购物车
  • 全部删除
  • TargetMol
    您的购物车当前为空

Anti-AIF Antibody (9K13)

Rating icon 还可以
产品编号 TMAC-00102
别名 Programmed Cell Death Protein 8, PDCD8, Apoptosis-Inducing Factor 1 Mitochondrial, AIFM1, AIF

Anti-AIF Antibody (9K13) 是一种 Rabbit 抗体,靶向 AIF。Anti-AIF Antibody (9K13) 可用于 FCM,ICC,IHC,IP,WB。

Anti-AIF Antibody (9K13)

Anti-AIF Antibody (9K13)

一键复制产品信息
Rating icon 还可以
产品编号 TMAC-00102 别名 Programmed Cell Death Protein 8, PDCD8, Apoptosis-Inducing Factor 1 Mitochondrial, AIFM1, AIF

Anti-AIF Antibody (9K13) 是一种 Rabbit 抗体,靶向 AIF。Anti-AIF Antibody (9K13) 可用于 FCM,ICC,IHC,IP,WB。

规格价格库存数量
50 μL
¥ 1,490
5日内发货
100 μL
¥ 2,480
5日内发货
大包装 & 定制
加入购物车
TargetMol 的所有产品仅用作科学研究或药证申报,不能被用于人体,我们不向个人提供产品和服务。请您遵守承诺用途,不得违反法律法规规定用于任何其他用途。
实验操作小课堂
常见问题解答
查看更多
联系我们获取更多批次信息
资源下载

产品介绍

生物活性
产品描述
Anti-AIF Antibody (9K13) is a Rabbit antibody targeting AIF. Anti-AIF Antibody (9K13) can be used in FCM,ICC,IHC,IP,WB.
别名Programmed Cell Death Protein 8, PDCD8, Apoptosis-Inducing Factor 1 Mitochondrial, AIFM1, AIF
Ig Type
IgG
克隆号
9K13
交叉反应
Human,Mouse,Rat
验证活性
1. Western blot analysis of AIF on different lysates using anti-AIF antibody at 1/1,000 dilution. Positive control: Lane 1: Hela, Lane 2: SKOV-3.
2. Immunohistochemical analysis of paraffin-embedded human liver tissue using anti-AIF antibody. Counter stained with hematoxylin.
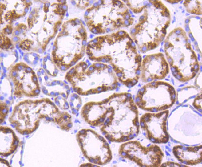
3. Immunohistochemical analysis of paraffin-embedded human kidney tissue using anti-AIF antibody. Counter stained with hematoxylin.
4. Immunohistochemical analysis of paraffin-embedded mouse liver tissue using anti-AIF antibody. Counter stained with hematoxylin.
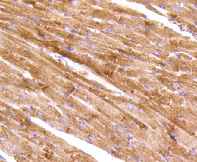
5. Immunohistochemical analysis of paraffin-embedded mouse heart tissue using anti-AIF antibody. Counter stained with hematoxylin.
6. ICC staining AIF in Hela cells (green). The nuclear counter stain is DAPI (blue). Cells were fixed in paraformaldehyde, permeabilised with 0.25% Triton X100/PBS.
7. ICC staining AIF in HepG2 cells (green). The nuclear counter stain is DAPI (blue). Cells were fixed in paraformaldehyde, permeabilised with 0.25% Triton X100/PBS.
8. Flow cytometric analysis of Hela cells with AIF antibody at 1/50 dilution (red) compared with an unlabelled control (cells without incubation with primary antibody; black). Alexa Fluor 488-conjugated goat anti rabbit IgG was used as the secondary antibody.
verifiedActivityverifiedActivityverifiedActivityverifiedActivityverifiedActivityverifiedActivityverifiedActivityverifiedActivity
应用FCMICCIHCIPWB
推荐剂量
WB: 1:1000-5000; IHC: 1:50-200; ICC: 1:50-200; FCM: 1:50-100
抗体种类
Monoclonal
宿主来源Rabbit
构建方式Recombinant Antibody
纯化方式ProA affinity purified
性状Liquid
缓冲液1*TBS (pH7.4), 1%BSA, 40%Glycerol. Preservative: 0.05% Sodium Azide.
研究背景A key event in the apoptotic process is the opening of the mitochondrial permeability transition pore, an event that is regulated by Bcl-2 family proteins, resulting in the release of several proteins from the mitochondrial intermembrane space. Several of these proteins participate in apoptosis, including cytochrome c, procaspases 2, 3, and 9, and AIF (apoptosis-inducing factor). AIF has been shown to cause DNA fragmentation and chromatin condensation and to induce the release of cytochrome c and caspase-9 from mitochondria. Bcl-2 overexpression has been shown to prevent the release of AIF from mitochondria, but not to block its apoptogenic activity.
偶联与修饰
偶联
Unconjugated
抗原信息
免疫原
Recombinant Protein
Uniprot ID
化学信息
分子量Theoretical: 67 kDa.
存储&运输
储存方式Store at -20°C or -80°C for 12 months. Avoid repeated freeze-thaw cycles.
运输方式Shipping with blue ice.

计算器

  • 稀释 计算器

关键词

评论列表

4个月前
5.0
Rating icon 很棒

评论内容

Related Tags: buy Anti-AIF Antibody (9K13) | purchase Anti-AIF Antibody (9K13) | Anti-AIF Antibody (9K13) cost | order Anti-AIF Antibody (9K13) | Anti-AIF Antibody (9K13) molecular weight