购物车
  • TargetMol
    您的购物车当前为空

Anti-Arp3/ACTR3 Antibody (1Q436)

Synonyms: ARP3 actin-related protein 3 homolog (yeast), ARP3
货号 TMAC-00273 一键复制产品信息
Rating icon 还可以
202603开学季活动

Anti-Arp3/ACTR3 Antibody (1Q436) 是一种 Rabbit 抗体,靶向 Arp3/ACTR3。Anti-Arp3/ACTR3 Antibody (1Q436) 可用于 FCM,ICC,IF,IHC,WB。

Anti-Arp3/ACTR3 Antibody (1Q436)

一键复制产品信息
Rating icon 还可以
202603开学季活动
货号 TMAC-00273

别名 ARP3 actin-related protein 3 homolog (yeast), ARP3

Anti-Arp3/ACTR3 Antibody (1Q436) 是一种 Rabbit 抗体,靶向 Arp3/ACTR3。Anti-Arp3/ACTR3 Antibody (1Q436) 可用于 FCM,ICC,IF,IHC,WB。

Anti-Arp3/ACTR3 Antibody (1Q436)
规格价格库存数量
50 μL
¥ 1,490
5日内发货
100 μL
¥ 2,485
5日内发货
库存状态实时更新,以官网显示为准,现货产品可直接加购物车下单
大包装 & 定制
加入购物车

TargetMol的所有产品仅用作科学研究或药证申报,不能被用于人体,我们不向个人提供产品和服务。请您遵守承诺用途,不得违反法律法规规定用于任何其他用途。

实验操作小课堂
常见问题解答
查看更多

资源下载:产品操作手册

产品介绍


生物活性
产品描述
Anti-Arp3/ACTR3 Antibody (1Q436) is a Rabbit antibody targeting Arp3/ACTR3. Anti-Arp3/ACTR3 Antibody (1Q436) can be used in FCM,ICC,IF,IHC,WB.
别名
ARP3 actin-related protein 3 homolog (yeast), ARP3
Ig Type
IgG
克隆号
1Q436
反应种属
Human,Mouse,Rat
验证活性
1. Western blot analysis of Arp3 on different lysates using anti-Arp3 antibody at 1/500 dilution.Positive control:Lane 1: A431, Lane 2: Mouse placenta, Lane 3: Mouse thymus.
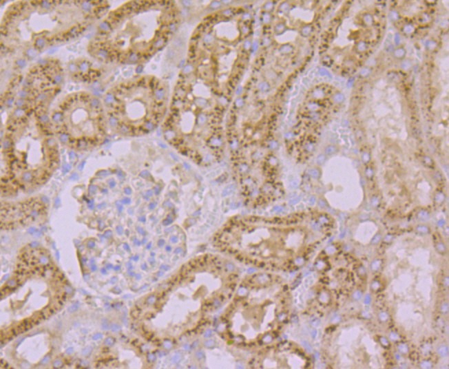
2. Immunohistochemical analysis of paraffin-embedded rat kidney tissue using anti-Arp3 antibody. Counter stained with hematoxylin.
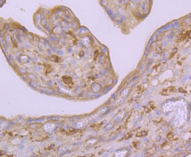
3. Immunohistochemical analysis of paraffin-embedded human placenta tissue using anti-Arp3 antibody. Counter stained with hematoxylin.
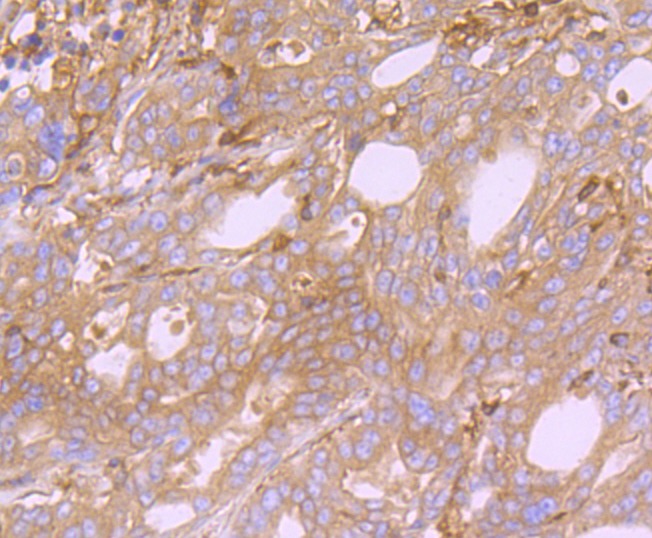
4. Immunohistochemical analysis of paraffin-embedded human stomach cancer tissue using anti-Arp3 antibody. Counter stained with hematoxylin.
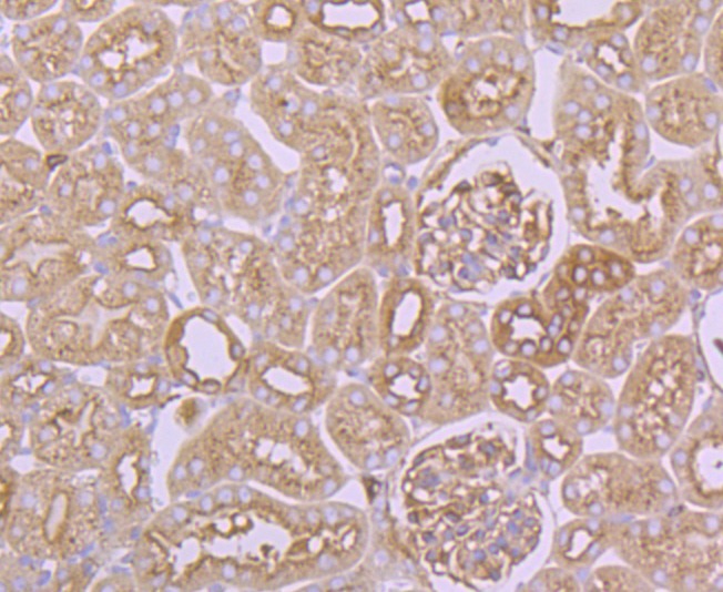
5. Immunohistochemical analysis of paraffin-embedded mouse kidney tissue using anti-Arp3 antibody. Counter stained with hematoxylin.
6. ICC staining Arp3 in HUVEC cells (green). The nuclear counter stain is DAPI (blue). Cells were fixed in paraformaldehyde, permeabilised with 0.25% Triton X100/PBS.
7. ICC staining Arp3 in LOVO cells (green). The nuclear counter stain is DAPI (blue). Cells were fixed in paraformaldehyde, permeabilised with 0.25% Triton X100/PBS.
8. ICC staining Arp3 in SiHa cells (green). The nuclear counter stain is DAPI (blue). Cells were fixed in paraformaldehyde, permeabilised with 0.25% Triton X100/PBS.
9. Flow cytometric analysis of HL-60 cells with Arp3 antibody at 1/100 dilution (purple) compared with an unlabelled control (cells without incubation with primary antibody; yellow).Alexa Fluor 488-conjugated goat anti-rabbit IgG was used as the secondary antibody.
verifiedActivityverifiedActivityverifiedActivityverifiedActivityverifiedActivityverifiedActivityverifiedActivityverifiedActivityverifiedActivity
应用FCMICCIFIHCWB
推荐剂量
WB: 1:500-1000; IHC: 1:50-200; ICC: 1:50-200; FCM: 1:50-100
抗体种类
Monoclonal
宿主来源Rabbit
构建方式Recombinant Antibody
纯化方式ProA affinity purified
性状Liquid
缓冲液1*TBS (pH7.4), 1%BSA, 40%Glycerol. Preservative: 0.05% Sodium Azide.
研究背景Actin polymerization is required for a variety of cell functions, including chemotaxis, cell migration, cell adhesion, and platelet activation. Cells trigger actin polymerization through either the de novo nucleation of filaments from monomeric actin, the severing of existing filaments to create uncapped barbed ends, or the uncapping existing barbed ends. The nucleation of actin is a rate-limiting and unfavorable reaction in actin polymerization and therefore requires the involvement of the Arp2/3 complex, which helps create new filaments and promotes the end-to-side cross-linking of actin filaments into the branching meshwork. The Arp2/3 complex consists of the actin-related proteins Arp2 and Arp3, and various other accessory proteins. The Arp2/3 complex promotes actin nucleation by binding the pointed end of actin filaments, or by associating with the side of an existing filament, and nucleates growth in the barbed direction. In addition, the Arp2/3 complex also mediates actin cytoskeletal outgrowths that are regulated by the Rho family of small GTPases. In response to GTP-binding Cdc42, the Arp2/3 complex binds the Cdc42 substrates, namely the WASP proteins, and initiates the formation of lamellipodia and filopodia.
偶联与修饰
偶联
Unconjugated
抗原信息
免疫原
Recombinant Protein: C-terminal human Arp3
抗原种属
Human
Uniprot ID
化学信息
分子量Theoretical: 47 kDa.
储存&溶解度
储存方式Store at -20°C or -80°C for 12 months. Avoid repeated freeze-thaw cycles.
运输方式Shipping with blue ice.

计算器

  • 稀释 计算器
  • 配液 计算器
Related Tags: buy Anti-Arp3/ACTR3 Antibody (1Q436) | purchase Anti-Arp3/ACTR3 Antibody (1Q436) | Anti-Arp3/ACTR3 Antibody (1Q436) cost | order Anti-Arp3/ACTR3 Antibody (1Q436) | Anti-Arp3/ACTR3 Antibody (1Q436) molecular weight