购物车
  • TargetMol
    您的购物车当前为空

Anti-Alpha/Beta-Synuclein Antibody (5Q165)

Synonyms: PD1, PARK4, PARK1, NACP
货号 TMAC-00165 一键复制产品信息
Rating icon 还可以
202603开学季活动

Anti-Alpha/Beta-Synuclein Antibody (5Q165) 是一种 Rabbit 抗体,靶向 Alpha/Beta-Synuclein。Anti-Alpha/Beta-Synuclein Antibody (5Q165) 可用于 FCM,ICC/IF,IHC,WB。

Anti-Alpha/Beta-Synuclein Antibody (5Q165)

一键复制产品信息
Rating icon 还可以
202603开学季活动
货号 TMAC-00165

别名 PD1, PARK4, PARK1, NACP

Anti-Alpha/Beta-Synuclein Antibody (5Q165) 是一种 Rabbit 抗体,靶向 Alpha/Beta-Synuclein。Anti-Alpha/Beta-Synuclein Antibody (5Q165) 可用于 FCM,ICC/IF,IHC,WB。

Anti-Alpha/Beta-Synuclein Antibody (5Q165)
规格价格库存数量
50 μL
¥ 1,495
5日内发货
100 μL
¥ 2,480
5日内发货
库存状态实时更新,以官网显示为准,现货产品可直接加购物车下单
大包装 & 定制
加入购物车

TargetMol的所有产品仅用作科学研究或药证申报,不能被用于人体,我们不向个人提供产品和服务。请您遵守承诺用途,不得违反法律法规规定用于任何其他用途。

实验操作小课堂
常见问题解答
查看更多

选择批次:
颜色: 无色透明
性状: Liquid
资源下载: COA产品操作手册

产品介绍


生物活性
产品描述
Anti-Alpha/Beta-Synuclein Antibody (5Q165) is a Rabbit antibody targeting Alpha/Beta-Synuclein. Anti-Alpha/Beta-Synuclein Antibody (5Q165) can be used in FCM,ICC/IF,IHC,WB.
别名
PD1, PARK4, PARK1, NACP
Ig Type
IgG
克隆号
5Q165
反应种属
Human,Mouse,Rat
验证活性
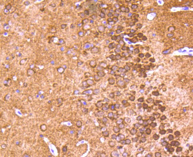
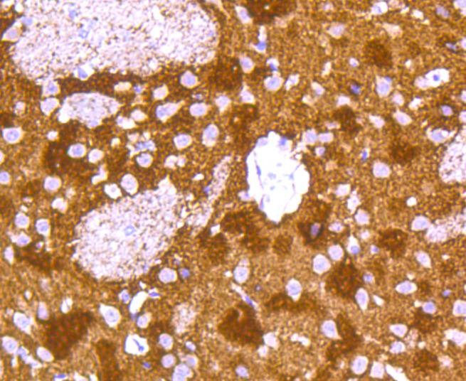
1. Immunohistochemical analysis of paraffin-embedded rat brain tissue using anti-alpha+beta Synuclein antibody. Counter stained with hematoxylin.
2. Immunohistochemical analysis of paraffin-embedded mouse brain tissue using anti-alpha+beta Synuclein antibody. Counter stained with hematoxylin.
3. ICC staining alpha+beta Synuclein in Hela cells (green). The nuclear counter stain is DAPI (blue). Cells were fixed in paraformaldehyde, permeabilised with 0.25% Triton X100/PBS.
4. ICC staining alpha+beta Synuclein in N2A cells (green). The nuclear counter stain is DAPI (blue). Cells were fixed in paraformaldehyde, permeabilised with 0.25% Triton X100/PBS.
5. ICC staining alpha+beta Synuclein in SH-SY-5Y cells (green). The nuclear counter stain is DAPI (blue). Cells were fixed in paraformaldehyde, permeabilised with 0.25% Triton X100/PBS.
6. Flow cytometric analysis of Hela cells with alpha+beta Synuclein antibody at 1/50 dilution (red) compared with an unlabelled control (cells without incubation with primary antibody; black). Alexa Fluor 488-conjugated goat anti rabbit IgG was used as the secondary antibody.
verifiedActivityverifiedActivityverifiedActivityverifiedActivityverifiedActivityverifiedActivity
应用FCMICC/IFIHCWB
推荐剂量
WB: 1:1000-2000; IHC: 1:50-200; ICC/IF: 1:50-200; FCM: 1:50-100
抗体种类
Monoclonal
宿主来源Rabbit
构建方式Recombinant Antibody
纯化方式ProA affinity purified
性状Liquid
缓冲液1*TBS (pH7.4), 1%BSA, 40%Glycerol. Preservative: 0.05% Sodium Azide.
研究背景The synucleins, including α-synuclein (also designated NACP for nonamyloid component precursor), β-synuclein (also designated PNP 14 for phospho-neuroprotein 14) and γ-synuclein (also designated persyn or BCSG1 for breast cancer-specific gene 1) are presynaptic proteins abundant in neurons. Synucleins are predominantly expressed in the brain and are speculated to be involved in synaptic regulation and neuronal plasticity. α-Synuclein, identified as a component of Alzheimer??s disease amyloid plaques, is localized to neuronal cell bodies and synapses. Coordinate expression of α-synuclein and β-synuclein may be important during hematopoetic cell differentiation. A mutant form of α-synuclein is found in patients with early onset Parkinson??s disease. γ-Synuclein is associated with axonal pathology in Parkinson??s disease.
偶联与修饰
偶联
Unconjugated
抗原信息
免疫原
Recombinant Protein
Uniprot ID
化学信息
分子量Theoretical: 18 kDa.
储存&溶解度
储存方式Store at -20°C or -80°C for 12 months. Avoid repeated freeze-thaw cycles.
运输方式Shipping with blue ice.

计算器

  • 稀释 计算器
  • 配液 计算器
Related Tags: buy Anti-Alpha/Beta-Synuclein Antibody (5Q165) | purchase Anti-Alpha/Beta-Synuclein Antibody (5Q165) | Anti-Alpha/Beta-Synuclein Antibody (5Q165) cost | order Anti-Alpha/Beta-Synuclein Antibody (5Q165) | Anti-Alpha/Beta-Synuclein Antibody (5Q165) molecular weight