购物车
  • TargetMol
    您的购物车当前为空

Anti-APLN Polyclonal Antibody

Synonyms: APJ endogenous ligand, Apelin, APEL
货号 TMAB-00129 一键复制产品信息
Rating icon 还可以
202603开学季活动

Anti-APLN Polyclonal Antibody 是一种 Rabbit 抗体,靶向 APLN。Anti-APLN Polyclonal Antibody 可用于 IF, IHC-Fr, IHC-P。

Anti-APLN Polyclonal Antibody

一键复制产品信息
Rating icon 还可以
202603开学季活动
货号 TMAB-00129

别名 APJ endogenous ligand, Apelin, APEL

Anti-APLN Polyclonal Antibody 是一种 Rabbit 抗体,靶向 APLN。Anti-APLN Polyclonal Antibody 可用于 IF, IHC-Fr, IHC-P。

Anti-APLN Polyclonal Antibody
规格价格库存数量
50 μL
¥ 1,170
5日内发货
100 μL
¥ 1,970
5日内发货
200 μL
¥ 2,790
5日内发货
库存状态实时更新,以官网显示为准,现货产品可直接加购物车下单
大包装 & 定制
加入购物车

TargetMol的所有产品仅用作科学研究或药证申报,不能被用于人体,我们不向个人提供产品和服务。请您遵守承诺用途,不得违反法律法规规定用于任何其他用途。

实验操作小课堂
常见问题解答
查看更多

资源下载:产品操作手册

产品介绍


生物活性
产品描述
Anti-APLN Polyclonal Antibody is a Rabbit antibody targeting APLN. Anti-APLN Polyclonal Antibody can be used in IF, IHC-Fr, IHC-P.
别名
APJ endogenous ligand, Apelin, APEL
Ig Type
IgG
反应种属
Mouse,Rat (predicted:Human)
验证活性
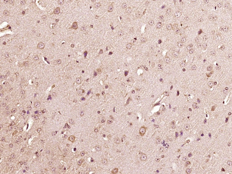
1. Paraformaldehyde-fixed, paraffin embedded (Rat brain); Antigen retrieval by boiling in sodium citrate buffer (pH6.0) for 15 min; Block endogenous peroxidase by 3% hydrogen peroxide for 20 min; Blocking buffer (normal goat serum) at 37°C for 30 min; Antibody incubation with (Apelin) Polyclonal Antibody, Unconjugated (TMAB-00129) at 1:400 overnight at 4°C, followed by operating according to SP Kit (Rabbit) instructionsand DAB staining.
2. Paraformaldehyde-fixed, paraffin embedded (Mouse brain); Antigen retrieval by boiling in sodium citrate buffer (pH6.0) for 15 min; Block endogenous peroxidase by 3% hydrogen peroxide for 20 min; Blocking buffer (normal goat serum) at 37°C for 30 min; Antibody incubation with (Apelin) Polyclonal Antibody, Unconjugated (TMAB-00129) at 1:400 overnight at 4°C, followed by operating according to SP Kit (Rabbit) instructionsand DAB staining.
verifiedActivityverifiedActivity
应用IFIHC-FrIHC-P
推荐剂量
IHC-P: 1:100-500; IHC-Fr: 1:100-500; IF: 1:100-500
抗体种类
Polyclonal
宿主来源Rabbit
亚细胞定位Secreted.
组织特异性Expressed in the brain with highest levels in the frontal cortex, thalamus, hypothalamus and midbrain. Secreted by the mammary gland into the colostrum and the milk.
构建方式Polyclonal Antibody
纯化方式Protein A purified
性状Liquid
缓冲液0.01M TBS (pH7.4) with 1% BSA, 0.02% Proclin300 and 50% Glycerol.
浓度1 mg/mL
研究背景Apelin (also known as APLN) is a peptide that in humans is encoded by the APLN gene. Apelin is the endogenous ligand for the G-protein-coupled APJ receptor that is expressed at the surface of some cell types. It is widely expressed in various organs such as the heart, lung, kidney, liver, adipose tissue, gastrointestinal tract, brain, adrenal glands, endothelium, and human plasma.
抗原信息
免疫原
KLH conjugated synthetic peptide: human Apelin
抗原种属
Human
基因名称
APLN
基因ID
蛋白名称
Apelin
Uniprot ID
研究领域
Blood Pressure regulation,Inotropics,Obesity,More Neuropeptides,GPCR
功能
Endogenous ligand for APJ, an alternative coreceptor with CD4 for HIV-1 infection. Inhibits HIV-1 entry in cells coexpressing CD4 and APJ. Apelin-36 has a greater inhibitory activity on HIV infection than other synthetic apelin derivatives. The oral intake in the colostrum and the milk could have a role in the modulation of the immune responses in neonates. May also have a role in the central control of body fluid homeostasis by influencing AVP release and drinking behavior.
化学信息
分子量Theoretical: 10 kDa.
储存&溶解度
储存方式Store at -20°C or -80°C for 12 months. Avoid repeated freeze-thaw cycles.
运输方式Shipping with blue ice.

计算器

  • 稀释 计算器
  • 配液 计算器
Related Tags: buy Anti-APLN Polyclonal Antibody | purchase Anti-APLN Polyclonal Antibody | Anti-APLN Polyclonal Antibody cost | order Anti-APLN Polyclonal Antibody | Anti-APLN Polyclonal Antibody molecular weight