购物车
  • TargetMol
    您的购物车当前为空

Anti-AP2M1 Antibody (9R605)

Synonyms: Plasma membrane adaptor AP-2 50 kDa protein, KIAA0109, HA2 50 kDa subunit, Clathrin coat-associated protein AP50, Clathrin coat assembly protein AP50, Clathrin assembly protein complex 2 mu medium chain, CLAPM1, AP2M1, AP-2 mu chain, AP-2 complex subunit mu, Adaptor-related protein complex 2 subunit mu, Adaptor protein complex AP-2 subunit mu, Adaptin-mu2
货号 TMAC-00233 一键复制产品信息
Rating icon 还可以
202603开学季活动

Anti-AP2M1 Antibody (9R605) 是一种 Rabbit 抗体,靶向 AP2M1。Anti-AP2M1 Antibody (9R605) 可用于 FCM,ICC,IHC,WB。

Anti-AP2M1 Antibody (9R605)

一键复制产品信息
Rating icon 还可以
202603开学季活动
货号 TMAC-00233

别名 Plasma membrane adaptor AP-2 50 kDa protein, KIAA0109, HA2 50 kDa subunit, Clathrin coat-associated protein AP50, Clathrin coat assembly protein AP50, Clathrin assembly protein complex 2 mu medium chain, CLAPM1, AP2M1, AP-2 mu chain, AP-2 complex subunit mu, Adaptor-related protein complex 2 subunit mu, Adaptor protein complex AP-2 subunit mu, Adaptin-mu2

Anti-AP2M1 Antibody (9R605) 是一种 Rabbit 抗体,靶向 AP2M1。Anti-AP2M1 Antibody (9R605) 可用于 FCM,ICC,IHC,WB。

Anti-AP2M1 Antibody (9R605)
规格价格库存数量
50 μL
¥ 1,480
5日内发货
100 μL
¥ 2,480
5日内发货
库存状态实时更新,以官网显示为准,现货产品可直接加购物车下单
大包装 & 定制
加入购物车

TargetMol的所有产品仅用作科学研究或药证申报,不能被用于人体,我们不向个人提供产品和服务。请您遵守承诺用途,不得违反法律法规规定用于任何其他用途。

实验操作小课堂
常见问题解答
查看更多

资源下载:产品操作手册

产品介绍


生物活性
产品描述
Anti-AP2M1 Antibody (9R605) is a Rabbit antibody targeting AP2M1. Anti-AP2M1 Antibody (9R605) can be used in FCM,ICC,IHC,WB.
别名
Plasma membrane adaptor AP-2 50 kDa protein, KIAA0109, HA2 50 kDa subunit, Clathrin coat-associated protein AP50, Clathrin coat assembly protein AP50, Clathrin assembly protein complex 2 mu medium chain, CLAPM1, AP2M1, AP-2 mu chain, AP-2 complex subunit mu, Adaptor-related protein complex 2 subunit mu, Adaptor protein complex AP-2 subunit mu, Adaptin-mu2
Ig Type
IgG
克隆号
9R605
反应种属
Human,Mouse,Rat
验证活性
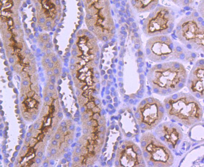
1. Immunohistochemical analysis of paraffin-embedded human kidney tissue using anti-AP2M1 antibody. Counter stained with hematoxylin.
2. Immunohistochemical analysis of paraffin-embedded mouse brain tissue using anti-AP2M1 antibody. Counter stained with hematoxylin.
3. ICC staining AP2M1 in HepG2 cells (green). The nuclear counter stain is DAPI (blue). Cells were fixed in paraformaldehyde, permeabilised with 0.25% Triton X100/PBS.
4. ICC staining AP2M1 in SH-SY-5Y cells (green). The nuclear counter stain is DAPI (blue). Cells were fixed in paraformaldehyde, permeabilised with 0.25% Triton X100/PBS.
5. ICC staining AP2M1 in MCF-7 cells (green). The nuclear counter stain is DAPI (blue). Cells were fixed in paraformaldehyde, permeabilised with 0.25% Triton X100/PBS.
6. Flow cytometric analysis of PANC-1 cells with AP2M1 antibody at 1/50 dilution (red) compared with an unlabelled control (cells without incubation with primary antibody; black). Alexa Fluor 488-conjugated goat anti rabbit IgG was used as the secondary antibody.
verifiedActivityverifiedActivityverifiedActivityverifiedActivityverifiedActivityverifiedActivity
应用FCMICCIHCWB
推荐剂量
WB: 1:500-1000; IHC: 1:50-200; ICC: 1:50-200; FCM: 1:50-100
抗体种类
Monoclonal
宿主来源Rabbit
构建方式Recombinant Antibody
纯化方式ProA affinity purified
性状Liquid
缓冲液1*TBS (pH7.4), 1%BSA, 40%Glycerol. Preservative: 0.05% Sodium Azide.
研究背景Adaptins are heterotetrameric subunits of adaptors, which are complexes involved in the formation of Clathrin-coated pits for vesicle-mediated endocytosis. Clathrin and its associated heterotetrameric protein complexes make up the main protein components of the coat surrounding the cytoplasmic face of coated vesicles. The Adaptin family, comprising a, b, b' and g classes, is also responsible for the transport of ligand-receptor complexes from plasma membranes and the trans-Golgi network to lysosomes. Two main types of adaptor proteins (APs), AP-1 and AP-2, are found in Clathrin-coated structures located at the Golgi complex and the plasma membrane of mammalian cells, respectively. Adaptor protein complex 2 (AP-2) is composed of two large Adaptins (a1A/AP2A1 and b1/AP2B1), a medium Adaptin (m2/AP-2m1) and a small Adaptin (s2 long/AP2S1). AP-2m1, a 435 amino acid protein, links Clathrin to receptors in coated vesicles.
偶联与修饰
偶联
Unconjugated
抗原信息
免疫原
Recombinant Protein
Uniprot ID
化学信息
分子量Theoretical: 50 kDa.
储存&溶解度
储存方式Store at -20°C or -80°C for 12 months. Avoid repeated freeze-thaw cycles.
运输方式Shipping with blue ice.

计算器

  • 稀释 计算器
  • 配液 计算器
Related Tags: buy Anti-AP2M1 Antibody (9R605) | purchase Anti-AP2M1 Antibody (9R605) | Anti-AP2M1 Antibody (9R605) cost | order Anti-AP2M1 Antibody (9R605) | Anti-AP2M1 Antibody (9R605) molecular weight