购物车
  • TargetMol
    您的购物车当前为空

Anti-alpha 1 Catenin Antibody (9R277)

Synonyms: α1Catenin, α 1 Catenin, Renal carcinoma antigen NY-REN-13, Renal carcinoma antigen NY REN 13, OTTHUMP00000224147, OTTHUMP00000224141, NY REN 13 antigen, FLJ52416, FLJ36832, Ctnna1, CTNNA 1, CTNA1_HUMAN, Catenin alpha-1, Catenin alpha 1, Catenin (cadherin associated protein), alpha 1, 102kDa, Catenin (cadherin associated protein) alpha 1 102kDa, CAP102, CAP 102, Cadherin-associated protein, Cadherin associated protein 102kDa, Cadherin associated protein, alpha1Catenin, Alpha E-catenin, a1Catenin, a 1 Catenin
货号 TMAC-00151 一键复制产品信息
Rating icon 还可以

Anti-alpha 1 Catenin Antibody (9R277) 是一种 Rabbit 抗体,靶向 alpha 1 Catenin。Anti-alpha 1 Catenin Antibody (9R277) 可用于 FCM,ICC/IF,IHC,IP,WB。

Anti-alpha 1 Catenin Antibody (9R277)

一键复制产品信息
Rating icon 还可以
货号 TMAC-00151

别名 α1Catenin, α 1 Catenin, Renal carcinoma antigen NY-REN-13, Renal carcinoma antigen NY REN 13, OTTHUMP00000224147, OTTHUMP00000224141, NY REN 13 antigen, FLJ52416, FLJ36832, Ctnna1, CTNNA 1, CTNA1_HUMAN, Catenin alpha-1, Catenin alpha 1, Catenin (cadherin associated protein), alpha 1, 102kDa, Catenin (cadherin associated protein) alpha 1 102kDa, CAP102, CAP 102, Cadherin-associated protein, Cadherin associated protein 102kDa, Cadherin associated protein, alpha1Catenin, Alpha E-catenin, a1Catenin, a 1 Catenin

Anti-alpha 1 Catenin Antibody (9R277) 是一种 Rabbit 抗体,靶向 alpha 1 Catenin。Anti-alpha 1 Catenin Antibody (9R277) 可用于 FCM,ICC/IF,IHC,IP,WB。

Anti-alpha 1 Catenin Antibody (9R277)
规格价格库存数量
50 μL
¥ 1,480
5日内发货
100 μL
¥ 2,490
5日内发货
库存状态实时更新,以官网显示为准,现货产品可直接加购物车下单
大包装 & 定制
加入购物车
TargetMol的所有产品仅用作科学研究或药证申报,不能被用于人体,我们不向个人提供产品和服务。请您遵守承诺用途,不得违反法律法规规定用于任何其他用途。
实验操作小课堂
常见问题解答
查看更多

资源下载:产品操作手册

产品介绍


生物活性
产品描述
Anti-alpha 1 Catenin Antibody (9R277) is a Rabbit antibody targeting alpha 1 Catenin. Anti-alpha 1 Catenin Antibody (9R277) can be used in FCM,ICC/IF,IHC,IP,WB.
别名α1Catenin, α 1 Catenin, Renal carcinoma antigen NY-REN-13, Renal carcinoma antigen NY REN 13, OTTHUMP00000224147, OTTHUMP00000224141, NY REN 13 antigen, FLJ52416, FLJ36832, Ctnna1, CTNNA 1, CTNA1_HUMAN, Catenin alpha-1, Catenin alpha 1, Catenin (cadherin associated protein), alpha 1, 102kDa, Catenin (cadherin associated protein) alpha 1 102kDa, CAP102, CAP 102, Cadherin-associated protein, Cadherin associated protein 102kDa, Cadherin associated protein, alpha1Catenin, Alpha E-catenin, a1Catenin, a 1 Catenin
Ig Type
IgG
克隆号
9R277
反应种属
Human,Mouse,Rat
验证活性
1. Western blot analysis of alpha 1 Catenin on different lysates using anti-alpha 1 Catenin antibody at 1/1,000 dilution. Positive control: Lane 1: Hela, Lane 2: HepG2, Lane 3: A431.
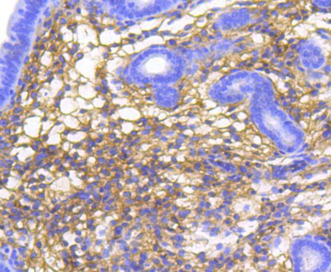
2. Immunohistochemical analysis of paraffin-embedded mouse colon tissue using anti-alpha 1 Catenin antibody. Counter stained with hematoxylin.
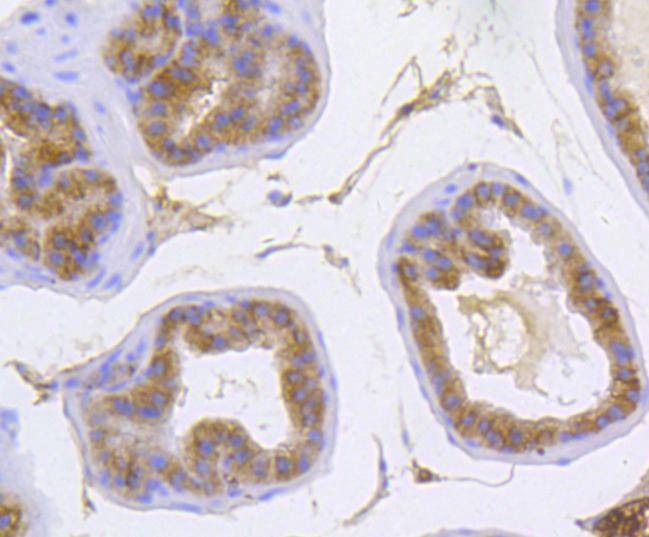
3. Immunohistochemical analysis of paraffin-embedded mouse prostate tissue using anti-alpha 1 Catenin antibody. Counter stained with hematoxylin.
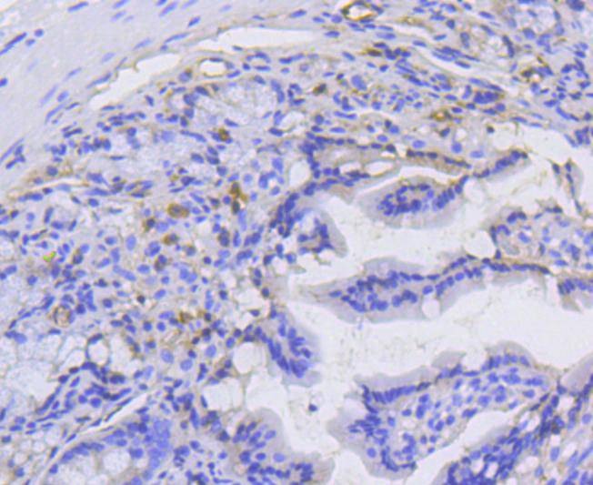
4. Immunohistochemical analysis of paraffin-embedded mouse uterus tissue using anti-alpha 1 Catenin antibody. Counter stained with hematoxylin.
5. Flow cytometric analysis of Hela cells with alpha 1 Catenin antibody at 1/50 dilution (red) compared with an unlabelled control (cells without incubation with primary antibody; black). Alexa Fluor 488-conjugated goat anti rabbit IgG was used as the secondary antibody.
verifiedActivityverifiedActivityverifiedActivityverifiedActivityverifiedActivity
应用FCMICC/IFIHCIPWB
推荐剂量
WB: 1:1000-2000; IHC: 1:50-200; ICC/IF: 1:50-200; FCM: 1:50-100
抗体种类
Monoclonal
宿主来源Rabbit
构建方式Recombinant Antibody
纯化方式ProA affinity purified
性状Liquid
缓冲液1*TBS (pH7.4), 1%BSA, 40%Glycerol. Preservative: 0.05% Sodium Azide.
研究背景α E-catenin (also designated α-catenin; cadherin-associated protein, α1, 102 kDa; and CAP102) plays a role in E-cadherin mediated cell-cell adhesion by linking E-cadherin to the cytoskeleton via β- or γ-catenin and Actin. α E-catenin connects cell-density-dependent adherens junctions with the developmental hedgehog pathway and may provide a negative feedback loop controlling the size of developing cerebral cortex. It is abundant in neuroepithelial precursor cells in the developing cortical ventricular zone of the brain, with reduced expression in the cortical plate. α E-catenin-vinculin interactions play a role in the assembly of the apical junction complex in epithelia. Catenins generally are thought to work as connectors that anchor E-cadherin to the cytoskeletal Actin bundle through the cadherin cytoplasmic domain. Dysfunction of this adhesion complex causes dissociation of cancer cells from primary tumor nodules, thus possibly contributing to cancer invasion and metastasis.
偶联与修饰
偶联
Unconjugated
抗原信息
免疫原
Recombinant Protein
Uniprot ID
化学信息
分子量Theoretical: 100 kDa.
储存&溶解度
储存方式Store at -20°C or -80°C for 12 months. Avoid repeated freeze-thaw cycles.
运输方式Shipping with blue ice.

计算器

  • 稀释 计算器
  • 配液 计算器
Related Tags: buy Anti-alpha 1 Catenin Antibody (9R277) | purchase Anti-alpha 1 Catenin Antibody (9R277) | Anti-alpha 1 Catenin Antibody (9R277) cost | order Anti-alpha 1 Catenin Antibody (9R277) | Anti-alpha 1 Catenin Antibody (9R277) molecular weight