购物车
  • TargetMol
    您的购物车当前为空

Anti-AKT1 Antibody (7N506)

Synonyms: v-akt murine thymoma viral oncogene homolog 1, RAC-α, RAC-ALPHA, RAC, PRKBA, PKB-α, PKB-ALPHA, PKB, CWS6, AKT
货号 TMAC-00122 一键复制产品信息
Rating icon 还可以
202603开学季活动

Anti-AKT1 Antibody (7N506) 是一种 Mouse 抗体,靶向 AKT1。Anti-AKT1 Antibody (7N506) 可用于 FCM,ICC,IHC,WB。

Anti-AKT1 Antibody (7N506)

一键复制产品信息
Rating icon 还可以
202603开学季活动
货号 TMAC-00122

别名 v-akt murine thymoma viral oncogene homolog 1, RAC-α, RAC-ALPHA, RAC, PRKBA, PKB-α, PKB-ALPHA, PKB, CWS6, AKT

Anti-AKT1 Antibody (7N506) 是一种 Mouse 抗体,靶向 AKT1。Anti-AKT1 Antibody (7N506) 可用于 FCM,ICC,IHC,WB。

Anti-AKT1 Antibody (7N506)
规格价格库存数量
50 μL
¥ 1,980
5日内发货
100 μL
¥ 2,985
5日内发货
库存状态实时更新,以官网显示为准,现货产品可直接加购物车下单
大包装 & 定制
加入购物车

TargetMol的所有产品仅用作科学研究或药证申报,不能被用于人体,我们不向个人提供产品和服务。请您遵守承诺用途,不得违反法律法规规定用于任何其他用途。

实验操作小课堂
常见问题解答
查看更多

资源下载:产品操作手册

产品介绍


生物活性
产品描述
Anti-AKT1 Antibody (7N506) is a Mouse antibody targeting AKT1. Anti-AKT1 Antibody (7N506) can be used in FCM,ICC,IHC,WB.
别名
v-akt murine thymoma viral oncogene homolog 1, RAC-α, RAC-ALPHA, RAC, PRKBA, PKB-α, PKB-ALPHA, PKB, CWS6, AKT
克隆号
7N506
反应种属
Human,Mouse
验证活性
1. Western blot analysis of Akt1 on different cell lysates using anti-Akt1 antibody at 1/2000 dilution. Positive control: Lane 1: HepG2, Lane 2: MCF-7, Lane 3: Hela.
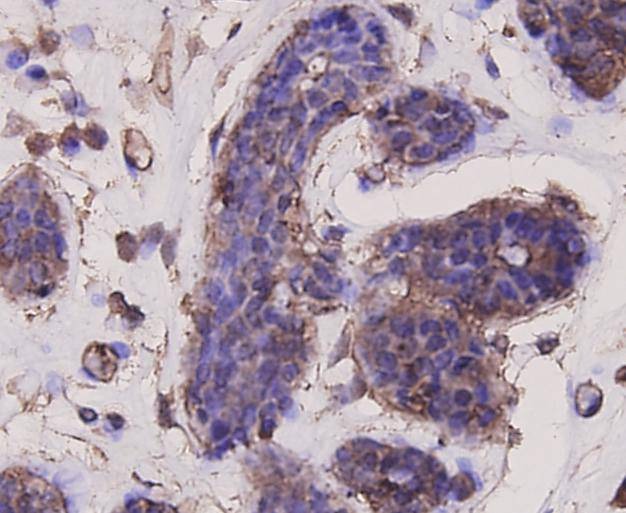
2. Immunohistochemical analysis of paraffin-embedded human breast carcinoma tissue using anti-Akt1 antibody. Counter stained with hematoxylin.
3. ICC staining Akt1 in Hela cells (red). Cells were fixed in paraformaldehyde, permeabilised with 0.25% Triton X100/PBS.
4. ICC staining Akt1 in HepG2 cells (red). Cells were fixed in paraformaldehyde, permeabilised with 0.25% Triton X100/PBS.
5. ICC staining Akt1 in MCF-7 cells (red). Cells were fixed in paraformaldehyde, permeabilised with 0.25% Triton X100/PBS.
6. Flow cytometric analysis of Hela cells with Akt1 antibody at 1/100 dilution (blue) compared with an unlabelled control (cells without incubation with primary antibody; red). Goat anti rabbit IgG (FITC) was used as the secondary antibody.
verifiedActivityverifiedActivityverifiedActivityverifiedActivityverifiedActivityverifiedActivity
应用FCMICCIHCWB
推荐剂量
WB: 1:2000; IHC: 1:100-200; ICC: 1:100-200; FCM: 1:100-200
抗体种类
Monoclonal
宿主来源Mouse
构建方式Hybridoma Monoclonal Antibody
纯化方式ProA affinity purified
性状Liquid
缓冲液1*TBS (pH7.4), 1%BSA, 40%Glycerol. Preservative: 0.05% Sodium Azide.
研究背景The serine-threonine protein kinase AKT1 is catalytically inactive in serum-starved primary and immortalized fibroblasts. AKT1 and the related AKT2 are activated by platelet-derived growth factor. The activation is rapid and specific, and it is abrogated by mutations in the pleckstrin homology domain of AKT1. It was shown that the activation occurs through phosphatidylinositol 3-kinase. In the developing nervous system AKT is a critical mediator of growth factor-induced neuronal survival. Survival factors can suppress apoptosis in a transcription-independent manner by activating the serine/threonine kinase AKT1, which then phosphorylates and inactivates components of the apoptotic machinery. Mice lacking Akt1 display a 25% reduction in body mass, indicating that Akt1 is critical for transmitting growth-promoting signals, most likely via the igf1 receptor. Mice lacking Akt1 are also resistant to cancer: They experience considerable delay in tumor growth initiated by the large T antigen or the Neuoncogene.
偶联与修饰
偶联
Unconjugated
抗原信息
免疫原
Peptide
Uniprot ID
化学信息
分子量Theoretical: 56 kDa.
储存&溶解度
储存方式Store at -20°C or -80°C for 12 months. Avoid repeated freeze-thaw cycles.
运输方式Shipping with blue ice.

计算器

  • 稀释 计算器
  • 配液 计算器

关键词

Related Tags: buy Anti-AKT1 Antibody (7N506) | purchase Anti-AKT1 Antibody (7N506) | Anti-AKT1 Antibody (7N506) cost | order Anti-AKT1 Antibody (7N506) | Anti-AKT1 Antibody (7N506) molecular weight