and it is dependent on several proteins, including the autophagy proteins APG5 and APG7. Yeast Apg7 and the human homolog, APG7, share similarities with the ubiquitin-activating enzyme E1 in Saccharomyces cerevisiae and are likewise responsible for enzymatically activating the autophagy conjugation system. Apg5 and the human homolog, APG5 (also designated apoptosis-specific protein or APS), function as substrates for the autophagy protein Apg12. These proteins are covalently bonded together to form Apg12/APG5 conjugates, which are required for the progression of autophagy.
抗原信息
免疫原
KLH conjugated synthetic peptide: human APG5L
抗原种属
Human
基因名称
ATG5
基因ID
蛋白名称
Autophagy protein 5
Uniprot ID
研究领域
Metabolism,Phagocytosis,APG gene products,Signal Transduction,Autophagy,APG gene products,Associated Proteins,Phagocytosis,Ub-like Proteins,Apoptosis,Autophagy and mitophagy,APG gene products
功能
Required for autophagy. Conjugates to ATG12 and associates with isolation membrane to form cup-shaped isolation membrane and autophagosome. The conjugate detaches from the membrane immediately before or after autophagosome formation is completed (By similarity).
May play an important role in the apoptotic process, possibly within the modified cytoskeleton. Its expression is a relatively late event in the apoptotic process, occurring downstream of caspase activity.
化学信息
分子量Theoretical: 32 kDa. Actual: 47 kDa.
储存&溶解度
储存方式Store at -20°C or -80°C for 12 months. Avoid repeated freeze-thaw cycles.
运输方式Shipping with blue ice.

计算器

  • 稀释 计算器
  • 配液 计算器

关键词

Related Tags: buy Anti-ATG5 Polyclonal Antibody | purchase Anti-ATG5 Polyclonal Antibody | Anti-ATG5 Polyclonal Antibody cost | order Anti-ATG5 Polyclonal Antibody | Anti-ATG5 Polyclonal Antibody molecular weight