购物车
  • 全部删除
  • TargetMol
    您的购物车当前为空

Anti-ADAMTS13 Antibody (1C436)

Rating icon 还可以
产品编号 TMAC-00087
别名 vWFCP, vWF-cleaving protease), von Willebrand factor-cleaving protease (vWF-CP, Gm710, ADAMTS-13, ADAM-TS13, Adamts13, ADAM-TS 13

Anti-ADAMTS13 Antibody (1C436) 是一种 Rabbit 抗体,靶向 ADAMTS13。Anti-ADAMTS13 Antibody (1C436) 可用于 FCM,IHC,WB。

Anti-ADAMTS13 Antibody (1C436)

Anti-ADAMTS13 Antibody (1C436)

一键复制产品信息
Rating icon 还可以
产品编号 TMAC-00087 别名 vWFCP, vWF-cleaving protease), von Willebrand factor-cleaving protease (vWF-CP, Gm710, ADAMTS-13, ADAM-TS13, Adamts13, ADAM-TS 13

Anti-ADAMTS13 Antibody (1C436) 是一种 Rabbit 抗体,靶向 ADAMTS13。Anti-ADAMTS13 Antibody (1C436) 可用于 FCM,IHC,WB。

规格价格库存数量
50 μL
¥ 1,480
5日内发货
100 μL
¥ 2,490
5日内发货
大包装 & 定制
加入购物车
TargetMol 的所有产品仅用作科学研究或药证申报,不能被用于人体,我们不向个人提供产品和服务。请您遵守承诺用途,不得违反法律法规规定用于任何其他用途。
实验操作小课堂
常见问题解答
查看更多
联系我们获取更多批次信息
资源下载

产品介绍

生物活性
产品描述
Anti-ADAMTS13 Antibody (1C436) is a Rabbit antibody targeting ADAMTS13. Anti-ADAMTS13 Antibody (1C436) can be used in FCM,IHC,WB.
别名vWFCP, vWF-cleaving protease), von Willebrand factor-cleaving protease (vWF-CP, Gm710, ADAMTS-13, ADAM-TS13, Adamts13, ADAM-TS 13
Ig Type
IgG
克隆号
1C436
交叉反应
Human
验证活性
1. Western blot analysis of ADAMTS13 on SiHa cell (1), PC-3M cell (2) and A549 cell lysates using anti-ADAMTS13 antibody at 1/500 dilution.
2. Immunohistochemical analysis of paraffin-embedded human liver tissue using anti-ADAMTS13 antibody. Counter stained with hematoxylin.
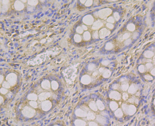
3. Immunohistochemical analysis of paraffin-embedded human colon tissue using anti-ADAMTS13 antibody. Counter stained with hematoxylin.
4. Flow cytometric analysis of HepG2 cells with ADAMTS13 antibody at 1/100 dilution (purple) compared with an unlabelled control (cells without incubation with primary antibody; yellow). Alexa Fluor 488-conjugated goat anti-rabbit IgG was used as the secondary antibody.
verifiedActivityverifiedActivityverifiedActivityverifiedActivity
应用FCMIHCWB
推荐剂量
WB: 1:500-2000; IHC: 1:50-200; FCM: 1:50-100
抗体种类
Monoclonal
宿主来源Rabbit
构建方式Recombinant Antibody
纯化方式ProA affinity purified
性状Liquid
缓冲液1*TBS (pH7.4), 1%BSA, 40%Glycerol. Preservative: 0.05% Sodium Azide.
研究背景ADAMTS13 (a disintegrin and metalloproteinase with a thrombospondin type 1 motif, member 13)??also known as von Willebrand factor-cleaving protease (VWFCP)??is a zinc-containing metalloprotease enzyme that cleaves von Willebrand factor (vWf), a large protein involved in blood clotting. It is secreted in blood and degrades large vWf multimers, decreasing their activity. Glycosylated. O-fucosylated by POFUT2 on a serine or a threonine residue found within the consensus sequence C1-X2-(S/T)-C2-G of the TSP type-1 repeat domains where C1 and C2 are the first and second cysteine residue of the repeat, respectively. Fucosylated repeats can then be further glycosylated by the addition of a beta-1,3-glucose residue by the glucosyltransferase, B3GALTL.
偶联与修饰
偶联
Unconjugated
抗原信息
免疫原
Recombinant Protein: human ADAMTS13 aa 150-350
抗原种属
human
Uniprot ID
化学信息
分子量Theoretical: 154 kDa.
存储&运输
储存方式Store at -20°C or -80°C for 12 months. Avoid repeated freeze-thaw cycles.
运输方式Shipping with blue ice.

计算器

  • 稀释 计算器

关键词

评论列表

4个月前
5.0
Rating icon 很棒

评论内容

Related Tags: buy Anti-ADAMTS13 Antibody (1C436) | purchase Anti-ADAMTS13 Antibody (1C436) | Anti-ADAMTS13 Antibody (1C436) cost | order Anti-ADAMTS13 Antibody (1C436) | Anti-ADAMTS13 Antibody (1C436) molecular weight