购物车
  • TargetMol
    您的购物车当前为空

Anti-AHR Polyclonal Antibody

Synonyms: Class E basic helix-loop-helix protein 76 (bHLHe76), bHLHe76, Aryl hydrocarbon receptor, AHR, Ah receptor
货号 TMAB-00080 一键复制产品信息
Rating icon 还可以

Anti-AHR Polyclonal Antibody 是一种 Rabbit 抗体,靶向 AHR。Anti-AHR Polyclonal Antibody 可用于 FCM, ICC/IF, IF, IHC-Fr, IHC-P。

Anti-AHR Polyclonal Antibody

一键复制产品信息
Rating icon 还可以
货号 TMAB-00080

别名 Class E basic helix-loop-helix protein 76 (bHLHe76), bHLHe76, Aryl hydrocarbon receptor, AHR, Ah receptor

Anti-AHR Polyclonal Antibody 是一种 Rabbit 抗体,靶向 AHR。Anti-AHR Polyclonal Antibody 可用于 FCM, ICC/IF, IF, IHC-Fr, IHC-P。

Anti-AHR Polyclonal Antibody
规格价格库存数量
50 μL
¥ 1,170
5日内发货
100 μL
¥ 1,975
5日内发货
200 μL
¥ 2,785
5日内发货
库存状态实时更新,以官网显示为准,现货产品可直接加购物车下单
大包装 & 定制
加入购物车
TargetMol的所有产品仅用作科学研究或药证申报,不能被用于人体,我们不向个人提供产品和服务。请您遵守承诺用途,不得违反法律法规规定用于任何其他用途。
实验操作小课堂
常见问题解答
查看更多

资源下载:产品操作手册

产品介绍


生物活性
产品描述
Anti-AHR Polyclonal Antibody is a Rabbit antibody targeting AHR. Anti-AHR Polyclonal Antibody can be used in FCM, ICC/IF, IF, IHC-Fr, IHC-P.
别名Class E basic helix-loop-helix protein 76 (bHLHe76), bHLHe76, Aryl hydrocarbon receptor, AHR, Ah receptor
Ig Type
IgG
反应种属
Human,Rat (predicted:Mouse)
验证活性
1. HepG2 cell; 4% Paraformaldehyde-fixed; Triton X-100 at room temperature for 20 min; Blocking buffer (normal goat serum) at 37°C for 20 min; Antibody incubation with (AHR) polyclonal Antibody, Unconjugated (TMAB-00080) 1:100, 90 minutes at 37°C; followed by a conjugated Goat Anti-Rabbit IgG antibody at 37°C for 90 minutes, DAPI (blue) was used to stain the cell nucleus.
2. Tissue/cell: Rat brain tissue; 4% Paraformaldehyde-fixed and paraffin-embedded;
Antigen retrieval: citrate buffer (0.01M, pH6.0), Boiling bathing for 15 min; Block endogenous peroxidase by 3% Hydrogen peroxide for 30 min; Blocking buffer (normal goat serum) at 37°C for 20 min;
Incubation: Anti-AHR Polyclonal Antibody, Unconjugated (TMAB-00080) 1:200, overnight at 4°C, followed by conjugation to the secondary antibody and DAb staining.
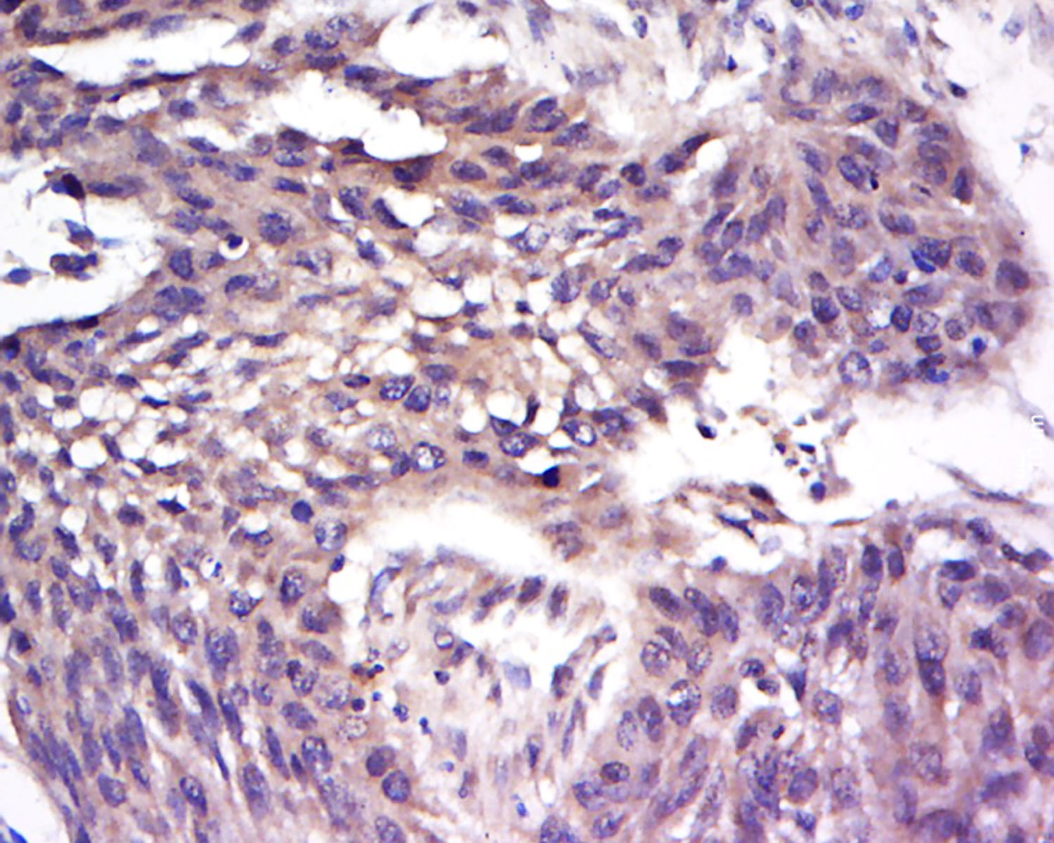
3. Tissue/cell: human lung carcinoma; 4% Paraformaldehyde-fixed and paraffin-embedded;
Antigen retrieval: citrate buffer (0.01M, pH6.0), Boiling bathing for 15 min; Block endogenous peroxidase by 3% Hydrogen peroxide for 30 min; Blocking buffer (normal goat serum) at 37°C for 20 min;
Incubation: Anti-AHR Polyclonal Antibody, Unconjugated (TMAB-00080) 1:200, overnight at 4°C, followed by conjugation to the secondary antibody and DAb staining.
4. Blank control: U937. Primary Antibody (green line): Rabbit Anti-AHR antibody (TMAB-00080)
Dilution: 2 μg/10^6 cells;
Isotype Control Antibody (orange line): Rabbit IgG.
Secondary Antibody: Goat anti-rabbit IgG-PE
Dilution: 1 μg/test.
Protocol
The cells were fixed with 4% PFA (10 min at room temperature) and then permeabilized with 90% ice-cold methanol for 20 min at room temperature. The cells were then incubated in 5% BSA to block non-specific protein-protein interactions for 30 min at room temperature. Cells stained with Primary Antibody for 30 min at room temperature. The secondary antibody used for 40 min at room temperature.
verifiedActivityverifiedActivityverifiedActivityverifiedActivity
应用FCMICC/IFIFIHC-FrIHC-P
推荐剂量
FCM=2 μg/Test; ICC/IF=1:100-500; IF=1:100-500; IHC-Fr=1:100-500; IHC-P=1:100-500
抗体种类
Polyclonal
宿主来源Rabbit
亚细胞定位Cytoplasm. Nucleus. Initially cytoplasmic; upon binding with ligand and interaction with a HSP90, it translocates to the nucleus.
组织特异性Expressed in all tissues tested including blood, brain, heart, kidney, liver, lung, pancreas and skeletal muscle.
构建方式Polyclonal Antibody
纯化方式Protein A purified
性状Liquid
缓冲液0.01M TBS (pH7.4) with 1% BSA, 0.02% Proclin300 and 50% Glycerol.
浓度1 mg/mL
研究背景This gene encodes a ligand-activated transcription factor involved in the regulation of biological responses to planar aromatic hydrocarbons. This receptor has been shown to regulate xenobiotic-metabolizing enzymes such as cytochrome P450. Its ligands included a variety of aromatic hydrocarbons.
抗原信息
免疫原
KLH conjugated synthetic peptide: human AHR
抗原种属
Human
基因名称
AHR
基因ID
蛋白名称
Aryl hydrocarbon receptor
Uniprot ID
功能
Ligand-activated transcriptional activator. Binds to the XRE promoter region of genes it activates. Activates the expression of multiple phase I and II xenobiotic chemical metabolizing enzyme genes (such as the CYP1A1 gene). Mediates biochemical and toxic effects of halogenated aromatic hydrocarbons. Involved in cell-cycle regulation. Likely to play an important role in the development and maturation of many tissues.
化学信息
分子量Theoretical: 93 kDa.
储存&溶解度
储存方式Store at -20°C or -80°C for 12 months. Avoid repeated freeze-thaw cycles.
运输方式Shipping with blue ice.

计算器

  • 稀释 计算器
  • 配液 计算器

关键词

Related Tags: buy Anti-AHR Polyclonal Antibody | purchase Anti-AHR Polyclonal Antibody | Anti-AHR Polyclonal Antibody cost | order Anti-AHR Polyclonal Antibody | Anti-AHR Polyclonal Antibody molecular weight