购物车
  • TargetMol
    您的购物车当前为空

Anti-ARF1 Antibody (3P306)

Synonyms: ARF1, ADP ribosylation factor 1
货号 TMAC-00262 一键复制产品信息
Rating icon 还可以

Anti-ARF1 Antibody (3P306) 是一种 Rabbit 抗体,靶向 ARF1。Anti-ARF1 Antibody (3P306) 可用于 FCM,IHC,WB。

Anti-ARF1 Antibody (3P306)

一键复制产品信息
Rating icon 还可以
货号 TMAC-00262

别名 ARF1, ADP ribosylation factor 1

Anti-ARF1 Antibody (3P306) 是一种 Rabbit 抗体,靶向 ARF1。Anti-ARF1 Antibody (3P306) 可用于 FCM,IHC,WB。

Anti-ARF1 Antibody (3P306)
规格价格库存数量
50 μL
¥ 1,490
5日内发货
100 μL
¥ 2,485
5日内发货
库存状态实时更新,以官网显示为准,现货产品可直接加购物车下单
大包装 & 定制
加入购物车
TargetMol的所有产品仅用作科学研究或药证申报,不能被用于人体,我们不向个人提供产品和服务。请您遵守承诺用途,不得违反法律法规规定用于任何其他用途。
实验操作小课堂
常见问题解答
查看更多

资源下载:产品操作手册

产品介绍


生物活性
产品描述
Anti-ARF1 Antibody (3P306) is a Rabbit antibody targeting ARF1. Anti-ARF1 Antibody (3P306) can be used in FCM,IHC,WB.
别名ARF1, ADP ribosylation factor 1
Ig Type
IgG
克隆号
3P306
反应种属
Human,Mouse,Rat
验证活性
1. Western blot analysis of ARF1 on NIH/3T3 cells lysates using anti-ARF1 antibody at 1/1,000 dilution.
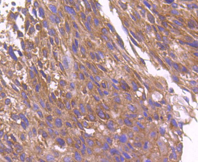
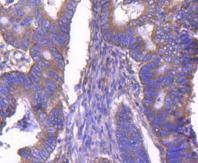
2. Immunohistochemical analysis of paraffin-embedded human colon cancer tissue using anti-ARF1 antibody. Counter stained with hematoxylin.
3. Immunohistochemical analysis of paraffin-embedded human breast carcinoma tissue using anti-ARF1 antibody. Counter stained with hematoxylin.
4. Flow cytometric analysis of Hela cells with ARF1 antibody at 1/50 dilution (red) compared with an unlabelled control (cells without incubation with primary antibody; black). Alexa Fluor 488-conjugated goat anti rabbit IgG was used as the secondary antibody.
verifiedActivityverifiedActivityverifiedActivityverifiedActivity
应用FCMIHCWB
推荐剂量
WB: 1:1000-2000; IHC: 1:50-200; FCM: 1:50-100
抗体种类
Monoclonal
宿主来源Rabbit
构建方式Recombinant Antibody
纯化方式ProA affinity purified
性状Liquid
缓冲液1*TBS (pH7.4), 1%BSA, 40%Glycerol. Preservative: 0.05% Sodium Azide.
研究背景ADP-ribosylation factors (ARFs), are small guanine nucleotide-binding proteins that enhance the enzymatic activities of cholera toxin, and constitute one family of the RAS superfamily. ARFs are essential and ubiquitous in eukaryotes, as they are involved in vesicular transport and functioning via phospholipase D activation. ARF proteins play a role in membrane traffic and organelle integrity and are intimately tied to their reversible association with membranes and distinct interactions with membrane phospholipids. ARF1 is regulated by the binding and hydrolysis of GTP. Coatomer, or COPI, is a heptameric protein recruited to membranes by ARF1. Research demonstrates that guanine nucleotide exchange-activated ARF1, when located at the Golgi membrane, recruits and binds cytoplasmic COPI to the membranes.
偶联与修饰
偶联
Unconjugated
抗原信息
免疫原
Recombinant Protein
Uniprot ID
化学信息
分子量Theoretical: 21 kDa.
储存&溶解度
储存方式Store at -20°C or -80°C for 12 months. Avoid repeated freeze-thaw cycles.
运输方式Shipping with blue ice.

计算器

  • 稀释 计算器
  • 配液 计算器

关键词

Related Tags: buy Anti-ARF1 Antibody (3P306) | purchase Anti-ARF1 Antibody (3P306) | Anti-ARF1 Antibody (3P306) cost | order Anti-ARF1 Antibody (3P306) | Anti-ARF1 Antibody (3P306) molecular weight