购物车
  • 全部删除
  • TargetMol
    您的购物车当前为空

Anti-ATF-4 Antibody (7M603)

Rating icon 还可以
产品编号 TMAC-00314

Anti-ATF-4 Antibody (7M603) 是一种 Rabbit 抗体,靶向 ATF-4。Anti-ATF-4 Antibody (7M603) 可用于 FCM,ICC/IF,IHC,IP,WB。

Anti-ATF-4 Antibody (7M603)

Anti-ATF-4 Antibody (7M603)

一键复制产品信息
Rating icon 还可以
产品编号 TMAC-00314

Anti-ATF-4 Antibody (7M603) 是一种 Rabbit 抗体,靶向 ATF-4。Anti-ATF-4 Antibody (7M603) 可用于 FCM,ICC/IF,IHC,IP,WB。

规格价格库存数量
50 μL
¥ 1,495
5日内发货
100 μL
¥ 2,495
5日内发货
大包装 & 定制
加入购物车
TargetMol 的所有产品仅用作科学研究或药证申报,不能被用于人体,我们不向个人提供产品和服务。请您遵守承诺用途,不得违反法律法规规定用于任何其他用途。
实验操作小课堂
常见问题解答
查看更多
联系我们获取更多批次信息
资源下载

产品介绍

生物活性
产品描述
Anti-ATF-4 Antibody (7M603) is a Rabbit antibody targeting ATF-4. Anti-ATF-4 Antibody (7M603) can be used in FCM,ICC/IF,IHC,IP,WB.
Ig Type
IgG
克隆号
7M603
交叉反应
Human,Mouse,Rat
验证活性
1. Western blot analysis of ATF4 on different lysates using anti-ATF4 antibody at 1/1,000 dilution. Positive control: Lane 1: Hela, Lane 2: PC-12.
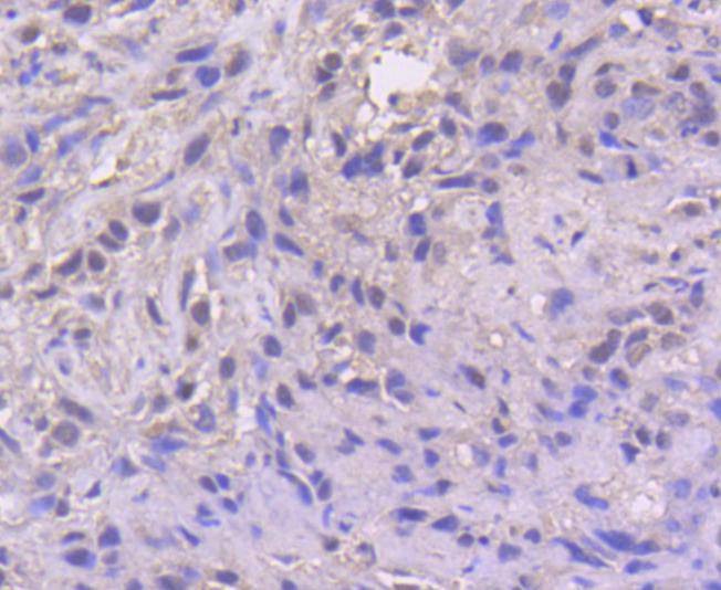
2. Immunohistochemical analysis of paraffin-embedded human breast carcinoma tissue using anti-ATF4 antibody. Counter stained with hematoxylin.
3. ICC staining ATF4 in N2A cells (green). The nuclear counter stain is DAPI (blue). Cells were fixed in paraformaldehyde, permeabilised with 0.25% Triton X100/PBS.
4. ICC staining ATF4 in MCF-7 cells (green). The nuclear counter stain is DAPI (blue). Cells were fixed in paraformaldehyde, permeabilised with 0.25% Triton X100/PBS.
5. ICC staining ATF4 in PC-12 cells (green). The nuclear counter stain is DAPI (blue). Cells were fixed in paraformaldehyde, permeabilised with 0.25% Triton X100/PBS.
6. Flow cytometric analysis of Hela cells with ATF4 antibody at 1/50 dilution (red) compared with an unlabelled control (cells without incubation with primary antibody; black). Alexa Fluor 488-conjugated goat anti rabbit IgG was used as the secondary antibody.
verifiedActivityverifiedActivityverifiedActivityverifiedActivityverifiedActivityverifiedActivity
应用FCMICC/IFIHCIPWB
推荐剂量
WB: 1:1000; IHC: 1:50-200; ICC/IF: 1:50-200; FCM: 1:50-100
抗体种类
Monoclonal
宿主来源Rabbit
构建方式Recombinant Antibody
纯化方式ProA affinity purified
性状Liquid
缓冲液1*TBS (pH7.4), 1%BSA, 40%Glycerol. Preservative: 0.05% Sodium Azide.
研究背景Eukaryotic gene transcription is regulated by sequence-specific transcription factors which bind modular cis-acting promoter and enhancer elements. The cAMP response element (CRE), one of the best studied of such elements, consists of the palindromic octanucleotide TGACGTCA. Several CRE binding proteins have been identified within the ATF/CREB family, the best characterized of which include CREB-1, CREB-2 (also designated ATF-4), ATF-1, ATF-2 and ATF-3. These proteins share highly related COOH terminal leucine zipper dimerization and basic DNA binding domains but are highly divergent in their amino terminal domains. Although each of the ATF/CREB proteins appear capable of binding CRE in its homodimeric form, certain of these also bind as heterodimers, both within the ATF/CREB family and even with members of the AP-1 transcription factor family.
偶联与修饰
偶联
Unconjugated
抗原信息
免疫原
Recombinant Protein
Uniprot ID
化学信息
分子量Theoretical: 55 kDa.
存储&运输
储存方式Store at -20°C or -80°C for 12 months. Avoid repeated freeze-thaw cycles.
运输方式Shipping with blue ice.

计算器

  • 稀释 计算器

关键词

评论列表

4个月前
5.0
Rating icon 很棒

评论内容

Related Tags: buy Anti-ATF-4 Antibody (7M603) | purchase Anti-ATF-4 Antibody (7M603) | Anti-ATF-4 Antibody (7M603) cost | order Anti-ATF-4 Antibody (7M603) | Anti-ATF-4 Antibody (7M603) molecular weight