购物车
  • TargetMol
    您的购物车当前为空

Anti-AGO3 Antibody (6K228)

Synonyms: EIF2C3, argonaute RISC catalytic component 3
货号 TMAC-01270 一键复制产品信息
Rating icon 还可以

Anti-AGO3 Antibody (6K228) 是一种 Rabbit 抗体,靶向 AGO3。Anti-AGO3 Antibody (6K228) 可用于 FCM,ICC/IF,IHC,WB。

Anti-AGO3 Antibody (6K228)

一键复制产品信息
Rating icon 还可以
货号 TMAC-01270

别名 EIF2C3, argonaute RISC catalytic component 3

Anti-AGO3 Antibody (6K228) 是一种 Rabbit 抗体,靶向 AGO3。Anti-AGO3 Antibody (6K228) 可用于 FCM,ICC/IF,IHC,WB。

Anti-AGO3 Antibody (6K228)
规格价格库存数量
50 μL
¥ 1,495
5日内发货
100 μL
¥ 2,495
5日内发货
库存状态实时更新,以官网显示为准,现货产品可直接加购物车下单
大包装 & 定制
加入购物车
TargetMol的所有产品仅用作科学研究或药证申报,不能被用于人体,我们不向个人提供产品和服务。请您遵守承诺用途,不得违反法律法规规定用于任何其他用途。
实验操作小课堂
常见问题解答
查看更多

资源下载:产品操作手册

产品介绍


生物活性
产品描述
Anti-AGO3 Antibody (6K228) is a Rabbit antibody targeting AGO3. Anti-AGO3 Antibody (6K228) can be used in FCM,ICC/IF,IHC,WB.
别名EIF2C3, argonaute RISC catalytic component 3
Ig Type
IgG
克隆号
6K228
反应种属
Human,Mouse,Rat
验证活性
1. Immunohistochemical analysis of paraffin-embedded rat spinal cord tissue using anti-EIF2C3 antibody. Counter stained with hematoxylin.
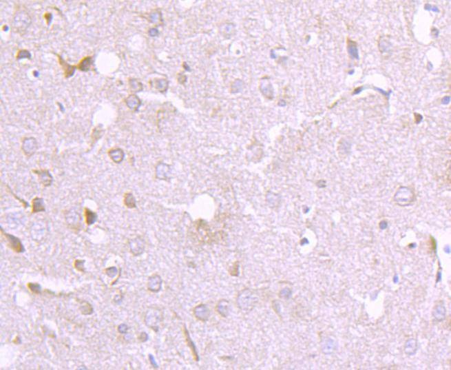
2. Immunohistochemical analysis of paraffin-embedded rat brain tissue using anti-EIF2C3 antibody. Counter stained with hematoxylin.
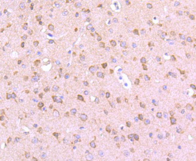
3. Immunohistochemical analysis of paraffin-embedded mouse brain tissue using anti-EIF2C3 antibody. Counter stained with hematoxylin.
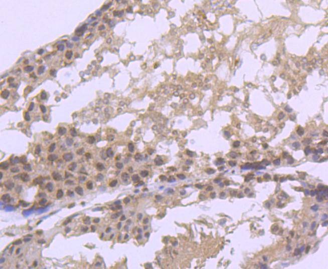
4. Immunohistochemical analysis of paraffin-embedded rat testis tissue using anti-EIF2C3 antibody. Counter stained with hematoxylin.
5. ICC staining EIF2C3 in N2A cells (green). The nuclear counter stain is DAPI (blue). Cells were fixed in paraformaldehyde, permeabilised with 0.25% Triton X100/PBS.
6. ICC staining EIF2C3 in SHG-44 cells (green). The nuclear counter stain is DAPI (blue). Cells were fixed in paraformaldehyde, permeabilised with 0.25% Triton X100/PBS.
7. ICC staining EIF2C3 in F9 cells (green). The nuclear counter stain is DAPI (blue). Cells were fixed in paraformaldehyde, permeabilised with 0.25% Triton X100/PBS.
8. ICC staining EIF2C3 in NCCIT cells (green). The nuclear counter stain is DAPI (blue). Cells were fixed in paraformaldehyde, permeabilised with 0.25% Triton X100/PBS.
9. Flow cytometric analysis of N2A cells with EIF2C3 antibody at 1/50 dilution (red) compared with an unlabelled control (cells without incubation with primary antibody; black). Alexa Fluor 488-conjugated goat anti rabbit IgG was used as the secondary antibody.
verifiedActivityverifiedActivityverifiedActivityverifiedActivityverifiedActivityverifiedActivityverifiedActivityverifiedActivityverifiedActivity
应用FCMICC/IFIHCWB
推荐剂量
WB: 1:1000; IHC: 1:50-200; ICC/IF: 1:100-500; FCM: 1:50-100
抗体种类
Monoclonal
宿主来源Rabbit
构建方式Recombinant Antibody
纯化方式ProA affinity purified
性状Liquid
缓冲液1*TBS (pH7.4), 1%BSA, 40%Glycerol. Preservative: 0.05% Sodium Azide.
研究背景Eukaryotic translation initiation factor 2C (eIF2C) proteins (argonaute family) influence RNA interference (RNAi) as components of the RNA-inducible silencing complex (RISC) or microRNA (miRNA)-containing ribonucleoprotein particle (miRNP). Small RNAs, including small interfering RNAs (siRNAs) and miRNAs, can silence target genes through mechanisms that utilize RISC or miRNP particles. eIF2C1 (argonaute 1, AGO1, eIF2C, GERP95, Q99) and Dicer1 play a coordinated role in siRNA-mediated gene silencing. eIF2C2 (Slicer, argonaute 2, AGO2, Q10) is a RISC component that can concentrate in cytoplasmic processing bodies (P-bodies) and catalyze mRNA cleavage. Mammalian P-bodies contain mRNAs and have an association with miRNA-induced translational silencing and siRNA-induced mRNA degradation. Additional eIF2C proteins include eIF2C3 (argonaute 3, AGO3), eIF2C4 (argonaute 4, AGO4) and meIF2c5 (mouse argonaute 5).
偶联与修饰
偶联
Unconjugated
抗原信息
免疫原
Recombinant Protein
Uniprot ID
化学信息
分子量Theoretical: 97 kDa.
储存&溶解度
储存方式Store at -20°C or -80°C for 12 months. Avoid repeated freeze-thaw cycles.
运输方式Shipping with blue ice.

计算器

  • 稀释 计算器
  • 配液 计算器
Related Tags: buy Anti-AGO3 Antibody (6K228) | purchase Anti-AGO3 Antibody (6K228) | Anti-AGO3 Antibody (6K228) cost | order Anti-AGO3 Antibody (6K228) | Anti-AGO3 Antibody (6K228) molecular weight