购物车
  • TargetMol
    您的购物车当前为空

Anti-Apolipoprotein E/APOE4 Polyclonal Antibody

Synonyms: Apolipoprotein E, apolipo E, APOE4, Apo-E, APOE
货号 TMAB-00134 一键复制产品信息
Rating icon 还可以

Anti-Apolipoprotein E/APOE4 Polyclonal Antibody 是一种 Rabbit 抗体,靶向 Apolipoprotein E/APOE4。Anti-Apolipoprotein E/APOE4 Polyclonal Antibody 可用于 IF, IHC-Fr, IHC-P, WB。

Anti-Apolipoprotein E/APOE4 Polyclonal Antibody

一键复制产品信息
Rating icon 还可以
货号 TMAB-00134

别名 Apolipoprotein E, apolipo E, APOE4, Apo-E, APOE

Anti-Apolipoprotein E/APOE4 Polyclonal Antibody 是一种 Rabbit 抗体,靶向 Apolipoprotein E/APOE4。Anti-Apolipoprotein E/APOE4 Polyclonal Antibody 可用于 IF, IHC-Fr, IHC-P, WB。

Anti-Apolipoprotein E/APOE4 Polyclonal Antibody
规格价格库存数量
50 μL
¥ 1,175
5日内发货
100 μL
¥ 1,965
5日内发货
200 μL
¥ 2,790
5日内发货
库存状态实时更新,以官网显示为准,现货产品可直接加购物车下单
大包装 & 定制
加入购物车
TargetMol的所有产品仅用作科学研究或药证申报,不能被用于人体,我们不向个人提供产品和服务。请您遵守承诺用途,不得违反法律法规规定用于任何其他用途。
实验操作小课堂
常见问题解答
查看更多

资源下载:产品操作手册

产品介绍


生物活性
产品描述
Anti-Apolipoprotein E/APOE4 Polyclonal Antibody is a Rabbit antibody targeting Apolipoprotein E/APOE4. Anti-Apolipoprotein E/APOE4 Polyclonal Antibody can be used in IF, IHC-Fr, IHC-P, WB.
别名Apolipoprotein E, apolipo E, APOE4, Apo-E, APOE
Ig Type
IgG
反应种属
Mouse (predicted:Human,Rat)
验证活性
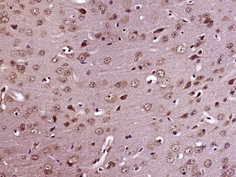
1. Paraformaldehyde-fixed, paraffin embedded (Mouse brain); Antigen retrieval by boiling in sodium citrate buffer (pH6.0) for 15 min; Block endogenous peroxidase by 3% hydrogen peroxide for 20 min; Blocking buffer (normal goat serum) at 37°C for 30 min; Antibody incubation with (Apolipoprotein E4) Polyclonal Antibody, Unconjugated (TMAB-00134) at 1:400 overnight at 4°C, followed by operating according to SP Kit (Rabbit) instructionsand DAB staining.
2. Sample:
Cerebrum (Mouse) Lysate at 40 μg
Primary: Anti-Apolipoprotein E4 (TMAB-00134) at 1/1000 dilution
Secondary: IRDye800CW Goat Anti-Rabbit IgG at 1/20000 dilution
Predicted band size: 34 kDa
Observed band size: 32 kDa
verifiedActivityverifiedActivity
应用IFIHC-FrIHC-PWB
推荐剂量
WB: 1:500-2000; IHC-P: 1:100-500; IHC-Fr: 1:100-500; IF: 1:100-500
抗体种类
Polyclonal
宿主来源Rabbit
亚细胞定位Secreted.
组织特异性Occurs in all lipoprotein fractions in plasma. It constitutes 10-20% of very low density lipoproteins (VLDL) and 1-2% of high density lipoproteins (HDL). APOE is produced in most organs. Significant quantities are produced in liver, brain, spleen, lung, a
构建方式Polyclonal Antibody
纯化方式Protein A purified
性状Liquid
缓冲液0.01M TBS (pH7.4) with 1% BSA, 0.02% Proclin300 and 50% Glycerol.
浓度1 mg/mL
研究背景Apolipoprotein E, a main apoprotein of the chylomicron, binds to a specific receptor on liver cells and peripheral cells and is essential for the normal catabolism of triglyceride-rich lipoprotein constituents. ApoE exists in three major isoforms; E2, E3, and E4, which differ from one another by a single amino-acid substitution. Compared with E3 and E4, E2 exhibits the lowest receptor binding affinity. Defects in ApoE are a cause of hyperlipoproteinemia type III due to increased plasma cholesterol and triglycerides levels which are the consequence of impaired clearance of chylomicron and VLDL remnants.
抗原信息
免疫原
KLH conjugated synthetic peptide: human APOE4
抗原种属
Human
基因名称
APOE
基因ID
蛋白名称
Apolipoprotein E
Uniprot ID
研究领域
Metabolism of lipids and lipoproteins,Lipid transport,Cholesterol Metabolism,Lipoproteins/Apolipoproteins,Endoderm,Cholesterol Metabolism,Lipid metabolism,Heart disease,Neurodegenerative disease,Alzheimer's disease,Neurodegenerative disease,Lipid metabolism,Endoderm
功能
Mediates the binding, internalization, and catabolism of lipoprotein particles. It can serve as a ligand for the LDL (apo B/E) receptor and for the specific apo-E receptor (chylomicron remnant) of hepatic tissues.
化学信息
分子量Theoretical: 34 kDa. Actual: 32 kDa.
储存&溶解度
储存方式Store at -20°C or -80°C for 12 months. Avoid repeated freeze-thaw cycles.
运输方式Shipping with blue ice.

计算器

  • 稀释 计算器
  • 配液 计算器

关键词

Related Tags: buy Anti-Apolipoprotein E/APOE4 Polyclonal Antibody | purchase Anti-Apolipoprotein E/APOE4 Polyclonal Antibody | Anti-Apolipoprotein E/APOE4 Polyclonal Antibody cost | order Anti-Apolipoprotein E/APOE4 Polyclonal Antibody | Anti-Apolipoprotein E/APOE4 Polyclonal Antibody molecular weight