购物车
  • TargetMol
    您的购物车当前为空

Anti-Apolipoprotein A-II/APOA2 Antibody (7V111)

Synonyms: ProapoA-II, Apolipoprotein A-II(1-76), Apolipoprotein A-II, Apolipoprotein A2, Apo-AII, APOA2
货号 TMAC-00246 一键复制产品信息
Rating icon 还可以

Anti-Apolipoprotein A-II/APOA2 Antibody (7V111) 是一种 Rabbit 抗体,靶向 Apolipoprotein A-II/APOA2。Anti-Apolipoprotein A-II/APOA2 Antibody (7V111) 可用于 FCM,ICC,IF,IHC,WB。

Anti-Apolipoprotein A-II/APOA2 Antibody (7V111)

一键复制产品信息
Rating icon 还可以
货号 TMAC-00246

别名 ProapoA-II, Apolipoprotein A-II(1-76), Apolipoprotein A-II, Apolipoprotein A2, Apo-AII, APOA2

Anti-Apolipoprotein A-II/APOA2 Antibody (7V111) 是一种 Rabbit 抗体,靶向 Apolipoprotein A-II/APOA2。Anti-Apolipoprotein A-II/APOA2 Antibody (7V111) 可用于 FCM,ICC,IF,IHC,WB。

Anti-Apolipoprotein A-II/APOA2 Antibody (7V111)
规格价格库存数量
50 μL
¥ 1,485
5日内发货
100 μL
¥ 2,485
5日内发货
库存状态实时更新,以官网显示为准,现货产品可直接加购物车下单
大包装 & 定制
加入购物车
TargetMol的所有产品仅用作科学研究或药证申报,不能被用于人体,我们不向个人提供产品和服务。请您遵守承诺用途,不得违反法律法规规定用于任何其他用途。
实验操作小课堂
常见问题解答
查看更多

资源下载:产品操作手册

产品介绍


生物活性
产品描述
Anti-Apolipoprotein A-II/APOA2 Antibody (7V111) is a Rabbit antibody targeting Apolipoprotein A-II/APOA2. Anti-Apolipoprotein A-II/APOA2 Antibody (7V111) can be used in FCM,ICC,IF,IHC,WB.
别名ProapoA-II, Apolipoprotein A-II(1-76), Apolipoprotein A-II, Apolipoprotein A2, Apo-AII, APOA2
Ig Type
IgG
克隆号
7V111
反应种属
Human,Rat
验证活性
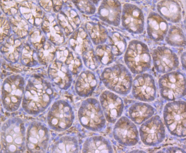
1. Immunohistochemical analysis of paraffin-embedded rat big intestine tissue using anti-Apolipoprotein A II antibody. Counter stained with hematoxylin.
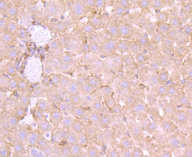
2. Immunohistochemical analysis of paraffin-embedded rat liver tissue using anti-Apolipoprotein A II antibody. Counter stained with hematoxylin.
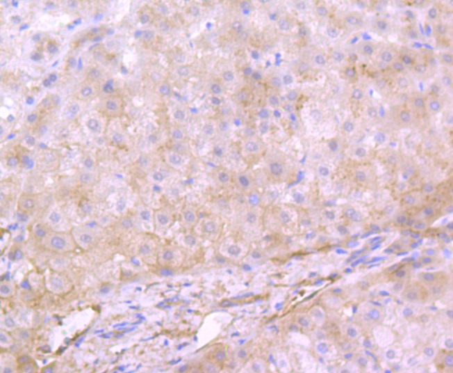
3. Immunohistochemical analysis of paraffin-embedded human liver tissue using anti-Apolipoprotein A II antibody. Counter stained with hematoxylin.
4. ICC staining Apolipoprotein A II in HepG2 cells (green). The nuclear counter stain is DAPI (blue). Cells were fixed in paraformaldehyde, permeabilised with 0.25% Triton X100/PBS.
5. ICC staining Apolipoprotein A II in LOVO cells (green). The nuclear counter stain is DAPI (blue). Cells were fixed in paraformaldehyde, permeabilised with 0.25% Triton X100/PBS.
6. ICC staining Apolipoprotein A II in SH-SY-5Y cells (green). The nuclear counter stain is DAPI (blue). Cells were fixed in paraformaldehyde, permeabilised with 0.25% Triton X100/PBS.
7. Flow cytometric analysis of HepG2 cells with Apolipoprotein A II antibody at 1/100 dilution (red) compared with an unlabelled control (cells without incubation with primary antibody; black). Alexa Fluor 488-conjugated goat anti-rabbit IgG was used as the secondary antibody.
verifiedActivityverifiedActivityverifiedActivityverifiedActivityverifiedActivityverifiedActivityverifiedActivity
应用FCMICCIFIHCWB
推荐剂量
WB: 1:500; IHC: 1:50-200; ICC: 1:100-500; FCM: 1:50-100
抗体种类
Monoclonal
宿主来源Rabbit
构建方式Recombinant Antibody
纯化方式ProA affinity purified
性状Liquid
缓冲液1*TBS (pH7.4), 1%BSA, 40%Glycerol. Preservative: 0.05% Sodium Azide.
研究背景s are protein components of plasma lipoproteins. The human apoA-I gene encodes a single chain, 243 amino acid protein which promotes cholesterol efflux from tissues to the liver for excretion. Apolipoprotein A-I is the major protein component of high density lipoprotein (HDL) in the plasma. It can function as a co-factor for lecithin cholesterolacyltransferase (LCAT), which is responsible for the formation of most plasma cholesterylesters. The human apoA-II gene encodes the second most abundant protein of HDL particles, where it influences plasma levels of free fatty acids (FFA). The human apoA-IV gene encodes a 396 amino acid preprotein, which after proteolytic processing is secreted from the intestine in association with chylomicron particles. ApoA-IV is a potent activator of LCAT in vitro. The human apoA-V gene encodes a 366 amino acid protein that is believed to be an important determinant of plasma triglyceride levels.
偶联与修饰
偶联
Unconjugated
抗原信息
免疫原
Recombinant Protein
Uniprot ID
化学信息
分子量Theoretical: 11 kDa.
储存&溶解度
储存方式Store at -20°C or -80°C for 12 months. Avoid repeated freeze-thaw cycles.
运输方式Shipping with blue ice.

计算器

  • 稀释 计算器
  • 配液 计算器

关键词

Related Tags: buy Anti-Apolipoprotein A-II/APOA2 Antibody (7V111) | purchase Anti-Apolipoprotein A-II/APOA2 Antibody (7V111) | Anti-Apolipoprotein A-II/APOA2 Antibody (7V111) cost | order Anti-Apolipoprotein A-II/APOA2 Antibody (7V111) | Anti-Apolipoprotein A-II/APOA2 Antibody (7V111) molecular weight