购物车
  • 全部删除
  • TargetMol
    您的购物车当前为空

Anti-ANXA4 Antibody (3T392)

Rating icon 还可以
产品编号 TMAC-00214

Anti-ANXA4 Antibody (3T392) 是一种 Rabbit 抗体,靶向 ANXA4。Anti-ANXA4 Antibody (3T392) 可用于 FCM,ICC,IF,IHC,WB。

Anti-ANXA4 Antibody (3T392)

Anti-ANXA4 Antibody (3T392)

一键复制产品信息
Rating icon 还可以
产品编号 TMAC-00214

Anti-ANXA4 Antibody (3T392) 是一种 Rabbit 抗体,靶向 ANXA4。Anti-ANXA4 Antibody (3T392) 可用于 FCM,ICC,IF,IHC,WB。

规格价格库存数量
50 μL
¥ 1,490
5日内发货
100 μL
¥ 2,480
5日内发货
大包装 & 定制
加入购物车
TargetMol 的所有产品仅用作科学研究或药证申报,不能被用于人体,我们不向个人提供产品和服务。请您遵守承诺用途,不得违反法律法规规定用于任何其他用途。
实验操作小课堂
常见问题解答
查看更多
联系我们获取更多批次信息
资源下载

产品介绍

生物活性
产品描述
Anti-ANXA4 Antibody (3T392) is a Rabbit antibody targeting ANXA4. Anti-ANXA4 Antibody (3T392) can be used in FCM,ICC,IF,IHC,WB.
Ig Type
IgG
克隆号
3T392
交叉反应
Human
验证活性
1. Western blot analysis of Annexin IV on human liver tissue lysate using anti-Annexin IV antibody at 1/2,000 dilution.
2. Immunohistochemical analysis of paraffin-embedded human colon cancer tissue using anti-Annexin IV antibody. Counter stained with hematoxylin.
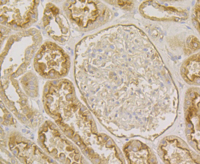
3. Immunohistochemical analysis of paraffin-embedded human kidney tissue using anti-Annexin IV antibody. Counter stained with hematoxylin.
4. ICC staining Annexin IV in A549 cells (green). The nuclear counter stain is DAPI (blue). Cells were fixed in paraformaldehyde, permeabilised with 0.25% Triton X100/PBS.
5. ICC staining Annexin IV in HepG2 cells (green). The nuclear counter stain is DAPI (blue). Cells were fixed in paraformaldehyde, permeabilised with 0.25% Triton X100/PBS.
6. ICC staining Annexin IV in SiHa cells (green). The nuclear counter stain is DAPI (blue). Cells were fixed in paraformaldehyde, permeabilised with 0.25% Triton X100/PBS.
7. Flow cytometric analysis of HepG2 cells with Annexin IV antibody at 1/100 dilution (purple) compared with an unlabelled control (cells without incubation with primary antibody; yellow). Alexa Fluor 488-conjugated goat anti-rabbit IgG was used as the secondary antibody.
verifiedActivityverifiedActivityverifiedActivityverifiedActivityverifiedActivityverifiedActivityverifiedActivity
应用FCMICCIFIHCWB
推荐剂量
WB: 1:500-2000; IHC: 1:50-200; ICC:IF: 1:50-200; FCM: 1:50-100
抗体种类
Monoclonal
宿主来源Rabbit
构建方式Recombinant Antibody
纯化方式ProA affinity purified
性状Liquid
缓冲液1*TBS (pH7.4), 1%BSA, 40%Glycerol. Preservative: 0.05% Sodium Azide.
研究背景The annexin family of calcium-binding proteins is composed of at least ten mammalian genes. It is characterized by a conserved core domain which binds to phospholipids in a Ca++-dependent manner and a unique amino terminal region which may confer binding specificity. Annexin family members have been implicated as regulators of such diverse processes as ion flux, endocytosis and exocytosis, and cellular adhesion. For example, the crystal structure of Annexin III has suggested a hydrophilic amino terminus with possible Ca++ channel activity. Similarly, Annexin V has ion channel properties. Annexin IV, also referred to as endonexin, functions to regulate Cl- flux by mediating calmodulin kinase II (CaMKII) activity and Annexin V has been shown to regulate PKC activity.
偶联与修饰
偶联
Unconjugated
抗原信息
免疫原
Recombinant Protein: human Annexin IV aa 1-200
抗原种属
human
Uniprot ID
化学信息
分子量Theoretical: 36 kDa.
存储&运输
储存方式Store at -20°C or -80°C for 12 months. Avoid repeated freeze-thaw cycles.
运输方式Shipping with blue ice.

计算器

  • 稀释 计算器

关键词

评论列表

4个月前
5.0
Rating icon 很棒

评论内容

Related Tags: buy Anti-ANXA4 Antibody (3T392) | purchase Anti-ANXA4 Antibody (3T392) | Anti-ANXA4 Antibody (3T392) cost | order Anti-ANXA4 Antibody (3T392) | Anti-ANXA4 Antibody (3T392) molecular weight